Skip to main content

RNASEH2A Antibody - BSA Free

Novus Biologicals, part of Bio-Techne | Catalog # NBP1-58234

Novus Biologicals, part of Bio-Techne
Catalog #
Availability
Size / Price
Qty
Loading...
NBP1-58234

Key Product Details

Species Reactivity

Human

Applications

Immunohistochemistry, Immunohistochemistry-Paraffin, Western Blot

Label

Unconjugated

Antibody Source

Polyclonal Rabbit IgG

Format

BSA Free

Concentration

0.5 mg/ml

Product Specifications

Immunogen

Synthetic peptides corresponding to RNASEH2A(ribonuclease H2, subunit A) The peptide sequence was selected from the C terminal of RNASEH2A. Peptide sequence EKEAEDVIWEDSASENQEGLRKITSYFLNEGSQARPRSSHRYFLERGLES. The peptide sequence for this immunogen was taken from within the described region.

Specificity

This product is specific to Subunit or Isoform: A.

Clonality

Polyclonal

Host

Rabbit

Isotype

IgG

Description

The addition of 50% glycerol is optional for those storing this antibody at -20C and not aliquoting smaller units. However, please note that glycerol may interrupt some downstream antibody applications and should be added with caution.

Scientific Data Images for RNASEH2A Antibody - BSA Free

Western Blot: RNASEH2A Antibody [NBP1-58234]

Western Blot: RNASEH2A Antibody [NBP1-58234]

Western Blot: RNASEH2A Antibody [NBP1-58234] - Jurkat cell lysate, Antibody Titration: 0.2-1 ug/ml
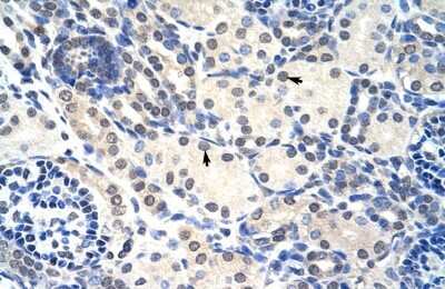
Immunohistochemistry-Paraffin: RNASEH2A Antibody [NBP1-58234]

Immunohistochemistry-Paraffin: RNASEH2A Antibody [NBP1-58234]

Immunohistochemistry-Paraffin: RNASEH2A Antibody [NBP1-58234] - Human kidney Tissue, antibody concentration 4-8ug/ml. Cells with positive label: renal corpuscle cells (indicated with arrows) 400X magnification.

Applications for RNASEH2A Antibody - BSA Free

Application
Recommended Usage

Immunohistochemistry

1:10-1:500

Immunohistochemistry-Paraffin

1:10-1:500

Western Blot

1.0 ug/ml

Formulation, Preparation, and Storage

Purification

Affinity purified

Formulation

PBS, 2% Sucrose

Format

BSA Free

Preservative

0.09% Sodium Azide

Concentration

0.5 mg/ml

Shipping

The product is shipped with polar packs. Upon receipt, store it immediately at the temperature recommended below.

Stability & Storage

Store at 4C short term. Aliquot and store at -20C long term. Avoid freeze-thaw cycles.

Background: RNASEH2A

Of the multiple RNases H in mammals, RNase HI is the major enzyme and shows increased activity during DNA replication. It shows more homology to the RNase HII of Escherichia coli.Of the multiple RNases H in mammals, RNase HI is the major enzyme and shows increased activity during DNA replication. It shows more homology to the RNase HII of Escherichia coli.Of the multiple RNases H in mammals, RNase HI is the major enzyme and shows increased activity during DNA replication. It shows more homology to the RNase HII of Escherichia coli.

Alternate Names

AGS4RNase H2 subunit A, Aicardi-Goutieres syndrome 4, Aicardi-Goutieres syndrome 4 protein, JUNB, ribonuclease H2 subunit A, ribonuclease H2, large subunit, ribonuclease H2, subunit A, Ribonuclease HI large subunit, Ribonuclease HI subunit A, ribonuclease HI, large subunit, RNase H(35), RNASEHIEC 3.1.26.4, RNHIARNase HI large subunit, RNHL

Gene Symbol

RNASEH2A

UniProt

Additional RNASEH2A Products

Product Documents for RNASEH2A Antibody - BSA Free

Certificate of Analysis

To download a Certificate of Analysis, please enter a lot number in the search box below.

Product Specific Notices for RNASEH2A Antibody - BSA Free

This product is for research use only and is not approved for use in humans or in clinical diagnosis. Primary Antibodies are guaranteed for 1 year from date of receipt.

Loading...
Loading...
Loading...
Loading...