Skip to main content

RNASE7 Antibody (CL0224) - BSA Free

Novus Biologicals, part of Bio-Techne | Catalog # NBP2-52884

Novus Biologicals, part of Bio-Techne
Catalog #
Availability
Size / Price
Qty
Loading...
NBP2-52884
NBP2-52884-25ul

Key Product Details

Species Reactivity

Human

Applications

Immunohistochemistry, Immunohistochemistry-Paraffin, Western Blot

Label

Unconjugated

Antibody Source

Monoclonal Mouse IgG2A Clone # CL0224

Format

BSA Free

Concentration

Concentrations vary lot to lot. See vial label for concentration. If unlisted please contact technical services.

Product Specifications

Immunogen

This antibody was developed using a recombinant protein derived from Q9H1E1, with the exact immunogen sequence remaining proprietary.

Clonality

Monoclonal

Host

Mouse

Isotype

IgG2A

Description

Novus Biologicals Mouse RNASE7 Antibody (CL0224) - BSA Free (NBP2-52884) is a monoclonal antibody validated for use in IHC and WB. All Novus Biologicals antibodies are covered by our 100% guarantee.

Scientific Data Images for RNASE7 Antibody (CL0224) - BSA Free

Western Blot: RNASE7 Antibody (CL0224) [NBP2-52884]

Western Blot: RNASE7 Antibody (CL0224) [NBP2-52884]

Western Blot: RNASE7 Antibody (CL0224) [NBP2-52884] - Lane 1: Marker [kDa] Lane 2: Negative control (vector only transfected HEK293T lysate) Lane 3: Over-expression Lysate (Co-expressed with a C-terminal myc-DDK tag (~3.1 kDa) in mammalian HEK293T cells)
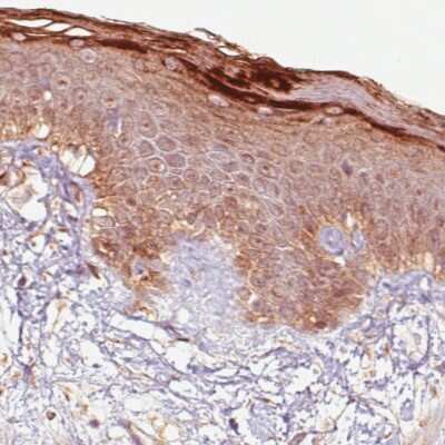
Immunohistochemistry-Paraffin: RNASE7 Antibody (CL0224) [NBP2-52884]

Immunohistochemistry-Paraffin: RNASE7 Antibody (CL0224) [NBP2-52884]

Immunohistochemistry-Paraffin: RNASE7 Antibody (CL0224) [NBP2-52884] - Staining of human skin shows immunoreactivity in keratinocytes, particularly strong in the outer layer.
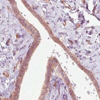
Immunohistochemistry-Paraffin: RNASE7 Antibody (CL0224) [NBP2-52884]

Immunohistochemistry-Paraffin: RNASE7 Antibody (CL0224) [NBP2-52884]

Immunohistochemistry-Paraffin: RNASE7 Antibody (CL0224) [NBP2-52884] - Staining of human fallopian tube shows moderate positivity in glandular cells.

Applications for RNASE7 Antibody (CL0224) - BSA Free

Application
Recommended Usage

Immunohistochemistry

1:50 - 1:200

Immunohistochemistry-Paraffin

1:50 - 1:200

Western Blot

1 ug/ml
Application Notes
For IHC-Paraffin, HIER pH 6 retrieval is recommended.

Formulation, Preparation, and Storage

Purification

Protein A purified

Formulation

PBS (pH 7.2) and 40% Glycerol

Format

BSA Free

Preservative

0.02% Sodium Azide

Concentration

Concentrations vary lot to lot. See vial label for concentration. If unlisted please contact technical services.

Shipping

The product is shipped with polar packs. Upon receipt, store it immediately at the temperature recommended below.

Stability & Storage

Store at 4C short term. Aliquot and store at -20C long term. Avoid freeze-thaw cycles.

Background: RNASE7

RNASE7 is a member of the RNase A superfamily that has broad-spectrum antimicrobial activity and ribonuclease activity (Harder and Schroder, 2002 [PubMed 12244054]; Zhang et al., 2003 [PubMed 12527768])

Alternate Names

EC 3.1.27, EC 3.1.27.-, EC 3.1.27.5, MGC133220, ribonuclease 7, ribonuclease, RNase A family, 7, RNase 7, SAP-2, Skin-derived antimicrobial protein 2

Gene Symbol

RNASE7

Additional RNASE7 Products

Product Documents for RNASE7 Antibody (CL0224) - BSA Free

Certificate of Analysis

To download a Certificate of Analysis, please enter a lot number in the search box below.

Product Specific Notices for RNASE7 Antibody (CL0224) - BSA Free

This product is for research use only and is not approved for use in humans or in clinical diagnosis. Primary Antibodies are guaranteed for 1 year from date of receipt.

Loading...
Loading...
Loading...
Loading...