Skip to main content

Rit1 Antibody - BSA Free

Novus Biologicals, part of Bio-Techne | Catalog # NBP2-20169

Novus Biologicals, part of Bio-Techne
Catalog #
Availability
Size / Price
Qty
Loading...
NBP2-20169

Key Product Details

Species Reactivity

Human

Applications

Immunohistochemistry, Immunohistochemistry-Paraffin, Western Blot

Label

Unconjugated

Antibody Source

Polyclonal Rabbit IgG

Format

BSA Free

Concentration

Concentrations vary lot to lot. See vial label for concentration. If unlisted please contact technical services.

Product Specifications

Immunogen

Recombinant protein encompassing a sequence within the center region of human Rit1. The exact sequence is proprietary.

Reactivity Notes

Immunogen displays the following percentage of sequence identity for non-tested species: Rhesus Macaque.

Localization

Cell membrane

Clonality

Polyclonal

Host

Rabbit

Isotype

IgG

Theoretical MW

25 kDa.
Disclaimer note: The observed molecular weight of the protein may vary from the listed predicted molecular weight due to post translational modifications, post translation cleavages, relative charges, and other experimental factors.

Description

Novus Biologicals Rabbit Rit1 Antibody - BSA Free (NBP2-20169) is a polyclonal antibody validated for use in IHC and WB. All Novus Biologicals antibodies are covered by our 100% guarantee.

Scientific Data Images for Rit1 Antibody - BSA Free

Western Blot: Rit1 Antibody [NBP2-20169]

Western Blot: Rit1 Antibody [NBP2-20169]

Western Blot: RIT1 Antibody [NBP2-20169] - Sample (30 ug of whole cell lysate) A: A431 12% SDS PAGE gel, diluted at 1:1000.
Rit1 Antibody

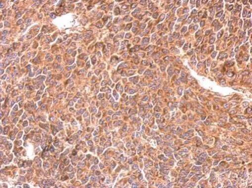
Immunohistochemistry: Rit1 Antibody [NBP2-20169] -

Immunohistochemistry: Rit1 Antibody [NBP2-20169] - Rit1 antibody detects Rit1 protein at cytosol on BT483 xenograft by immunohistochemical analysis.
Sample: Paraffin-embedded BT4838 xenograft.
Rit1 antibody (NBP2-20169) dilution: 1:500.

Antigen Retrieval: Trilogy™ (EDTA based, pH 8.0) buffer, 15min

Applications for Rit1 Antibody - BSA Free

Application
Recommended Usage

Immunohistochemistry

10 - 1:500

Immunohistochemistry-Paraffin

1:100-1:1000

Western Blot

1:500-1:3000

Formulation, Preparation, and Storage

Purification

Antigen Affinity-purified

Formulation

0.1M Tris, 0.1M Glycine, 20% Glycerol

Format

BSA Free

Preservative

0.01% Thimerosal

Concentration

Concentrations vary lot to lot. See vial label for concentration. If unlisted please contact technical services.

Shipping

The product is shipped with polar packs. Upon receipt, store it immediately at the temperature recommended below.

Stability & Storage

Aliquot and store at -20C or -80C. Avoid freeze-thaw cycles.

Background: Rit1

RIT belongs to the RAS (HRAS; MIM 190020) subfamily of small GTPases (Hynds et al., 2003 [PubMed 12668729]).[supplied by OMIM]

Long Name

Ras-like without CAAX 1

Alternate Names

RIBB, ROC1

Gene Symbol

RIT1

UniProt

Additional Rit1 Products

Product Documents for Rit1 Antibody - BSA Free

Certificate of Analysis

To download a Certificate of Analysis, please enter a lot number in the search box below.

Product Specific Notices for Rit1 Antibody - BSA Free

This product is for research use only and is not approved for use in humans or in clinical diagnosis. Primary Antibodies are guaranteed for 1 year from date of receipt.

Loading...
Loading...
Loading...
Loading...

⚠ WARNING: This product can expose you to chemicals including mercury, which is known to the State of California to cause reproductive toxicity with developmental effects.  For more information go to www.P65Warnings.ca.gov.