Skip to main content

RIOK3 Antibody

Novus Biologicals, part of Bio-Techne | Catalog # NBP2-20165

Novus Biologicals, part of Bio-Techne
Catalog #
Availability
Size / Price
Qty
Loading...
NBP2-20165

Key Product Details

Species Reactivity

Validated:

Human, Mouse, Rat

Predicted:

Bovine (96%). Backed by our 100% Guarantee.

Applications

Immunohistochemistry, Immunohistochemistry-Paraffin, Western Blot

Label

Unconjugated

Antibody Source

Polyclonal Rabbit IgG

Concentration

Concentrations vary lot to lot. See vial label for concentration. If unlisted please contact technical services.

Product Specifications

Immunogen

Recombinant protein encompassing a sequence within the center region of human RIOK3. The exact sequence is proprietary.

Clonality

Polyclonal

Host

Rabbit

Isotype

IgG

Theoretical MW

59 kDa.
Disclaimer note: The observed molecular weight of the protein may vary from the listed predicted molecular weight due to post translational modifications, post translation cleavages, relative charges, and other experimental factors.

Description

Novus Biologicals Rabbit RIOK3 Antibody (NBP2-20165) is a polyclonal antibody validated for use in IHC and WB. All Novus Biologicals antibodies are covered by our 100% guarantee.

Scientific Data Images for RIOK3 Antibody

Western Blot: RIOK3 Antibody [NBP2-20165]

Western Blot: RIOK3 Antibody [NBP2-20165]

Western Blot: RIOK3 Antibody [NBP2-20165] - Sample (30 ug of whole cell lysate) A: 293T B: HepG2 7. 5% SDS PAGE gel, diluted at 1:2000.
RIOK3 Antibody

Western Blot: RIOK3 Antibody [NBP2-20165] -

Various whole cell extracts (30 ug) were separated by 10% SDS-PAGE, and the membrane was blotted with RIOK3 antibody (NBP2-20165) diluted at 1:1000.
RIOK3 Antibody

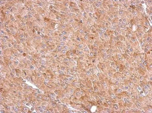
Immunohistochemistry: RIOK3 Antibody [NBP2-20165] -

Immunohistochemical analysis of paraffin-embedded U87 xenograft, using RIOK3(NBP2-20165) antibody at 1:500 dilution.
Antigen Retrieval: Trilogy(TM) (EDTA based, pH 8.0) buffer, 15min

Applications for RIOK3 Antibody

Application
Recommended Usage

Immunohistochemistry

1:100-1:1000

Immunohistochemistry-Paraffin

1:100-1:1000

Western Blot

1:500-1:3000

Formulation, Preparation, and Storage

Purification

Antigen Affinity-purified

Formulation

PBS, 1% BSA, 20% Glycerol

Preservative

0.01% Thimerosal

Concentration

Concentrations vary lot to lot. See vial label for concentration. If unlisted please contact technical services.

Shipping

The product is shipped with polar packs. Upon receipt, store it immediately at the temperature recommended below.

Stability & Storage

Aliquot and store at -20C or -80C. Avoid freeze-thaw cycles.

Background: RIOK3

This gene was identified by the similarity of its product to the Aspergillus nidulans SUDD protein, an extragenic suppressor of the heat-sensitive bimD6 mutation that fails to attach properly to the spindle microtubules at a restrictive temperature. The specific function of this gene has not yet been determined. [provided by RefSeq]

Alternate Names

DKFZp779L1370, EC 2.7.11.1, homolog of the Aspergillus nidulans sudD gene product, RIO kinase 3, RIO kinase 3 (yeast), serine/threonine-protein kinase RIO3, sudD (suppressor of bimD6, Aspergillus nidulans) homolog, sudD homolog, sudD suppressor of bimD6 homolog, SUDDsudD suppressor of Aspergillus nidulans bimD6 homolog

Gene Symbol

RIOK3

UniProt

Additional RIOK3 Products

Product Documents for RIOK3 Antibody

Certificate of Analysis

To download a Certificate of Analysis, please enter a lot number in the search box below.

Product Specific Notices for RIOK3 Antibody

This product is for research use only and is not approved for use in humans or in clinical diagnosis. Primary Antibodies are guaranteed for 1 year from date of receipt.

Loading...
Loading...
Loading...
Loading...

⚠ WARNING: This product can expose you to chemicals including mercury, which is known to the State of California to cause reproductive toxicity with developmental effects.  For more information go to www.P65Warnings.ca.gov.