Skip to main content

RINT1 Antibody - BSA Free

Novus Biologicals, part of Bio-Techne | Catalog # NBP3-46724

Novus Biologicals, part of Bio-Techne
Catalog #
Availability
Size / Price
Qty
Loading...
NBP3-46724

Key Product Details

Species Reactivity

Human, Mouse, Rat

Applications

Immunohistochemistry, Western Blot, ELISA, Immunocytochemistry/ Immunofluorescence

Label

Unconjugated

Antibody Source

Polyclonal Rabbit IgG

Format

BSA Free

Concentration

Please see the vial label for concentration. If unlisted please contact technical services.

Product Specifications

Immunogen

RAD50 interactor 1. (Uniprot# Q6NUQ1)

Clonality

Polyclonal

Host

Rabbit

Isotype

IgG

Theoretical MW

87 kDa.
Disclaimer note: The observed molecular weight of the protein may vary from the listed predicted molecular weight due to post translational modifications, post translation cleavages, relative charges, and other experimental factors.

Description

Novus Biologicals Rabbit RINT1 Antibody - BSA Free (NBP3-46724) is a polyclonal antibody validated for use in IHC, WB, ELISA and ICC/IF. All Novus Biologicals antibodies are covered by our 100% guarantee.

Scientific Data Images for RINT1 Antibody - BSA Free

RINT1 Antibody - BSA Free

Western Blot: RINT1 Antibody - BSA Free [NBP3-46724] -

Western Blot: RINT1 Antibody - BSA Free [NBP3-46724] - HepG2 cells were subjected to SDS PAGE followed by western blot with (RINT1 antibody) at dilution of 1:500
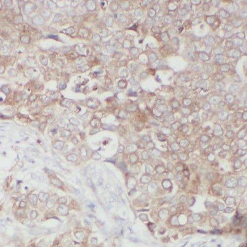
RINT1 Antibody - BSA Free

Immunohistochemistry: RINT1 Antibody - BSA Free [NBP3-46724] -

Immunohistochemistry: RINT1 Antibody - BSA Free [NBP3-46724] - Immunohistochemistry of paraffin-embedded human breast cancer using (RINT1 antibody) at dilution of 1:50

Applications for RINT1 Antibody - BSA Free

Application
Recommended Usage

Immunocytochemistry/ Immunofluorescence

1:20-1:200

Immunohistochemistry

1:20-1:200

Western Blot

1:500-1:2000

Formulation, Preparation, and Storage

Purification

Immunogen affinity purified

Formulation

PBS, 50% Glycerol, pH (7.3)

Format

BSA Free

Preservative

0.02% Sodium Azide

Concentration

Please see the vial label for concentration. If unlisted please contact technical services.

Shipping

The product is shipped with polar packs. Upon receipt, store it immediately at the temperature recommended below.

Stability & Storage

Store at -20C. Avoid freeze-thaw cycles.

Background: RINT1

RINT1 is a gene that codes for a protein with a length of 792 amino acids and a weight of approximately 91 kDa, which works to regulate membrane traffic between the Golgi and the endoplasmic reticulum, as well as controls telomere length and cell cycle checkpoint control. Current research is being done on diseases and disorders related to this gene including ataxia and neuroblastoma. RINT1 has been shown to have interactions with GFI1B, BNIP3L, SPTBN1, STX18, and ZW10.

Alternate Names

DKFZp667H2324, FLJ11785, HsRINT-1, RAD50 interactor 1hsRINT-1, RINT-1RAD50-interacting protein 1

Gene Symbol

RINT1

Additional RINT1 Products

Product Documents for RINT1 Antibody - BSA Free

Certificate of Analysis

To download a Certificate of Analysis, please enter a lot number in the search box below.

Product Specific Notices for RINT1 Antibody - BSA Free

This product is for research use only and is not approved for use in humans or in clinical diagnosis. Primary Antibodies are guaranteed for 1 year from date of receipt.

Loading...
Loading...
Loading...
Loading...