Skip to main content

RING1 Antibody (2Q8D5)

Novus Biologicals, part of Bio-Techne | Catalog # NBP3-15893

Recombinant Monoclonal Antibody
Novus Biologicals, part of Bio-Techne
Catalog #
Availability
Size / Price
Qty
Loading...
NBP3-15893-100ul
NBP3-15893-20ul

Key Product Details

Species Reactivity

Human

Applications

Immunohistochemistry, Immunohistochemistry-Paraffin, Immunoprecipitation, Western Blot

Label

Unconjugated

Antibody Source

Recombinant Monoclonal Rabbit IgG Clone # 2Q8D5 expressed in HEK293

Concentration

Please see the vial label for concentration. If unlisted please contact technical services.

Product Specifications

Immunogen

A synthetic peptide corresponding to a sequence within amino acids 100-200 of human RING1 A (Q06587). DPNFDALISKIYPSREEYEAHQDRVLIRLSRLHNQQALSSSIEEGLRMQAMHRAQRVRRPIPGSDQTTTMSGGEGEPGEGEGDGEDVSSDSAPDSAPGPAP

Clonality

Monoclonal

Host

Rabbit

Isotype

IgG

Description

Novus Biologicals Rabbit RING1 Antibody (2Q8D5) (NBP3-15893) is a recombinant monoclonal antibody validated for use in IHC, WB and IP. All Novus Biologicals antibodies are covered by our 100% guarantee.

Scientific Data Images for RING1 Antibody (2Q8D5)

Western Blot: RING1 Antibody (2Q8D5) [NBP3-15893]

Western Blot: RING1 Antibody (2Q8D5) [NBP3-15893]

Western Blot: RING1 Antibody (2Q8D5) [NBP3-15893] - Western blot analysis of extracts of various cell lines, using RING1 Rabbit mAb (NBP3-15893) at 1:1000 dilution. Secondary antibody: HRP Goat Anti-Rabbit IgG (H+L) at 1:10000 dilution. Lysates/proteins: 25ug per lane. Blocking buffer: 3% nonfat dry milk in TBST. Detection: ECL Basic Kit. Exposure time: 90s.
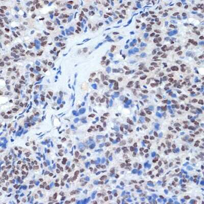
Immunohistochemistry-Paraffin: RING1 Antibody (2Q8D5) [NBP3-15893]

Immunohistochemistry-Paraffin: RING1 Antibody (2Q8D5) [NBP3-15893]

Immunohistochemistry-Paraffin: RING1 Antibody (2Q8D5) [NBP3-15893] - Immunohistochemistry of paraffin-embedded human thyroid cancer using RING1 Rabbit mAb (NBP3-15893) at dilution of 1:100 (40x lens).Perform microwave antigen retrieval with 10 mM Tris/EDTA buffer pH 9.0 before commencing with IHC staining protocol.
Immunoprecipitation: RING1 Antibody (2Q8D5) [NBP3-15893]

Immunoprecipitation: RING1 Antibody (2Q8D5) [NBP3-15893]

Immunoprecipitation: RING1 Antibody (2Q8D5) [NBP3-15893] - Immunoprecipitation analysis of 300ug extracts of HeLa cells using 3ug RING1 antibody (NBP3-15893). Western blot was performed from the immunoprecipitate using RING1 antibody (NBP3-15893) at a dilition of 1:1000.

Applications for RING1 Antibody (2Q8D5)

Application
Recommended Usage

Immunohistochemistry

1:50 - 1:200

Immunoprecipitation

1:500 - 1:1000

Western Blot

1:500 - 1:2000

Formulation, Preparation, and Storage

Purification

Affinity purified

Formulation

PBS (pH 7.3), 50% glycerol, 0.05% BSA

Preservative

0.02% Sodium Azide

Concentration

Please see the vial label for concentration. If unlisted please contact technical services.

Shipping

The product is shipped with polar packs. Upon receipt, store it immediately at the temperature recommended below.

Stability & Storage

Store at -20C. Avoid freeze-thaw cycles.

Background: RING1

RING1 belongs to the RING finger family, members of which encode proteins characterized by a RING domain, a zinc-binding motif related to the zinc finger domain. The gene product can bind DNA and can act as a transcriptional repressor. It is associated with the multimeric polycomb group protein complex. The gene product interacts with the polycomb group proteins BMI1, EDR1, and CBX4, and colocalizes with these proteins in large nuclear domains. It interacts with the CBX4 protein via its glycine-rich C-terminal domain. The gene maps to the HLA class II region, where it is contiguous with the RING finger genes FABGL and HKE4. [provided by RefSeq]

Long Name

E3 ubiquitin-protein ligase RING1

Alternate Names

RNF1

Gene Symbol

RING1

Additional RING1 Products

Product Documents for RING1 Antibody (2Q8D5)

Certificate of Analysis

To download a Certificate of Analysis, please enter a lot number in the search box below.

Product Specific Notices for RING1 Antibody (2Q8D5)

This product is for research use only and is not approved for use in humans or in clinical diagnosis. Primary Antibodies are guaranteed for 1 year from date of receipt.

Loading...
Loading...
Loading...
Loading...