Skip to main content

RIN2 Antibody

Novus Biologicals, part of Bio-Techne | Catalog # NBP2-20163

Novus Biologicals, part of Bio-Techne
Catalog #
Availability
Size / Price
Qty
Loading...
NBP2-20163

Key Product Details

Species Reactivity

Human, Mouse, Rat

Applications

Immunohistochemistry, Immunohistochemistry-Paraffin, Western Blot, Immunocytochemistry/ Immunofluorescence

Label

Unconjugated

Antibody Source

Polyclonal Rabbit IgG

Concentration

Concentrations vary lot to lot. See vial label for concentration. If unlisted please contact technical services.

Product Specifications

Immunogen

Recombinant protein encompassing a sequence within the center region of human RIN2. The exact sequence is proprietary.

Localization

Cytoplasm

Clonality

Polyclonal

Host

Rabbit

Isotype

IgG

Theoretical MW

100 kDa.
Disclaimer note: The observed molecular weight of the protein may vary from the listed predicted molecular weight due to post translational modifications, post translation cleavages, relative charges, and other experimental factors.

Description

Novus Biologicals Rabbit RIN2 Antibody (NBP2-20163) is a polyclonal antibody validated for use in IHC, WB and ICC/IF. All Novus Biologicals antibodies are covered by our 100% guarantee.

Scientific Data Images for RIN2 Antibody

Western Blot: RIN2 Antibody [NBP2-20163]

Western Blot: RIN2 Antibody [NBP2-20163]

Western Blot: RIN2 Antibody [NBP2-20163] - Sample (30 ug of whole cell lysate) A: HepG2 5% SDS PAGE gel, diluted at 1:1000.
Immunocytochemistry/ Immunofluorescence: RIN2 Antibody [NBP2-20163]

Immunocytochemistry/ Immunofluorescence: RIN2 Antibody [NBP2-20163]

Immunocytochemistry/Immunofluorescence: RIN2 Antibody [NBP2-20163] - Confocal immunofluorescence analysis of methanol-fixed HeLa, using RIN2 antibody (Green) at 1:500 dilution. Alpha-tubulin filaments are labeled with Alpha-tubulin antibody (Red) at 1:2000.
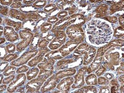
Immunohistochemistry-Paraffin: RIN2 Antibody [NBP2-20163]

Immunohistochemistry-Paraffin: RIN2 Antibody [NBP2-20163]

Immunohistochemistry-Paraffin: RIN2 Antibody [NBP2-20163] - Mouse kidney. RIN2 antibody dilution: 1:1000. Antigen Retrieval: Trilogy™ (EDTA based, pH 8.0) buffer, 15min.

Applications for RIN2 Antibody

Application
Recommended Usage

Immunocytochemistry/ Immunofluorescence

1:100-1:1000

Immunohistochemistry

1:100-1:1000

Immunohistochemistry-Paraffin

1:100-1:1000

Western Blot

1:500-1:3000

Formulation, Preparation, and Storage

Purification

Antigen Affinity-purified

Formulation

PBS, 1% BSA, 20% Glycerol

Preservative

0.01% Thimerosal

Concentration

Concentrations vary lot to lot. See vial label for concentration. If unlisted please contact technical services.

Shipping

The product is shipped with polar packs. Upon receipt, store it immediately at the temperature recommended below.

Stability & Storage

Aliquot and store at -20C or -80C. Avoid freeze-thaw cycles.

Background: RIN2

The RAB5 protein is a small GTPase involved in membrane trafficking in the early endocytic pathway. The protein encoded by this gene binds the GTP-bound form of the RAB5 protein preferentially over the GDP-bound form, and functions as a guanine nucleotide exchange factor for RAB5. The encoded protein is found primarily as a tetramer in the cytoplasm and does not bind other members of the RAB family. [provided by RefSeq]

Alternate Names

RAB5 interacting protein 2, Ras and Rab interactor 2, RAS association (RalGDS/AF-6) domain containing protein JC265, Ras association domain family 4, Ras inhibitor JC265, Ras interaction/interference protein 2, RASSF4MACS

Gene Symbol

RIN2

Additional RIN2 Products

Product Documents for RIN2 Antibody

Certificate of Analysis

To download a Certificate of Analysis, please enter a lot number in the search box below.

Product Specific Notices for RIN2 Antibody

This product is for research use only and is not approved for use in humans or in clinical diagnosis. Primary Antibodies are guaranteed for 1 year from date of receipt.

Loading...
Loading...
Loading...
Loading...

⚠ WARNING: This product can expose you to chemicals including mercury, which is known to the State of California to cause reproductive toxicity with developmental effects.  For more information go to www.P65Warnings.ca.gov.