Skip to main content

RIC8A Antibody - BSA Free

Novus Biologicals, part of Bio-Techne | Catalog # NBP2-47304

Novus Biologicals, part of Bio-Techne
Catalog #
Availability
Size / Price
Qty
Loading...
NBP2-47304
NBP2-47304-25ul

Key Product Details

Species Reactivity

Human

Applications

Immunocytochemistry/ Immunofluorescence, Immunohistochemistry, Immunohistochemistry-Paraffin, Western Blot

Label

Unconjugated

Antibody Source

Polyclonal Rabbit IgG

Format

BSA Free

Concentration

Concentrations vary lot to lot. See vial label for concentration. If unlisted please contact technical services.

Product Specifications

Immunogen

This antibody was developed against a recombinant protein corresponding to amino acids: TGEEDVIMEALRSYNQEHSQSFTFDDAQQEDRKRLAELLVSVLEQGLPPSHRVIWLQSVRILSRDRNCLDPFTSRQSLQALACYADISVSEGSVPESADMDVVLES

Clonality

Polyclonal

Host

Rabbit

Isotype

IgG

Description

Novus Biologicals Rabbit RIC8A Antibody - BSA Free (NBP2-47304) is a polyclonal antibody validated for use in IHC, WB and ICC/IF. All Novus Biologicals antibodies are covered by our 100% guarantee.

Scientific Data Images for RIC8A Antibody - BSA Free

Western Blot: RIC8A Antibody [NBP2-47304]

Western Blot: RIC8A Antibody [NBP2-47304]

Western Blot: RIC8A Antibody [NBP2-47304] - Lane 1: Marker [kDa] 250, 130, 95, 72, 55, 36, 28, 17, 10. Lane 2: Human cell line RT-4. Lane 3: Human cell line U-251MG.
Immunocytochemistry/ Immunofluorescence: RIC8A Antibody [NBP2-47304]

Immunocytochemistry/ Immunofluorescence: RIC8A Antibody [NBP2-47304]

Immunocytochemistry/Immunofluorescence: RIC8A Antibody [NBP2-47304] - Immunofluorescent staining of human cell line U-2 OS shows localization to cytosol.
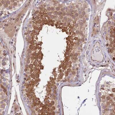
Immunohistochemistry: RIC8A Antibody [NBP2-47304]

Immunohistochemistry: RIC8A Antibody [NBP2-47304]

Immunohistochemistry: RIC8A Antibody [NBP2-47304] - Staining of human testis shows strong cytoplasmic positivity in cells in seminiferus ducts.

Applications for RIC8A Antibody - BSA Free

Application
Recommended Usage

Immunocytochemistry/ Immunofluorescence

0.25-2 ug/ml

Immunohistochemistry

1:500 - 1:1000

Immunohistochemistry-Paraffin

1:500 - 1:1000

Western Blot

0.04-0.4 ug/ml
Application Notes
For IHC-Paraffin, HIER pH 6 retrieval is recommended. Immunocytochemistry/Immunofluorescence Fixation Permeabilization: Use PFA/Triton X-100.

Formulation, Preparation, and Storage

Purification

Immunogen affinity purified

Formulation

PBS (pH 7.2) and 40% Glycerol

Format

BSA Free

Preservative

0.02% Sodium Azide

Concentration

Concentrations vary lot to lot. See vial label for concentration. If unlisted please contact technical services.

Shipping

The product is shipped with polar packs. Upon receipt, store it immediately at the temperature recommended below.

Stability & Storage

Store at 4C short term. Aliquot and store at -20C long term. Avoid freeze-thaw cycles.

Background: RIC8A

RIC8 is a likely orthalog of mouse Synembryn. Synembryns are proteins that positively regulate synaptic transmission. They are actively required to maintain proper activity of the Go to Gq G-protein signalling network, which regulates neurotransmitter secretion in Caenorhabditis elegans by controlling the production and consumption of diacylglycerol. In addition to its role in the adult nervous system, synembryn is required to regulate a subset of centrosome movements in the early C. elegans embryo.

Alternate Names

RIC8, RIC8A resistance to inhibitors of cholinesterase 8 homolog A (C. elegans), synembryn, synembryn-A

Gene Symbol

RIC8A

Additional RIC8A Products

Product Documents for RIC8A Antibody - BSA Free

Certificate of Analysis

To download a Certificate of Analysis, please enter a lot number in the search box below.

Product Specific Notices for RIC8A Antibody - BSA Free

This product is for research use only and is not approved for use in humans or in clinical diagnosis. Primary Antibodies are guaranteed for 1 year from date of receipt.

Loading...
Loading...
Loading...
Loading...