Skip to main content

Ribonuclease A Antibody - Azide and BSA Free

Novus Biologicals, part of Bio-Techne | Catalog # NBP3-00131

Novus Biologicals, part of Bio-Techne

Key Product Details

Species Reactivity

Human

Applications

Immunohistochemistry-Paraffin

Label

Unconjugated

Antibody Source

Polyclonal Rabbit IgG

Format

Azide and BSA Free

Concentration

Please see the vial label for concentration. If unlisted please contact technical services.

Product Specifications

Immunogen

Produced in rabbits immunized with purified, recombinant Human Ribonuclease A (Accession#: P07998; Met1-Thr156)

Clonality

Polyclonal

Host

Rabbit

Isotype

IgG

Description

This antibody can be stored at 2C to 8C for one month without detectable loss of activity. Antibody products are stable for twelve months from date of receipt when stored at -20C to -80C. Avoid repeated freeze-thaw cycles.

Scientific Data Images for Ribonuclease A Antibody - Azide and BSA Free

Ribonuclease A Antibody - Azide and BSA Free

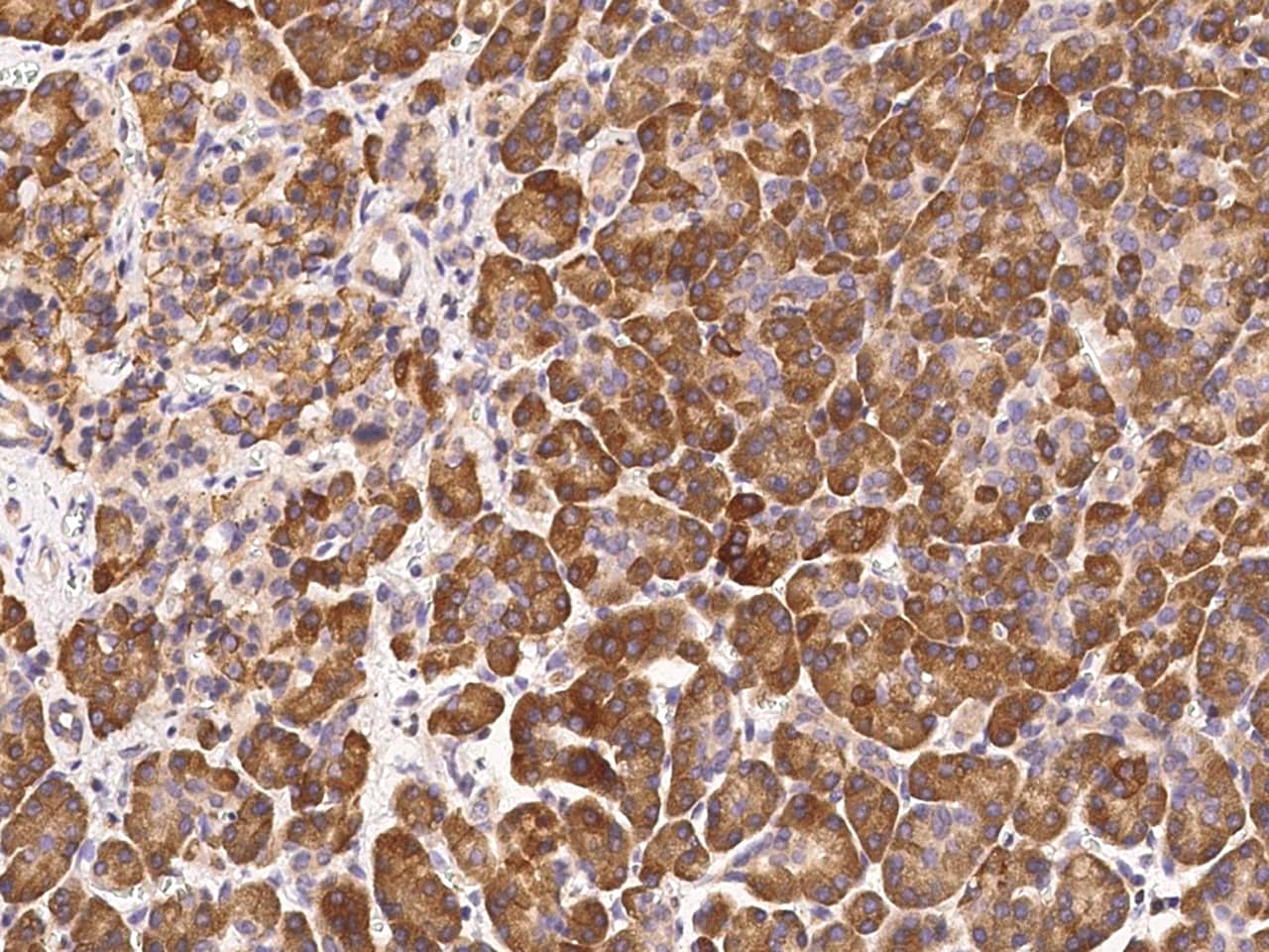
Immunohistochemistry-Paraffin: Ribonuclease A Antibody [NBP3-00131] -

Immunohistochemistry-Paraffin: Ribonuclease A Antibody [NBP3-00131] - Immunochemical staining of human Ribonuclease A in human pancreas with NBP3-00131 (1:2000, formalin-fixed paraffin embedded sections).

Applications for Ribonuclease A Antibody - Azide and BSA Free

Application
Recommended Usage

Immunohistochemistry-Paraffin

1:1000-1:4000

Formulation, Preparation, and Storage

Purification

Antigen and protein A Affinity-purified

Formulation

0.2 um filtered solution in PBS

Format

Azide and BSA Free

Preservative

No Preservative

Concentration

Please see the vial label for concentration. If unlisted please contact technical services.

Shipping

The product is shipped with polar packs. Upon receipt, store it immediately at the temperature recommended below.

Stability & Storage

Store at 4C short term. Aliquot and store at -20C long term. Avoid freeze-thaw cycles.

Background: Ribonuclease A

The Ribonuclease A gene encodes a member of the pancreatic-type of secretory ribonucleases, a subset of the ribonuclease A superfamily. The encoded endonuclease cleaves internal phosphodiester RNA bonds on the 3'-side of pyrimidine bases. It prefers poly(C) as a substr

Alternate Names

EC 3.1.27.5, HP-RNase, MGC12408, RIB1, RIB-1, Ribonuclease 1, Ribonuclease A, ribonuclease pancreatic, ribonuclease, RNase A family, 1 (pancreatic), RNase A, RNase UpI-1, RNS1RNase 1

Gene Symbol

RNASE1

Additional Ribonuclease A Products

Product Documents for Ribonuclease A Antibody - Azide and BSA Free

Certificate of Analysis

To download a Certificate of Analysis, please enter a lot number in the search box below.

Product Specific Notices for Ribonuclease A Antibody - Azide and BSA Free

This product is for research use only and is not approved for use in humans or in clinical diagnosis. Primary Antibodies are guaranteed for 1 year from date of receipt.

Loading...
Loading...
Loading...
Loading...