Skip to main content

RHBG Antibody - BSA Free

Novus Biologicals, part of Bio-Techne | Catalog # NBP2-33527

Novus Biologicals, part of Bio-Techne
Catalog #
Availability
Size / Price
Qty
Loading...
NBP2-33527-25ul
NBP2-33527

Key Product Details

Species Reactivity

Validated:

Human, Mouse

Cited:

Human

Applications

Validated:

Immunohistochemistry, Immunohistochemistry-Paraffin

Cited:

Chemotaxis, RNA-IP

Label

Unconjugated

Antibody Source

Polyclonal Rabbit IgG

Format

BSA Free

Concentration

Concentrations vary lot to lot. See vial label for concentration. If unlisted please contact technical services.

Product Specifications

Immunogen

This antibody was developed against a recombinant protein corresponding to amino acids: YNHKTDAALWHRSNHSNADNEFYFRYP

Reactivity Notes

Mouse reactivity reported in scientific literature (Ransick A et al). Rat (85%).

Clonality

Polyclonal

Host

Rabbit

Isotype

IgG

Scientific Data Images for RHBG Antibody - BSA Free

Immunohistochemistry-Paraffin: RHBG Antibody [NBP2-33527]

Immunohistochemistry-Paraffin: RHBG Antibody [NBP2-33527]

Immunohistochemistry-Paraffin: RHBG Antibody [NBP2-33527] - Staining of human kidney shows strong cytoplasmic and membranous positivity in tubule cells.
RHBG Antibody

Immunohistochemistry-Paraffin: RHBG Antibody [NBP2-33527] -

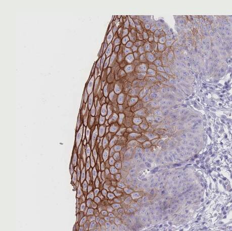
Immunohistochemistry-Paraffin: RHBG Antibody [NBP2-33527] -Staining of human esophagus shows strong membranous positivity in squamous epithelial cells.
RHBG Antibody

Immunohistochemistry-Paraffin: RHBG Antibody [NBP2-33527] -

Immunohistochemistry-Paraffin: RHBG Antibody [NBP2-33527] -Staining of human duodenum shows no membranous positivity in glandular cells as expected.

Applications for RHBG Antibody - BSA Free

Application
Recommended Usage

Immunohistochemistry

1:20 - 1:50

Immunohistochemistry-Paraffin

1:20 - 1:50
Application Notes
For IHC-Paraffin, HIER pH 6 retrieval is recommended.

Formulation, Preparation, and Storage

Purification

Affinity purified

Formulation

PBS (pH 7.2) and 40% Glycerol

Format

BSA Free

Preservative

0.02% Sodium Azide

Concentration

Concentrations vary lot to lot. See vial label for concentration. If unlisted please contact technical services.

Shipping

The product is shipped with polar packs. Upon receipt, store it immediately at the temperature recommended below.

Stability & Storage

Store at 4C short term. Aliquot and store at -20C long term. Avoid freeze-thaw cycles.

Background: RHBG

The RHBG gene encodes one of two non-erythroid members of the Rhesus (Rh) protein family. Non-erythroid Rh protein family members are mainly expressed in the kidney and belong to the methylammonium-ammonium permease/ammonia transporters superfamily. All Rh fa

Alternate Names

ammonium transporter Rh type B, Rh family type B glycoprotein, Rh family, B glycoprotein (gene/pseudogene), Rh type B glycoprotein, Rhesus blood group family type B glycoprotein, Rhesus blood group, B glycoprotein, SLC42A2

Gene Symbol

RHBG

UniProt

Additional RHBG Products

Product Documents for RHBG Antibody - BSA Free

Certificate of Analysis

To download a Certificate of Analysis, please enter a lot number in the search box below.

Product Specific Notices for RHBG Antibody - BSA Free

This product is for research use only and is not approved for use in humans or in clinical diagnosis. Primary Antibodies are guaranteed for 1 year from date of receipt.

Loading...
Loading...
Loading...
Loading...