Skip to main content

RHAG Antibody - BSA Free

Novus Biologicals, part of Bio-Techne | Catalog # NBP3-41526

Novus Biologicals, part of Bio-Techne
Catalog #
Availability
Size / Price
Qty
Loading...
NBP3-41526

Key Product Details

Species Reactivity

Mouse, Rat

Applications

Immunohistochemistry, Immunohistochemistry-Paraffin, Western Blot

Label

Unconjugated

Antibody Source

Polyclonal Rabbit

Format

BSA Free

Concentration

0.75 mg/ml

Product Specifications

Immunogen

Immunized with recombinant Rat RHAG (Uniprot#: Q7TNK7; Ala251-Val450 (Uniprot#: Q7TNK7)

Clonality

Polyclonal

Host

Rabbit

Description

Novus Biologicals Rabbit RHAG Antibody - BSA Free (NBP3-41526) is a polyclonal antibody validated for use in IHC and WB. All Novus Biologicals antibodies are covered by our 100% guarantee.

Scientific Data Images for RHAG Antibody - BSA Free

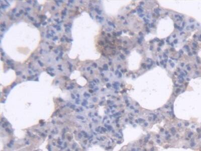
RHAG Antibody

Immunohistochemistry-Paraffin: RHAG Antibody [NBP3-41526] -

Immunohistochemistry-Paraffin: RHAG Antibody [NBP3-41526] - DAB staining on IHC-P; Samples: Rat Skin Tissue; Primary Ab: 20ug/ml NBP3-41526; Second Ab: 2ug/mL HRP-Linked Caprine Anti-Rabbit IgG Polyclonal Antibody
RHAG Antibody

Immunohistochemistry-Paraffin: RHAG Antibody [NBP3-41526] -

Immunohistochemistry-Paraffin: RHAG Antibody [NBP3-41526] - DAB staining on fromalin fixed paraffin-embedded heart tissue
RHAG Antibody

Western Blot: RHAG Antibody [NBP3-41526] -

Western Blot: RHAG Antibody [NBP3-41526] - Sample: Recombinant protein.

Applications for RHAG Antibody - BSA Free

Application
Recommended Usage

Immunohistochemistry

5-20ug/mL

Immunohistochemistry-Paraffin

5-20ug/mL

Western Blot

0.5-2ug/mL

Formulation, Preparation, and Storage

Purification

Antigen and protein A Affinity-purified

Formulation

0.01M PBS, pH7.4, 50% glycerol

Format

BSA Free

Preservative

0.05% Proclin 300

Concentration

0.75 mg/ml

Shipping

The product is shipped with polar packs. Upon receipt, store it immediately at the temperature recommended below.

Stability & Storage

Store at 4C short term. Aliquot and store at -20C long term. Avoid freeze-thaw cycles.

Background: RHAG

The Rh blood group antigens (MIM 111700) are associated with human erythrocyte membrane proteins of approximately 30 kD, the so-called Rh30 polypeptides. Heterogeneously glycosylated membrane proteins of 50 and 45 kD, the Rh50 glycoproteins, are coprecipitated with the Rh30 polypeptides on immunoprecipitation with anti-Rh-specific mono- and polyclonal antibodies. The Rh antigens appear to exist as a multisubunit complex of CD47 (MIM 601028), LW (MIM 111250), glycophorin B (MIM 111740), and play a critical role in the Rh50 glycoprotein.[supplied by OMIM]

Alternate Names

ammonium transporter Rh type A, CD241, CD241 antigen, Erythrocyte membrane glycoprotein Rh50, Erythrocyte plasma membrane 50 kDa glycoprotein, Rh family type A glycoprotein, Rh type A glycoprotein, RH50, Rh50A, RH50ARh50, Rh50GP, Rh-associated glycoprotein, Rhesus associated polypeptide, 50-KD, Rhesus blood group family type A glycoprotein, Rhesus blood group-associated ammonia channel, Rhesus blood group-associated glycoproteinRH2, SLC42A1

Gene Symbol

RHAG

Additional RHAG Products

Product Documents for RHAG Antibody - BSA Free

Certificate of Analysis

To download a Certificate of Analysis, please enter a lot number in the search box below.

Product Specific Notices for RHAG Antibody - BSA Free

This product is for research use only and is not approved for use in humans or in clinical diagnosis. Primary Antibodies are guaranteed for 1 year from date of receipt.

Loading...
Loading...
Loading...
Loading...