Skip to main content

RGS6 Antibody - BSA Free

Novus Biologicals, part of Bio-Techne | Catalog # NBP1-86524

Novus Biologicals, part of Bio-Techne
Catalog #
Availability
Size / Price
Qty
Loading...
NBP1-86524
NBP1-86524-25ul

Key Product Details

Species Reactivity

Validated:

Human

Predicted:

Mouse (95%). Backed by our 100% Guarantee.

Applications

Immunohistochemistry, Immunohistochemistry-Paraffin

Label

Unconjugated

Antibody Source

Polyclonal Rabbit IgG

Format

BSA Free

Concentration

Concentrations vary lot to lot. See vial label for concentration. If unlisted please contact technical services.

Product Specifications

Immunogen

This antibody was developed against Recombinant Protein corresponding to amino acids: SQERAFWDVHRPVPGCVNTTEMDIRKCRRLKNPQKVKKSVYGVTEESQAQSPVHVLSQPIRKTTKEDIRKQITFLNAQIDRHCLKMSKVAESKEPSQQRVKRWGFSFDEILKDQVGRDQFLRFLE

Clonality

Polyclonal

Host

Rabbit

Isotype

IgG

Scientific Data Images for RGS6 Antibody - BSA Free

Immunohistochemistry-Paraffin: RGS6 Antibody [NBP1-86524]

Immunohistochemistry-Paraffin: RGS6 Antibody [NBP1-86524]

Immunohistochemistry-Paraffin: RGS6 Antibody [NBP1-86524] - Staining of human cerebral cortex shows moderate nuclear and cytoplasmic positivity in neurons.
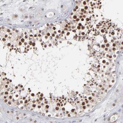
Immunohistochemistry-Paraffin: RGS6 Antibody [NBP1-86524]

Immunohistochemistry-Paraffin: RGS6 Antibody [NBP1-86524]

Immunohistochemistry-Paraffin: RGS6 Antibody [NBP1-86524] - Staining of human testis shows strong nuclear positivity in cells in seminiferous ducts.
Immunohistochemistry-Paraffin: RGS6 Antibody [NBP1-86524]

Immunohistochemistry-Paraffin: RGS6 Antibody [NBP1-86524]

Immunohistochemistry-Paraffin: RGS6 Antibody [NBP1-86524] - Staining of human Fallopian tube shows moderate cytoplasmic and nuclear positivity in glandular cells.

Applications for RGS6 Antibody - BSA Free

Application
Recommended Usage

Immunohistochemistry

1:50 - 1:200

Immunohistochemistry-Paraffin

1:50 - 1:200
Application Notes
For IHC-Paraffin, HIER pH 6 retrieval is recommended.

Formulation, Preparation, and Storage

Purification

Affinity purified

Formulation

PBS (pH 7.2) and 40% Glycerol

Format

BSA Free

Preservative

0.02% Sodium Azide

Concentration

Concentrations vary lot to lot. See vial label for concentration. If unlisted please contact technical services.

Shipping

The product is shipped with polar packs. Upon receipt, store it immediately at the temperature recommended below.

Stability & Storage

Store at 4C short term. Aliquot and store at -20C long term. Avoid freeze-thaw cycles.

Background: RGS6

RGS6 belongs to a subfamily of RGS proteins, which serve as GAPs (GTPase-activating proteins), increasing the rate at which GTP is converted to GDP by isoform alpha G proteins.

Alternate Names

DKFZp313G1241, FLJ43552, G protein signaling 6 regulator, GAP, GTPase activating protein, H_DJ0283M22.1, H_DJ1108A12.1, MGC142132, regulator of G protein signaling 6, regulator of G protein signalling 6, regulator of G-protein signaling 6, regulator of G-protein signalling 6, S914, WUGSC:H_DJ0283M22.1, WUGSC:H_DJ1108A12.1

Gene Symbol

RGS6

Additional RGS6 Products

Product Documents for RGS6 Antibody - BSA Free

Certificate of Analysis

To download a Certificate of Analysis, please enter a lot number in the search box below.

Product Specific Notices for RGS6 Antibody - BSA Free

This product is for research use only and is not approved for use in humans or in clinical diagnosis. Primary Antibodies are guaranteed for 1 year from date of receipt.

Loading...
Loading...
Loading...
Loading...