Skip to main content

RGS6 Antibody (12H5) - BSA Free

Novus Biologicals, part of Bio-Techne | Catalog # NBP3-26346

Recombinant monoclonal antibody expressed in HEK293F cells
Novus Biologicals, part of Bio-Techne
Catalog #
Availability
Size / Price
Qty
Loading...
NBP3-26346-100ul
NBP3-26346-50ul

Key Product Details

Species Reactivity

Human

Applications

ELISA, Immunocytochemistry/ Immunofluorescence, Immunohistochemistry

Label

Unconjugated

Antibody Source

Recombinant Monoclonal Rabbit IgG Clone # 12H5 expressed in HEK293

Format

BSA Free

Concentration

Please see the vial label for concentration. If unlisted please contact technical services.

Product Specifications

Immunogen

A synthesized peptide derived from Human RGS6 [UniProt P49758]

Clonality

Monoclonal

Host

Rabbit

Isotype

IgG

Description

Novus Biologicals Rabbit RGS6 Antibody (12H5) - BSA Free (NBP3-26346) is a recombinant monoclonal antibody validated for use in IHC, ELISA and ICC/IF. All Novus Biologicals antibodies are covered by our 100% guarantee.

Scientific Data Images for RGS6 Antibody (12H5) - BSA Free

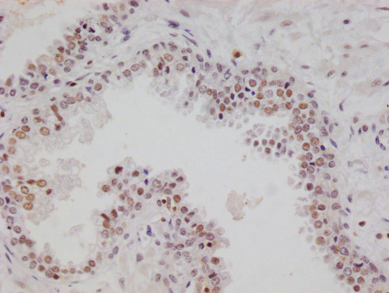
RGS6 Antibody (12H5)

Immunohistochemistry: RGS6 Antibody (12H5) [NBP3-26346] -

Immunohistochemistry: RGS6 Antibody (12H5) [NBP3-26346] - Image of RGS6 Antibody (12H5) diluted at 1:100 and staining in paraffin-embedded human testis tissue performed. After dewaxing and hydration, antigen retrieval was mediated by high pressure in a citrate buffer (pH 6.0). Section was blocked with 10% normal goat serum 30min at RT. Then primary antibody (1% BSA) was incubated at 4°C overnight. The primary is detected by a Goat anti-rabbit polymer IgG labeled by HRP and visualized using 0.05% DAB.
RGS6 Antibody (12H5)

Immunohistochemistry: RGS6 Antibody (12H5) [NBP3-26346] -

Immunohistochemistry: RGS6 Antibody (12H5) [NBP3-26346] - Image of RGS6 Antibody (12H5) diluted at 1:100 and staining in paraffin-embedded human testis tissue performed. After dewaxing and hydration, antigen retrieval was mediated by high pressure in a citrate buffer (pH 6.0). Section was blocked with 10% normal goat serum 30min at RT. Then primary antibody (1% BSA) was incubated at 4°C overnight. The primary is detected by a Goat anti-rabbit polymer IgG labeled by HRP and visualized using 0.05% DAB.
RGS6 Antibody (12H5)

Immunocytochemistry/Immunofluorescence: RGS6 Antibody (12H5) [NBP3-26346] -

Immunocytochemistry/Immunofluorescence: RGS6 Antibody (12H5) [NBP3-26346] - Staining of PC-3 cell with RGS6 Antibody (12H5) at 1:50, counter-stained with DAPI. The cells were fixed in 4% formaldehyde and blocked in 10% normal Goat Serum. The cells were then incubated with the antibody overnight at 4C. The secondary antibody was Alexa Fluor 592-conjugated Goat Anti-Rabbit IgG (H+L).

Applications for RGS6 Antibody (12H5) - BSA Free

Application
Recommended Usage

Immunocytochemistry/ Immunofluorescence

1:50-1:200

Immunohistochemistry

1:50-1:200

Formulation, Preparation, and Storage

Purification

Affinity purified

Formulation

PBS, pH 7.4, 150mM NaCl, and 50% glycerol

Format

BSA Free

Preservative

0.02% Sodium Azide

Concentration

Please see the vial label for concentration. If unlisted please contact technical services.

Shipping

The product is shipped with polar packs. Upon receipt, store it immediately at the temperature recommended below.

Stability & Storage

Store at -20 to -70C. Avoid freeze-thaw cycles.

Background: RGS6

RGS6 belongs to a subfamily of RGS proteins, which serve as GAPs (GTPase-activating proteins), increasing the rate at which GTP is converted to GDP by isoform alpha G proteins.

Alternate Names

DKFZp313G1241, FLJ43552, G protein signaling 6 regulator, GAP, GTPase activating protein, H_DJ0283M22.1, H_DJ1108A12.1, MGC142132, regulator of G protein signaling 6, regulator of G protein signalling 6, regulator of G-protein signaling 6, regulator of G-protein signalling 6, S914, WUGSC:H_DJ0283M22.1, WUGSC:H_DJ1108A12.1

Gene Symbol

RGS6

Additional RGS6 Products

Product Documents for RGS6 Antibody (12H5) - BSA Free

Certificate of Analysis

To download a Certificate of Analysis, please enter a lot number in the search box below.

Product Specific Notices for RGS6 Antibody (12H5) - BSA Free

This product is for research use only and is not approved for use in humans or in clinical diagnosis. Primary Antibodies are guaranteed for 1 year from date of receipt.

Loading...
Loading...
Loading...
Loading...