Skip to main content

RGS14 Antibody - BSA Free

Novus Biologicals, part of Bio-Techne | Catalog # NBP3-38632

Novus Biologicals, part of Bio-Techne
Catalog #
Availability
Size / Price
Qty
Loading...
NBP3-38632-20ul
NBP3-38632-100ul

Key Product Details

Species Reactivity

Human, Mouse, Rat

Applications

Immunohistochemistry, Immunohistochemistry-Paraffin, Western Blot, ELISA

Label

Unconjugated

Antibody Source

Polyclonal Rabbit IgG

Format

BSA Free

Concentration

Please see the vial label for concentration. If unlisted please contact technical services.

Product Specifications

Immunogen

Recombinant fusion protein containing a sequence corresponding to amino acids 230-510 of human RGS14 (NP_006471.2).

Sequence:
PPVEGPGGRPLRKSFRRELGGTANAALRRESQGSLNSSASLDLGFLAFVSSKSESHRKSLGSTEGESESRPGKYCCVYLPDGTASLALARPGLTIRDMLAGICEKRGLSLPDIKVYLVGNEQALVLDQDCTVLADQEVRLENRITFELELTALERVVRISAKPTKRLQEALQPILEKHGLSPLEVVLHRPGEKQPLDLGKLVSSVAAQRLVLDTLPGVKISKARDKSPCRSQGCPPRTQDKATHPPPASPSSLVKVPSSATGKRQTCDIEGLVELLNRVQS

Clonality

Polyclonal

Host

Rabbit

Isotype

IgG

Theoretical MW

61 kDa.
Disclaimer note: The observed molecular weight of the protein may vary from the listed predicted molecular weight due to post translational modifications, post translation cleavages, relative charges, and other experimental factors.

Description

Novus Biologicals Rabbit RGS14 Antibody - BSA Free (NBP3-38632) is a polyclonal antibody validated for use in IHC, WB and ELISA. All Novus Biologicals antibodies are covered by our 100% guarantee.

Scientific Data Images for RGS14 Antibody - BSA Free

RGS14 Antibody

Immunohistochemistry: RGS14 Antibody [NBP3-38632] -

Immunohistochemistry: RGS14 Antibody [NBP3-38632] - Immunohistochemistry analysis of paraffin-embedded Mouse testis using RGS14 Rabbit pAb at dilution of 1:100 (40x lens). High pressure antigen retrieval performed with 0.01M Citrate Bufferr (pH 6.0) prior to IHC staining.
RGS14 Antibody

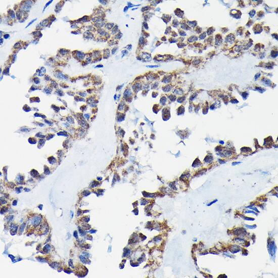
Immunohistochemistry: RGS14 Antibody [NBP3-38632] -

Immunohistochemistry: RGS14 Antibody [NBP3-38632] - Immunohistochemistry analysis of paraffin-embedded Human thyroid cancer using RGS14 Rabbit pAb at dilution of 1:100 (40x lens). High pressure antigen retrieval performed with 0.01M Citrate Bufferr (pH 6.0) prior to IHC staining.
RGS14 Antibody

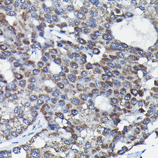
Immunohistochemistry: RGS14 Antibody [NBP3-38632] -

Immunohistochemistry: RGS14 Antibody [NBP3-38632] - Immunohistochemistry analysis of paraffin-embedded Human liver cancer using RGS14 Rabbit pAb at dilution of 1:100 (40x lens). High pressure antigen retrieval performed with 0.01M Citrate Bufferr (pH 6.0) prior to IHC staining.

Applications for RGS14 Antibody - BSA Free

Application
Recommended Usage

Immunohistochemistry-Paraffin

1:50 - 1:200

Western Blot

1:500 - 1:2000

Formulation, Preparation, and Storage

Purification

Affinity purified

Formulation

PBS (pH 7.3), 50% glycerol

Format

BSA Free

Preservative

0.02% Sodium Azide

Concentration

Please see the vial label for concentration. If unlisted please contact technical services.

Shipping

The product is shipped with polar packs. Upon receipt, store it immediately at the temperature recommended below.

Stability & Storage

Store at -20C. Avoid freeze-thaw cycles.

Background: RGS14

RGS14 inhibits signal transduction by increasing the GTPase activity of G protein alpha subunits thereby driving them into their inactive GDP bound form. Contains 1 GoLoco domain, 2 Ras binding (RBD) domains, 1 RGS domain.

Alternate Names

regulator of G-protein signaling 14, regulator of G-protein signalling 14

Gene Symbol

RGS14

Additional RGS14 Products

Product Documents for RGS14 Antibody - BSA Free

Certificate of Analysis

To download a Certificate of Analysis, please enter a lot number in the search box below.

Product Specific Notices for RGS14 Antibody - BSA Free

This product is for research use only and is not approved for use in humans or in clinical diagnosis. Primary Antibodies are guaranteed for 1 year from date of receipt.

Loading...
Loading...
Loading...
Loading...