Skip to main content

Rev-erb beta/NR1D2 Antibody - BSA Free

Novus Biologicals, part of Bio-Techne | Catalog # NLS2459

Novus Biologicals, part of Bio-Techne
Catalog #
Availability
Size / Price
Qty
Loading...
NLS2459

Key Product Details

Species Reactivity

Validated:

Human, Bat, Bovine, Canine, Equine, Monkey, Primate, Rabbit

Predicted:

Mouse (94%), Opossum (100%), Rat (94%). Backed by our 100% Guarantee.

Applications

Immunohistochemistry, Immunohistochemistry-Paraffin

Label

Unconjugated

Antibody Source

Polyclonal Rabbit IgG

Format

BSA Free

Concentration

1.0 mg/ml

Product Specifications

Immunogen

Synthetic 17 amino acid peptide from ligand-binding domain of human Rev-erb beta/NR1D2.

Epitope

Ligand-binding domain

Reactivity Notes

Predicted cross-reactivity based on sequence identity: Gorilla (100%), Gibbon (100%), Marmoset (100%), Chicken (82%).

Localization

Nuclear

Specificity

Human NR1D2. BLAST analysis of the peptide immunogen showed no homology with other human proteins.

Clonality

Polyclonal

Host

Rabbit

Isotype

IgG

Description

Product can be stored undiluted at 4C for up to 1 month.

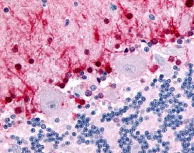
Scientific Data Images for Rev-erb beta/NR1D2 Antibody - BSA Free

Immunohistochemistry-Paraffin: Rev-erb beta/NR1D2 Antibody - BSA Free [NLS2459]

Immunohistochemistry-Paraffin: Rev-erb beta/NR1D2 Antibody - BSA Free [NLS2459]

Immunohistochemistry-Paraffin: TR alpha/NR1A1/Thyroid Hormone Receptor alpha Antibody [NLS2459] - Anti-NR1D2 antibody IHC of human Skin, Melanoma. Immunohistochemistry of formalin-fixed, paraffin-embedded tissue after heat-induced antigen retrieval.
Immunohistochemistry-Paraffin: Rev-erb beta/NR1D2 Antibody - BSA Free [NLS2459]

Immunohistochemistry-Paraffin: Rev-erb beta/NR1D2 Antibody - BSA Free [NLS2459]

Immunohistochemistry-Paraffin: TR alpha/NR1A1/Thyroid Hormone Receptor alpha Antibody [NLS2459] - Analysis of anti-NR1D2 antibody with human brain, cerebellum.

Applications for Rev-erb beta/NR1D2 Antibody - BSA Free

Application
Recommended Usage

Immunohistochemistry-Paraffin

4-7 ug/ml
Application Notes
.

Formulation, Preparation, and Storage

Purification

Immunogen affinity purified

Formulation

PBS

Format

BSA Free

Preservative

0.1% Sodium Azide

Concentration

1.0 mg/ml

Shipping

The product is shipped with polar packs. Upon receipt, store it immediately at the temperature recommended below.

Stability & Storage

Keep as concentrated solution. Aliquot and store at -20C or below. Avoid multiple freeze-thaw cycles.

Background: Rev-erb beta/NR1D2

Rev-erbA beta, a NR1 Thyroid Hormone-Like Receptor, has been shown to affect cell proliferation, organ physiology, and myogenesis. Rev-erbA beta has been shown to be a constitutive repressor and binds as a monomer or homodimer to target DNA, such as the n-myc gene. Rev-erbA beta has also been shown to repress the human apoCIII gene, therefore underscoring a physiological role in the regulation of genes involved in triglyceride metabolism and the pathogenesis of atherosclerosis. Two isoforms of Rev-erbA beta have been isolated in rats (Rev-erbA beta 1 and Rev-erbA beta 2). Rev-erbA beta 2 is longer than Rev-erbA beta 1 by 195 amino acids. Rev-erbA beta expression has been documented in animal brain, skeletal muscle, embryo, and spleen, and in human skeletal muscle. ESTs have been isolated from human tissue libraries, including cancerous brain, colon, eye, kidney, lung, prostate, skin, and uterus, and normal brain, colon, embryo, heart, kidney, liver, lung, nerve, pineal, placenta, skeletal muscle, testis, tonsil, and uterus.

Alternate Names

BD73, EAR-1R, NR1D2, Reverb beta

Entrez Gene IDs

9975 (Human)

Gene Symbol

NR1D2

UniProt

Additional Rev-erb beta/NR1D2 Products

Product Documents for Rev-erb beta/NR1D2 Antibody - BSA Free

Certificate of Analysis

To download a Certificate of Analysis, please enter a lot number in the search box below.

Product Specific Notices for Rev-erb beta/NR1D2 Antibody - BSA Free

This product is for research use only and is not approved for use in humans or in clinical diagnosis. Primary Antibodies are guaranteed for 1 year from date of receipt.

Loading...
Loading...
Loading...
Loading...