Skip to main content

Renalase Antibody (C6) - BSA Free

Novus Biologicals, part of Bio-Techne | Catalog # NBP3-41891

Novus Biologicals, part of Bio-Techne
Catalog #
Availability
Size / Price
Qty
Loading...
NBP3-41891

Key Product Details

Species Reactivity

Human, Rat, Porcine

Applications

Immunohistochemistry, Immunohistochemistry-Paraffin, Western Blot

Label

Unconjugated

Antibody Source

Monoclonal Mouse IgG1 kappa Clone # C6

Format

BSA Free

Concentration

1 mg/ml

Product Specifications

Immunogen

Immunized with recombinant Human Renalase (Uniprot#: Q5VYX0; Ala18-Ile342 (Uniprot#: Q5VYX0)

Clonality

Monoclonal

Host

Mouse

Isotype

IgG1 kappa

Description

Novus Biologicals Mouse Renalase Antibody (C6) - BSA Free (NBP3-41891) is a monoclonal antibody validated for use in IHC and WB. All Novus Biologicals antibodies are covered by our 100% guarantee.

Scientific Data Images for Renalase Antibody (C6) - BSA Free

Renalase Antibody (C6)

Western Blot: Renalase Antibody (C6) [NBP3-41891] -

Western Blot: Renalase Antibody (C6) [NBP3-41891] - Sample: Rat Heart lysate Primary Ab: 2ug/ml NBP3-41891; Second Ab: 0.2ug/mL HRP-Linked Caprine Anti-Mouse IgG Polyclonal Antibody
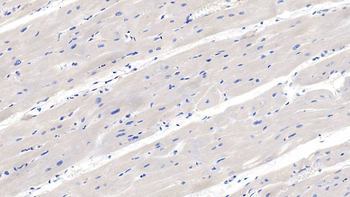
Renalase Antibody (C6)

Immunohistochemistry-Paraffin: Renalase Antibody (C6) [NBP3-41891] -

Immunohistochemistry-Paraffin: Renalase Antibody (C6) [NBP3-41891] - DAB staining on IHC-P; Sample: Human Cardiac Muscle Tissue; Primary Ab: 20ug/ml NBP3-41891; Second Ab: 2ug/mL HRP-Linked Caprine Anti-Mouse IgG Polyclonal Antibody

Applications for Renalase Antibody (C6) - BSA Free

Application
Recommended Usage

Immunohistochemistry

5-20ug/mL

Immunohistochemistry-Paraffin

5-20ug/mL

Western Blot

0.01-2ug/mL

Formulation, Preparation, and Storage

Purification

Affinity purified

Formulation

0.01M PBS, pH7.4, 50% glycerol

Format

BSA Free

Preservative

0.05% Proclin 300

Concentration

1 mg/ml

Shipping

The product is shipped with polar packs. Upon receipt, store it immediately at the temperature recommended below.

Stability & Storage

Store at 4C short term. Aliquot and store at -20C long term. Avoid freeze-thaw cycles.

Background: Renalase

Renalase is a flavin adenine dinucleotide-dependent amine oxidase that is secreted into the blood from the kidney (Xu et al., 2005).[supplied by OMIM]

Alternate Names

C10orf59, RNLS

Gene Symbol

RNLS

Additional Renalase Products

Product Documents for Renalase Antibody (C6) - BSA Free

Certificate of Analysis

To download a Certificate of Analysis, please enter a lot number in the search box below.

Product Specific Notices for Renalase Antibody (C6) - BSA Free

This product is for research use only and is not approved for use in humans or in clinical diagnosis. Primary Antibodies are guaranteed for 1 year from date of receipt.

Loading...
Loading...
Loading...
Loading...