Skip to main content

RelA/NFkB p65 [p Ser276] Antibody

Novus Biologicals, part of Bio-Techne | Catalog # NBP1-77807

Novus Biologicals, part of Bio-Techne
Catalog #
Availability
Size / Price
Qty
Loading...
NBP1-77807

Key Product Details

Validated by

Biological Validation

Species Reactivity

Human

Applications

Immunohistochemistry, Immunohistochemistry-Paraffin, Western Blot, ELISA, Simple Western

Label

Unconjugated

Antibody Source

Polyclonal Rabbit Serum

Concentration

Please see the vial label for concentration. If unlisted please contact technical services.

Product Specifications

Immunogen

RelA/NFkB p65 peptide corresponding to an internal region near phospho Serine 276 of the human protein conjugated to Keyhole Limpet Hemocyanin (KLH). (Uniprot: Q04206)

Reactivity Notes

Reactivity with non-phosphorylated p65 is minimal. Cross reactivity with pS276 phosphorylated p65 from mouse, rat or other species has not been determined.

Modification

p Ser276

Specificity

This phospho specific polyclonal antibody is specific for phosphorylated pS276 human p65. Reactivity with non-phosphorylated p65 is minimal. Cross reactivity with pS276 phosphorylated p65 from mouse, rat or other species has not been determined.

Clonality

Polyclonal

Host

Rabbit

Isotype

Serum

Description

This antibody was prepared from monospecific antiserum by delipidation and defibrination

Store vial at -20C prior to opening. Aliquot contents and freeze at -20C or below for extended storage. Avoid cycles of freezing and thawing. Centrifuge product if not completely clear after standing at room temperature. This product is stable for several weeks at 4C as an undiluted liquid. Dilute only prior to immediate use.

Scientific Data Images for RelA/NFkB p65 [p Ser276] Antibody

Western Blot: RelA/NFkB p65 [p Ser276] Antibody [NBP1-77807] - TNF Induces phosphorylation of p65 in KBM-5 cells. Cytoplasmic and nuclear protein lysates prepared after 0, 5, 10, 15, 30 and 60 minutes of 0.1 nM TNF treatment of KBM-5 cells shows inducible phosphorylation using phospho specific polyclonal anti-human pS276 p65. Pan reactive anti p65 was used a control to show the presence of total p65 in both the cytoplasmic and nuclear extracts. Phosphorylation of p65 occurs after approximately 10 min of TNF exposure. Migration of phosphorylated p65 into the nucleus occurs within a similar time frame. HRP conjugated Gt-anti-Rabbit IgG was used to develop the blot using a chemi -luminescent detection method.
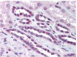
Immunohistochemistry: RelA/NFkB p65 [p Ser276] Antibody [NBP1-77807]

Immunohistochemistry: RelA/NFkB p65 [p Ser276] Antibody [NBP1-77807]

Immunohistochemistry: RelA/NFkB p65 [p Ser276] Antibody [NBP1-77807] - Diluted to1:500 to detect p65 in human kidney tissue. Tissue was formalin fixed and paraffin embedded. No pre-treatment of sample was required. The image shows the localization of antibody as the precipitated red signal, with a hematoxylin purple nuclear counter stain.
Western Blot: RelA/NFkB p65 [p Ser276] Antibody [NBP1-77807]

Western Blot: RelA/NFkB p65 [p Ser276] Antibody [NBP1-77807]

Western Blot: RelA/NFkB p65 [p Ser276] Antibody [NBP1-77807] - pS529 shows phospho p65 staining in carcinoma cells.

Applications for RelA/NFkB p65 [p Ser276] Antibody

Application
Recommended Usage

ELISA

1:10000-1:30000

Immunohistochemistry

1:200-1:800

Immunohistochemistry-Paraffin

1:10-1:500

Simple Western

1:50

Western Blot

1:1000-1:5000
Application Notes
This product reacts human pS276 p65 and shows minimal reactivity by western blot with non-phosphorylated p65 and minimal reactivity by ELISA against the non-phosphorylated form of the immunizing peptide. A 1:500 dilution has been used for staining p65 in human kidney tissue by IHC. Tissue was formalin fixed and paraffin embedded. Although not tested, this antibody is likely functional in immunoprecipitation. All conditions must be user optimized.

See Simple Western Antibody Database for Simple Western validation: tested in HeLa-/+TNF, HeLa-/+TPA, nuclear extracts; antibody dilution of 1:50; separated by size

Formulation, Preparation, and Storage

Purification

Delipidation and Defibrination

Formulation

Antiserum

Preservative

0.01% Sodium Azide

Concentration

Please see the vial label for concentration. If unlisted please contact technical services.

Shipping

The product is shipped with polar packs. Upon receipt, store it immediately at the temperature recommended below.

Stability & Storage

Store at -20C short term. Aliquot and store at -80C long term. Avoid freeze-thaw cycles.

Background: RelA/NFkB p65

Nuclear factor B (NF-B) encompasses an important family of inducible transcriptional activators that regulate a wide variety of cellular and viral genes. The family members include p50, p52, p65 (RelA), c-Rel, and RelB. The Nf-kB p65 subunit, similar to two others in the B family, RelB and c-Rel, contains two transactivation domains in the C-terminal region of the protein. Association with inhibitory proteins of the I B family, retains NF- B in the cytoplasm. Degradation of IB proteins exposes the nuclear localization sequence (NLS), leading to nuclear translocation and subsequent binding of NF-B to DNA. In addition to the nuclear translocation and DNA binding, Nf-kB's transcriptional activity is also regulated by coactivators and corepressors in the nucleus. Interaction of p65 with coactivators; CREB-binding protein and p300, increases its transcriptional activity.

Long Name

v-rel Reticuloendotheliosis Viral Oncogene Homolog A

Alternate Names

NFkB p65, NFKB3, p65RelA, NF kB p65 phospho, NFkB p65 phospho, NF-kB p65 phospho

Gene Symbol

RELA

UniProt

Additional RelA/NFkB p65 Products

Product Documents for RelA/NFkB p65 [p Ser276] Antibody

Certificate of Analysis

To download a Certificate of Analysis, please enter a lot number in the search box below.

Product Specific Notices for RelA/NFkB p65 [p Ser276] Antibody

This product is for research use only and is not approved for use in humans or in clinical diagnosis. Primary Antibodies are guaranteed for 1 year from date of receipt.

Loading...
Loading...
Loading...
Loading...