Skip to main content

RelA/NFkB p65 [p Ser276] Antibody

Novus Biologicals, part of Bio-Techne | Catalog # NB100-82086

Novus Biologicals, part of Bio-Techne
Catalog #
Availability
Size / Price
Qty
Loading...
NB100-82086
NB100-82086-0.025ml

Key Product Details

Species Reactivity

Validated:

Human, Mouse, Rat

Cited:

Human, Rat

Applications

Validated:

Immunohistochemistry, Immunohistochemistry-Paraffin, Western Blot, Immunocytochemistry/ Immunofluorescence, Immunoprecipitation

Cited:

Immunohistochemistry-Paraffin, Western Blot, IF/IHC, SDS-Page

Label

Unconjugated

Antibody Source

Polyclonal Rabbit IgG

Concentration

1.0 mg/ml

Product Specifications

Immunogen

Peptide sequence around phosphorylation site of serine 276(R-P-S(p)-D-R) derived from Human RelA/NFkB p65

Modification

p Ser276

Specificity

Detects endogenous levels of RelA/NFkB p65 only when phosphorylated at serine 276.

Clonality

Polyclonal

Host

Rabbit

Isotype

IgG

Theoretical MW

65 kDa.
Disclaimer note: The observed molecular weight of the protein may vary from the listed predicted molecular weight due to post translational modifications, post translation cleavages, relative charges, and other experimental factors.

Description

Novus Biologicals Rabbit RelA/NFkB p65 [p Ser276] Antibody (NB100-82086) is a polyclonal antibody validated for use in IHC, WB, ICC/IF and IP. Anti-RelA/NFkB p65 Antibody: Cited in 6 publications. All Novus Biologicals antibodies are covered by our 100% guarantee.

Scientific Data Images for RelA/NFkB p65 [p Ser276] Antibody

Immunohistochemistry-Paraffin: RelA/NFkB p65 [p Ser276] Antibody [NB100-82086] -

Immunohistochemistry-Paraffin: RelA/NFkB p65 [p Ser276] Antibody [NB100-82086] - Immunohistochemical analysis of paraffin- embedded human lung carcinoma tissue using NB100-82086
Immunocytochemistry/ Immunofluorescence: RelA/NFkB p65 [p Ser276] Antibody [NB100-82086]

Immunocytochemistry/ Immunofluorescence: RelA/NFkB p65 [p Ser276] Antibody [NB100-82086]

Immunocytochemistry/Immunofluorescence: RelA/NFkB p65 [p Ser276] Antibody [NB100-82086] - Staining of methanol-fixed Hela cells.
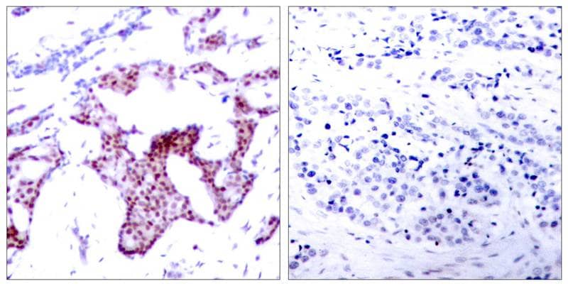
Immunohistochemistry-Paraffin: RelA/NFkB p65 [p Ser276] Antibody [NB100-82086]

Immunohistochemistry-Paraffin: RelA/NFkB p65 [p Ser276] Antibody [NB100-82086]

Immunohistochemistry-Paraffin: RelA/NFkB p65 [p Ser276] Antibody [NB100-82086] - Human breast carcinoma tissue.

Applications for RelA/NFkB p65 [p Ser276] Antibody

Application
Recommended Usage

Immunocytochemistry/ Immunofluorescence

1:50-200

Immunohistochemistry

1:100-1:300

Immunohistochemistry-Paraffin

1:50-1:100

Immunoprecipitation

2-5 ug/mg lysate

Western Blot

1:500-1:2000
Application Notes
RelA/NFkB p65 [p Ser276] antibody validated for WB from a verified customer review.

Reviewed Applications

Read 1 review rated 5 using NB100-82086 in the following applications:

Formulation, Preparation, and Storage

Purification

Immunogen affinity purified

Formulation

PBS, 50% glycerol, 0.5% BSA

Preservative

0.02% Sodium Azide

Concentration

1.0 mg/ml

Shipping

The product is shipped with polar packs. Upon receipt, store it immediately at the temperature recommended below.

Stability & Storage

Store at 4C short term. Aliquot and store at -20C long term. Avoid freeze-thaw cycles.

Background: RelA/NFkB p65

p65 is a subunit of the nuclear factor kappa B. The transcription factor NFkB is widely recognized as a critical mediator of immune and inflammatory responses. In most cell types, NFkB is found in the cytoplasm where it is associated with an inhibitory protein known as IkB. An impressive variety of stimuli (tumor necrosis factor, interleukin 1, T cell activation signals, bacterial endotoxins, viral transforming proteins, certain growth factors and reactive oxygen intermediates) lead to the rapid nuclear accumulation of NFkB by the induced phosphorylation and subsequent degradation of IkB. In the nucleus, NFkB regulates genes encoding cytokines, cytokine receptors, cell adhesion molecules, proteins involved in coagulation and genes involved in cell growth control. Additionally, NFkB is thought to be an important transcriptional regulator for HIV. Growing evidence indicates that the dysregulation of NFkB may be key to a number of diseases including arthritis and other inflammatory diseases, Alzheimer's disease, atherosclerosis and cancer.

Long Name

v-rel Reticuloendotheliosis Viral Oncogene Homolog A

Alternate Names

NFkB p65, NFKB3, p65RelA, NF kB p65 phospho, NFkB p65 phospho, NF-kB p65 phospho, phospho NF kB p65, phospho NFkB p65, phospho NF-kB p65

Entrez Gene IDs

5970 (Human); 19697 (Mouse); 309165 (Rat)

Gene Symbol

RELA

UniProt

Additional RelA/NFkB p65 Products

Product Documents for RelA/NFkB p65 [p Ser276] Antibody

Certificate of Analysis

To download a Certificate of Analysis, please enter a lot number in the search box below.

Product Specific Notices for RelA/NFkB p65 [p Ser276] Antibody

This product is for research use only and is not approved for use in humans or in clinical diagnosis. Primary Antibodies are guaranteed for 1 year from date of receipt.

Loading...
Loading...
Loading...
Loading...