Skip to main content

RECQ1 Antibody - BSA Free

Novus Biologicals, part of Bio-Techne | Catalog # NB100-619

Novus Biologicals, part of Bio-Techne

Key Product Details

Validated by

Independent Antibodies, Biological Validation

Species Reactivity

Validated:

Human

Cited:

Human

Predicted:

Orangutan (100%). Backed by our 100% Guarantee.

Applications

Validated:

Immunohistochemistry, Immunohistochemistry-Paraffin, Western Blot, Immunoprecipitation

Cited:

Western Blot

Label

Unconjugated

Antibody Source

Polyclonal Rabbit IgG

Format

BSA Free

Concentration

1.0 mg/ml

Product Specifications

Immunogen

The immunogen recognized by this antibody maps to a region between residue 600 and the C-terminus (residue 649) of human RecQ protein-like (DNA helicase Q1-like) 1 using the numbering given in Swiss-Prot entry P46063 (GeneID 5965).

Clonality

Polyclonal

Host

Rabbit

Isotype

IgG

Theoretical MW

73 kDa.
Disclaimer note: The observed molecular weight of the protein may vary from the listed predicted molecular weight due to post translational modifications, post translation cleavages, relative charges, and other experimental factors.

Description

Novus Biologicals Rabbit RECQ1 Antibody - BSA Free (NB100-619) is a polyclonal antibody validated for use in IHC, WB and IP. Anti-RECQ1 Antibody: Cited in 2 publications. All Novus Biologicals antibodies are covered by our 100% guarantee.

Scientific Data Images for RECQ1 Antibody - BSA Free

Western Blot: RECQ1 Antibody [NB100-619]

Western Blot: RECQ1 Antibody [NB100-619]

Western Blot: RECQ1 Antibody [NB100-619] - Whole cell lysate (50 ug) from HeLa and 293T cells prepared using NETN lysis buffer. Affinity purified rabbit anti-RecQ1 antibody NB100-619 used for WB at 0.1 ug/mL. Detection: Chemiluminescence with an exposure time of 1 second.
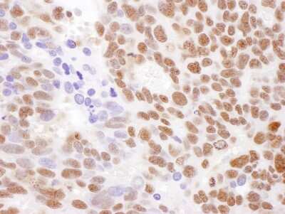
Immunohistochemistry: RECQ1 Antibody [NB100-619]

Immunohistochemistry: RECQ1 Antibody [NB100-619]

Immunohistochemistry: RECQ1 Antibody [NB100-619] - Sample: FFPE section of human ovarian carcinoma. Antibody: Affinity purified rabbit anti- RecQ1 at 1:5000 (0.2 ug/mL). Detection: DAB
Immunoprecipitation: RECQ1 Antibody [NB100-619]

Immunoprecipitation: RECQ1 Antibody [NB100-619]

Immunoprecipitation: RECQ1 Antibody [NB100-619] - Detection of human RecQ1 by western blot of immunoprecipitates. Samples: Whole cell lysate (0.5 or 1.0 mg per IP reaction; 20% of IP loaded) from HeLa cells prepared using NETN lysis buffer. Antibodies: Affinity purified rabbit anti-RecQ1 antibody NB100-619 used for IP at 6 ug per reaction. RecQ1 was also immunoprecipitated by rabbit anti-RecQ1 antibody NB100-618. For blotting immunoprecipitated RecQ1, NB100-619 was used at 1 ug/ml. Detection: Chemiluminescence with an exposure time of 1 second.

Applications for RECQ1 Antibody - BSA Free

Application
Recommended Usage

Immunohistochemistry

1:2000-1:10000

Immunohistochemistry-Paraffin

1:2000-1:10000

Immunoprecipitation

2-10 ug/mg lysate

Western Blot

1:2000-1:10000

Reviewed Applications

Read 3 reviews rated 4.3 using NB100-619 in the following applications:

Formulation, Preparation, and Storage

Purification

Immunogen affinity purified

Formulation

Tris-Citrate/Phosphate (pH 7.0 - 8.0)

Format

BSA Free

Preservative

0.09% Sodium Azide

Concentration

1.0 mg/ml

Shipping

The product is shipped with polar packs. Upon receipt, store it immediately at the temperature recommended below.

Stability & Storage

Store at 4C. Do not freeze.

Background: RECQ1

The protein encoded by this gene is a member of the RecQ DNA helicase family. DNA helicases are enzymes involved in various types of DNA repair, including mismatch repair, nucleotide excision repair and direct repair. Some members of this family are associated with genetic disorders with predisposition to malignancy and chromosomal instability. The biological function of this helicase has not yet been determined. Two alternatively spliced transcripts, which encode the same isoform but differ in their 5' and 3' UTRs, have been described.

Alternate Names

DNA helicase, RecQ-like type 1, DNA-dependent ATPase Q1, EC 3.6.1, EC 3.6.4.12, RecQ protein-like (DNA helicase Q1-like), RecQ protein-like 1, RECQ1, RecQ1ATP-dependent DNA helicase Q1, RecQL1

Entrez Gene IDs

5965 (Human)

Gene Symbol

RECQL

UniProt

Additional RECQ1 Products

Product Documents for RECQ1 Antibody - BSA Free

Certificate of Analysis

To download a Certificate of Analysis, please enter a lot number in the search box below.

Product Specific Notices for RECQ1 Antibody - BSA Free

This product is for research use only and is not approved for use in humans or in clinical diagnosis. Primary Antibodies are guaranteed for 1 year from date of receipt.

Loading...
Loading...
Loading...
Loading...