Skip to main content

RCE1 Antibody - BSA Free

Novus Biologicals, part of Bio-Techne | Catalog # NBP3-35836

Novus Biologicals, part of Bio-Techne
Catalog #
Availability
Size / Price
Qty
Loading...
NBP3-35836-100ul
NBP3-35836-20ul

Key Product Details

Species Reactivity

Human, Mouse, Rat

Applications

Immunohistochemistry, Immunohistochemistry-Paraffin, Western Blot, ELISA, Immunocytochemistry/ Immunofluorescence

Label

Unconjugated

Antibody Source

Polyclonal Rabbit IgG

Format

BSA Free

Concentration

Please see the vial label for concentration. If unlisted please contact technical services.

Product Specifications

Immunogen

A synthetic peptide corresponding to a sequence within amino acids 100-200 of human RCE1 (NP_005124.1).

Sequence:
SLLTLMGFRLEGIFPAALLPLLLTMILFLGPLMQLSMDCPCDLADGLKVVLAPRSWARCLTDMRWLRNQVIAPLTEELVFRACMLPMLAPCMGLGPAVFTC

Clonality

Polyclonal

Host

Rabbit

Isotype

IgG

Theoretical MW

36 kDa.
Disclaimer note: The observed molecular weight of the protein may vary from the listed predicted molecular weight due to post translational modifications, post translation cleavages, relative charges, and other experimental factors.

Scientific Data Images for RCE1 Antibody - BSA Free

RCE1 Antibody

Western Blot: RCE1 Antibody [NBP3-35836] -

Western Blot: RCE1 Antibody [NBP3-35836] - Western blot analysis of various lysates using RCE1 Rabbit pAb at 1:1000 dilution.
Secondary antibody: HRP-conjugated Goat anti-Rabbit IgG (H+L) at 1:10000 dilution.
Lysates/proteins: 25ug per lane.
Blocking buffer: 3% nonfat dry milk in TBST.
Detection: ECL Basic Kit.
Exposure time: 90s.
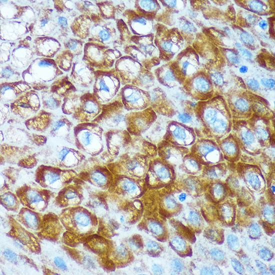
RCE1 Antibody

Immunohistochemistry: RCE1 Antibody [NBP3-35836] -

Immunohistochemistry: RCE1 Antibody [NBP3-35836] - Immunohistochemistry analysis of paraffin-embedded Human esophageal using RCE1 Rabbit pAb at dilution of 1:100 (40x lens). Microwave antigen retrieval performed with 0.01M PBS Buffer (pH 7.2) prior to IHC staining.

Applications for RCE1 Antibody - BSA Free

Application
Recommended Usage

Immunocytochemistry/ Immunofluorescence

1:50 - 1:200

Immunohistochemistry-Paraffin

1:50 - 1:200

Western Blot

1:500 - 1:2000

Formulation, Preparation, and Storage

Purification

Affinity purified

Formulation

PBS (pH 7.3), 50% glycerol

Format

BSA Free

Preservative

0.01% Thimerosal

Concentration

Please see the vial label for concentration. If unlisted please contact technical services.

Shipping

The product is shipped with polar packs. Upon receipt, store it immediately at the temperature recommended below.

Stability & Storage

Store at -20C. Avoid freeze-thaw cycles.

Background: RCE1

RCE1, also known as CAAX prenyl protease 2, is a 36 kDa 329 amino acid protein found in the endoplasmic reticulum membrane. The primary function of RCE1 is to encode a protein that plays a signifcant role in the processing and maintenance of CAAX-type proteins. Research is being conducted on RCE1 in relation tofollicular mucinosis, mandibuloacral dysplasia, phaeohyphomycosis, Legionnaires' disease, impetigo, cardiomyopathy. RCE1 is linked to the G-protein signaling Rap1A regulation pathway where it interacts with ICMT, UBC, EIF3F and ZMPSTE24.

Alternate Names

CAAX prenyl protease 2, EC 3.4.22.-, FACE-2, FACE2RCE1 homolog, prenyl protein protease (S. cerevisiae), farnesylated protein-converting enzyme 2, Farnesylated proteins-converting enzyme 2, hRCE1, Prenyl protein-specific endoprotease 2, RCE1 (S. Cerevisiae) homolog, prenyl protein protease, RCE1 homolog, RCE1 homolog, prenyl protein peptidase (S. cerevisiae), RCE1 homolog, prenyl protein protease, RCE1A, RCE1B

Gene Symbol

RCE1

Additional RCE1 Products

Product Documents for RCE1 Antibody - BSA Free

Certificate of Analysis

To download a Certificate of Analysis, please enter a lot number in the search box below.

Product Specific Notices for RCE1 Antibody - BSA Free

This product is for research use only and is not approved for use in humans or in clinical diagnosis. Primary Antibodies are guaranteed for 1 year from date of receipt.

Loading...
Loading...
Loading...
Loading...