Skip to main content

RCC1 Antibody - BSA Free

Novus Biologicals, part of Bio-Techne | Catalog # NBP3-38248

Novus Biologicals, part of Bio-Techne
Catalog #
Availability
Size / Price
Qty
Loading...
NBP3-38248-20ul
NBP3-38248-100ul

Key Product Details

Species Reactivity

Human, Mouse, Rat

Applications

Immunohistochemistry, Immunohistochemistry-Paraffin, Western Blot, ELISA, Immunocytochemistry/ Immunofluorescence

Label

Unconjugated

Antibody Source

Polyclonal Rabbit IgG

Format

BSA Free

Concentration

Please see the vial label for concentration. If unlisted please contact technical services.

Product Specifications

Immunogen

Recombinant fusion protein containing a sequence corresponding to amino acids 1-240 of human RCC1 (NP_001260.1).

Sequence:
MSPKRIAKRRSPPADAIPKSKKVKVSHRSHSTEPGLVLTLGQGDVGQLGLGENVMERKKPALVSIPEDVVQAEAGGMHTVCLSKSGQVYSFGCNDEGALGRDTSVEGSEMVPGKVELQEKVVQVSAGDSHTAALTDDGRVFLWGSFRDNNGVIGLLEPMKKSMVPVQVQLDVPVVKVASGNDHLVMLTADGDLYTLGCGEQGQLGRVPELFANRGGRQGLERLLVPKCVMLKSRGSRGHV

Clonality

Polyclonal

Host

Rabbit

Isotype

IgG

Theoretical MW

45 kDa.
Disclaimer note: The observed molecular weight of the protein may vary from the listed predicted molecular weight due to post translational modifications, post translation cleavages, relative charges, and other experimental factors.

Description

Novus Biologicals Rabbit RCC1 Antibody - BSA Free (NBP3-38248) is a polyclonal antibody validated for use in IHC, WB, ELISA and ICC/IF. All Novus Biologicals antibodies are covered by our 100% guarantee.

Scientific Data Images for RCC1 Antibody - BSA Free

RCC1 Antibody

Western Blot: RCC1 Antibody [NBP3-38248] -

Western Blot: RCC1 Antibody [NBP3-38248] - Western blot analysis of various lysates using RCC1 Rabbit pAb at 1:1000 dilution.
Secondary antibody: HRP-conjugated Goat anti-Rabbit IgG (H+L) at 1:10000 dilution.
Lysates/proteins: 25ug per lane.
Blocking buffer: 3% nonfat dry milk in TBST.
Detection: ECL Basic Kit.
Exposure time: 5s.
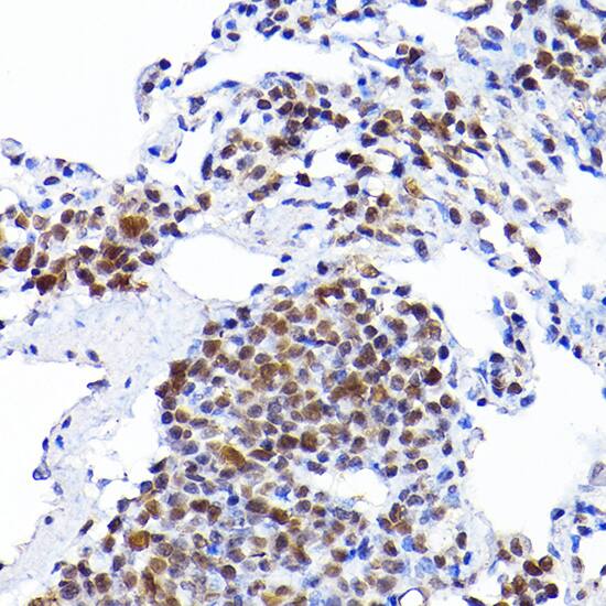
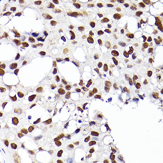
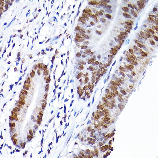
RCC1 Antibody

Immunohistochemistry: RCC1 Antibody [NBP3-38248] -

Immunohistochemistry: RCC1 Antibody [NBP3-38248] - Immunohistochemistry analysis of paraffin-embedded Human colon carcinoma using RCC1 Rabbit pAb at dilution of 1:200 (40x lens). High pressure antigen retrieval performed with 0.01M Citrate Bufferr (pH 6.0) prior to IHC staining.
RCC1 Antibody

Immunocytochemistry/ Immunofluorescence: RCC1 Antibody [NBP3-38248] -

Immunocytochemistry/ Immunofluorescence: RCC1 Antibody [NBP3-38248] - Immunofluorescence analysis of HeLa cells using RCC1 Rabbit pAb at dilution of 1:100. Secondary antibody: Cy3-conjugated Goat anti-Rabbit IgG (H+L) at 1:500 dilution. Blue: DAPI for nuclear staining.

Applications for RCC1 Antibody - BSA Free

Application
Recommended Usage

Immunocytochemistry/ Immunofluorescence

1:50 - 1:200

Immunohistochemistry-Paraffin

1:50 - 1:200

Western Blot

1:1000 - 1:2000

Formulation, Preparation, and Storage

Purification

Affinity purified

Formulation

PBS (pH 7.3), 50% glycerol

Format

BSA Free

Preservative

0.02% Sodium Azide

Concentration

Please see the vial label for concentration. If unlisted please contact technical services.

Shipping

The product is shipped with polar packs. Upon receipt, store it immediately at the temperature recommended below.

Stability & Storage

Store at -20C. Avoid freeze-thaw cycles.

Background: RCC1

Promotes the exchange of Ran-bound GDP by GTP. Involved in the regulation of onset of chromosome condensationin the S phase. Binds to the chromatin. RCC1/Ran complex (together with other proteins) acts as a component of asignal transmission pathway that detects unreplicated DNA

Alternate Names

Cell cycle regulatory protein, CHC1RCC1-I, chromosome condensation 1, Chromosome condensation protein 1, guanine nucleotide-releasing protein, regulator of chromosome condensation, regulator of chromosome condensation 1, SNHG3-RCC1, SNHG3-RCC1 readthrough transcript

Gene Symbol

RCC1

Additional RCC1 Products

Product Documents for RCC1 Antibody - BSA Free

Certificate of Analysis

To download a Certificate of Analysis, please enter a lot number in the search box below.

Product Specific Notices for RCC1 Antibody - BSA Free

This product is for research use only and is not approved for use in humans or in clinical diagnosis. Primary Antibodies are guaranteed for 1 year from date of receipt.

Loading...
Loading...
Loading...
Loading...