Skip to main content

RCAN1 Antibody - BSA Free

Novus Biologicals, part of Bio-Techne | Catalog # NBP3-16971

Novus Biologicals, part of Bio-Techne
Catalog #
Availability
Size / Price
Qty
Loading...
NBP3-16971-100ul
NBP3-16971-25ul

Key Product Details

Species Reactivity

Human

Applications

Immunohistochemistry, Immunohistochemistry-Paraffin

Label

Unconjugated

Antibody Source

Polyclonal Rabbit IgG

Format

BSA Free

Concentration

Concentrations vary lot to lot. See vial label for concentration. If unlisted please contact technical services.

Product Specifications

Immunogen

This antibody was developed against Recombinant Protein corresponding to amino acids: QEKEEEAEMERMRRPKPKIIQ

Clonality

Polyclonal

Host

Rabbit

Isotype

IgG

Description

Novus Biologicals Rabbit RCAN1 Antibody - BSA Free (NBP3-16971) is a polyclonal antibody validated for use in IHC. All Novus Biologicals antibodies are covered by our 100% guarantee.

Scientific Data Images for RCAN1 Antibody - BSA Free

Immunohistochemistry-Paraffin: RCAN1 Antibody [NBP3-16971]

Immunohistochemistry-Paraffin: RCAN1 Antibody [NBP3-16971]

Immunohistochemistry-Paraffin: RCAN1 Antibody [NBP3-16971] - Analysis in human parathyroid gland and tonsil tissues using Anti-RCAN1 antibody. Corresponding RCAN1 RNA-seq data are presented for the same tissues.
Immunohistochemistry-Paraffin: RCAN1 Antibody [NBP3-16971]

Immunohistochemistry-Paraffin: RCAN1 Antibody [NBP3-16971]

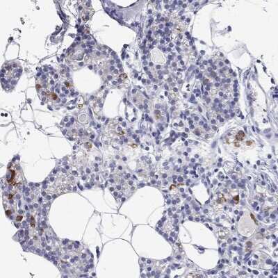
Immunohistochemistry-Paraffin: RCAN1 Antibody [NBP3-16971] - Staining of human parathyroid gland shows high expression.
Immunohistochemistry-Paraffin: RCAN1 Antibody [NBP3-16971]

Immunohistochemistry-Paraffin: RCAN1 Antibody [NBP3-16971]

Immunohistochemistry-Paraffin: RCAN1 Antibody [NBP3-16971] - Staining of human tonsil shows low expression as expected.

Applications for RCAN1 Antibody - BSA Free

Application
Recommended Usage

Immunohistochemistry

1:500 - 1:1000

Immunohistochemistry-Paraffin

1:500 - 1:1000
Application Notes
For IHC-Paraffin, HIER pH 6 retrieval is recommended.

Formulation, Preparation, and Storage

Purification

Affinity purified

Formulation

PBS (pH 7.2) and 40% Glycerol

Format

BSA Free

Preservative

0.02% Sodium Azide

Concentration

Concentrations vary lot to lot. See vial label for concentration. If unlisted please contact technical services.

Shipping

The product is shipped with polar packs. Upon receipt, store it immediately at the temperature recommended below.

Stability & Storage

Store at 4C short term. Aliquot and store at -20C long term. Avoid freeze-thaw cycles.

Background: RCAN1

RCAN1 interacts with calcineurin A and inhibits calcineurin-dependent signaling pathways, possibly affecting central nervous system development. RCAN1 is located in the minimal candidate region for the Down syndrome phenotype, and is overexpressed in the brain of Down syndrome fetuses. Chronic overexpression of this gene may lead to neurofibrillary tangles such as those associated with Alzheimer disease. Three transcript variants encoding three different isoforms have been found for RCAN1.

Alternate Names

Adapt78, calcipressin-1, calcium and oxidant-inducible mRNA, Down syndrome candidate region 1, Down syndrome critical region gene 1, Down syndrome critical region protein 1, DSC1, modulatory calcineurin-interacting protein 1, Myocyte-enriched calcineurin-interacting protein 1, near DSCR proline-rich protein, regulator of calcineurin 1CSP1DSCR1MCIP1RCN1

Gene Symbol

RCAN1

Additional RCAN1 Products

Product Documents for RCAN1 Antibody - BSA Free

Certificate of Analysis

To download a Certificate of Analysis, please enter a lot number in the search box below.

Product Specific Notices for RCAN1 Antibody - BSA Free

This product is for research use only and is not approved for use in humans or in clinical diagnosis. Primary Antibodies are guaranteed for 1 year from date of receipt.

Loading...
Loading...
Loading...
Loading...