Skip to main content

RBPMS Antibody - Azide and BSA Free

Novus Biologicals, part of Bio-Techne | Catalog # NBP2-20112

Novus Biologicals, part of Bio-Techne
Catalog #
Availability
Size / Price
Qty
Loading...
NBP2-20112

Key Product Details

Validated by

Knockout/Knockdown

Species Reactivity

Validated:

Human, Mouse, Rat, Monkey

Cited:

Human, Mouse

Predicted:

Bovine (98%). Backed by our 100% Guarantee.

Applications

Validated:

Immunohistochemistry, Immunohistochemistry-Paraffin, Immunohistochemistry Whole-Mount, Western Blot, Flow Cytometry, Immunocytochemistry/ Immunofluorescence

Cited:

Immunohistochemistry, Immunohistochemistry-Paraffin, Immunohistochemistry Whole-Mount, Immunofluorescence, IF/ICC, IF/IHC

Label

Unconjugated

Antibody Source

Polyclonal Rabbit IgG

Format

Azide and BSA Free

Concentration

Concentrations vary lot to lot. See vial label for concentration. If unlisted please contact technical services.

Product Specifications

Immunogen

Recombinant protein encompassing a sequence within the center region of human RBPMS. The exact sequence is proprietary.

Clonality

Polyclonal

Host

Rabbit

Isotype

IgG

Theoretical MW

22 kDa.
Disclaimer note: The observed molecular weight of the protein may vary from the listed predicted molecular weight due to post translational modifications, post translation cleavages, relative charges, and other experimental factors.

Description

Novus Biologicals Rabbit RBPMS Antibody - BSA Free (NBP2-20112) is a polyclonal antibody validated for use in IHC, WB, Flow and ICC/IF. Anti-RBPMS Antibody: Cited in 20 publications. All Novus Biologicals antibodies are covered by our 100% guarantee.

Scientific Data Images for RBPMS Antibody - Azide and BSA Free

Immunohistochemistry-Paraffin: RBPMS Antibody [NBP2-20112]

Immunohistochemistry-Paraffin: RBPMS Antibody [NBP2-20112]

Immunohistochemistry-Paraffin: RBPMS Antibody [NBP2-20112] - Mouse intestine. RBPMS stained by RBPMS antibody diluted at 1:2000.Antigen Retrieval: Citrate buffer, pH 6.0, 15 min.
RBPMS Antibody

Western Blot: RBPMS Antibody [NBP2-20112] -

Western Blot: RBPMS Antibody [NBP2-20112] - Various whole cell extracts (30 ug) were separated by 12% SDS-PAGE, and the membrane was blotted with RBPMS antibody (NBP2-20112) diluted at 1:500. The HRP-conjugated anti-rabbit IgG antibody was used to detect the primary antibody.
RBPMS Antibody

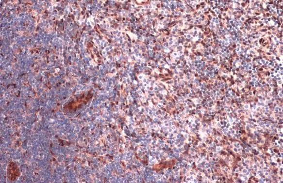
Immunohistochemistry-Paraffin: RBPMS Antibody [NBP2-20112] -

Immunohistochemistry-Paraffin: RBPMS Antibody [NBP2-20112] - RBPMS antibody detects RBPMS protein at cytoplasm and nucleus by immunohistochemical analysis.
Sample: Paraffin-embedded mouse lymph node.
RBPMS stained by RBPMS antibody (NBP2-20112) diluted at 1:500.
Antigen Retrieval: Citrate buffer, pH 6.0, 15 min

Applications for RBPMS Antibody - Azide and BSA Free

Application
Recommended Usage

Flow Cytometry

Validated from a verified customer review.

Immunocytochemistry/ Immunofluorescence

1:100-1:1000

Immunohistochemistry

1:100-1:1000

Immunohistochemistry Whole-Mount

Assay dependent

Immunohistochemistry-Paraffin

1:100-1:1000

Western Blot

1:500-1:3000

Reviewed Applications

Read 1 review rated 4 using NBP2-20112 in the following applications:

Formulation, Preparation, and Storage

Purification

Antigen Affinity-purified

Formulation

PBS, 20% Glycerol

Format

Azide and BSA Free

Preservative

0.025% Proclin 300

Concentration

Concentrations vary lot to lot. See vial label for concentration. If unlisted please contact technical services.

Shipping

The product is shipped with polar packs. Upon receipt, store it immediately at the temperature recommended below.

Stability & Storage

Aliquot and store at -20C or -80C. Avoid freeze-thaw cycles.

Background: RBPMS

This gene encodes a member of the RRM family of RNA-binding proteins. The RRM domain is between 80-100 amino acids in length and family members contain one to four copies of the domain. The RRM domain consists of two short stretches of conserved sequence called RNP1 and RNP2, as well as a few highly conserved hydrophobic residues. The protein encoded by this gene has a single, putative RRM domain in its N-terminus. Alternative splicing results in multiple transcript variants encoding different isoforms. [provided by RefSeq]

Long Name

RNA binding protein, mRNA processing factor

Alternate Names

HERMES, RBPMS

Gene Symbol

RBPMS

Additional RBPMS Products

Product Documents for RBPMS Antibody - Azide and BSA Free

Certificate of Analysis

To download a Certificate of Analysis, please enter a lot number in the search box below.

Product Specific Notices for RBPMS Antibody - Azide and BSA Free

This product is for research use only and is not approved for use in humans or in clinical diagnosis. Primary Antibodies are guaranteed for 1 year from date of receipt.

Loading...
Loading...
Loading...
Loading...
Loading...