Skip to main content

RBPMS Antibody (OTI2G10) - Azide and BSA Free

Novus Biologicals, part of Bio-Techne | Catalog # NBP2-73835

Novus Biologicals, part of Bio-Techne
Catalog #
Availability
Size / Price
Qty
Loading...
NBP2-73835

Key Product Details

Species Reactivity

Validated:

Human, Mouse, Rat, Monkey

Cited:

Human

Applications

Validated:

Immunohistochemistry, Immunohistochemistry-Paraffin, Western Blot, Flow Cytometry, CyTOF-ready

Cited:

Flow Cytometry

Label

Unconjugated

Antibody Source

Monoclonal Mouse IgG1 Clone # OTI2G10

Format

Azide and BSA Free

Concentration

LYOPH mg/ml

Product Specifications

Immunogen

Full length human recombinant protein of human RBPMS (NP_001008712) produced in E.coli.

Reactivity Notes

Please note that this antibody is reactive to Mouse and derived from the same host, Mouse. Mouse-On-Mouse blocking reagent may be needed for IHC and ICC experiments to reduce high background signal. You can find these reagents under catalog numbers PK-2200-NB and MP-2400-NB. Please contact Technical Support if you have any questions.

Clonality

Monoclonal

Host

Mouse

Isotype

IgG1

Theoretical MW

24.1 kDa.
Disclaimer note: The observed molecular weight of the protein may vary from the listed predicted molecular weight due to post translational modifications, post translation cleavages, relative charges, and other experimental factors.

Description

Novus Biologicals Mouse RBPMS Antibody (OTI2G10) - Azide and BSA Free (NBP2-45551) is a monoclonal antibody validated for use in IHC, WB and Flow. Anti-RBPMS Antibody: Cited in 1 publication. All Novus Biologicals antibodies are covered by our 100% guarantee.

Scientific Data Images for RBPMS Antibody (OTI2G10) - Azide and BSA Free

Western Blot: RBPMS Antibody (OTI2G10)Azide and BSA Free [NBP2-73835]

Western Blot: RBPMS Antibody (OTI2G10)Azide and BSA Free [NBP2-73835]

Western Blot: RBPMS Antibody (OTI2G10) - Azide and BSA Free [NBP2-73835] - Analysis of HEK293T cells were transfected with the pCMV6-ENTRY control (Left lane) or pCMV6-ENTRY RBPMS.
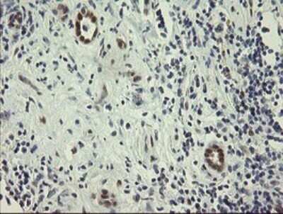
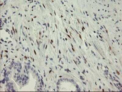
Immunohistochemistry: RBPMS Antibody (OTI2G10) - Azide and BSA Free [NBP2-73835]

Immunohistochemistry: RBPMS Antibody (OTI2G10) - Azide and BSA Free [NBP2-73835]

Immunohistochemistry: RBPMS Antibody (OTI2G10) - Azide and BSA Free [NBP2-73835] - Analysis of Human lung tissue.
Flow Cytometry: RBPMS Antibody (OTI2G10) - Azide and BSA Free [NBP2-73835]

Flow Cytometry: RBPMS Antibody (OTI2G10) - Azide and BSA Free [NBP2-73835]

Flow Cytometry: RBPMS Antibody (OTI2G10) - Azide and BSA Free [NBP2-73835] - Analysis of HEK293T cells transfected with either RC200248 overexpress plasmid(Red) or empty vector control plasmid(Blue) were immunostaining by RBPMS antibody, and then analyzed by flow cytometry.

Applications for RBPMS Antibody (OTI2G10) - Azide and BSA Free

Application
Recommended Usage

Flow Cytometry

1:100

Immunohistochemistry

1:150

Immunohistochemistry-Paraffin

1:150

Western Blot

1:2000

Formulation, Preparation, and Storage

Purification

Immunogen affinity purified

Reconstitution

we recommend adding 100uL distilled water to a final antibody concentration of about 1 mg/mL. To use this carrier-free antibody for conjugation experiment, we strongly recommend performing another round of desalting process.

Formulation

Lyophilized from PBS (pH 7.3) with 8% Trehalose

Format

Azide and BSA Free

Preservative

No Preservative

Concentration

LYOPH mg/ml

Shipping

The product is shipped with polar packs. Upon receipt, store it immediately at the temperature recommended below.

Stability & Storage

Store at -20C. Avoid freeze-thaw cycles.

Background: RBPMS

Encoded by a member of the RRM family of RNA-binding proteins, RBPMS is involved in nucleic acid, nucleotide, RNA and protein binding. The RRM family can be found between 80-100 amino acids in length. RBPMS also acts as a coactivator of transcriptional activity and is required for TGFB1/Smad-mediated transactivation. More specifically, RBPMS acts through SMAD2, SMAD3 and SMAD4 to increase transcriptional activity while promoting the nuclear accumulation of these proteins. Diseases associated with RBPMS include hepatocellular carcinoma, ataxia, carcinoma and neuronitis.

Long Name

RNA binding protein, mRNA processing factor

Alternate Names

HERMES, RBPMS

Gene Symbol

RBPMS

Additional RBPMS Products

Product Documents for RBPMS Antibody (OTI2G10) - Azide and BSA Free

Certificate of Analysis

To download a Certificate of Analysis, please enter a lot number in the search box below.

Product Specific Notices for RBPMS Antibody (OTI2G10) - Azide and BSA Free

This product is for research use only and is not approved for use in humans or in clinical diagnosis. Primary Antibodies are guaranteed for 1 year from date of receipt.

Loading...
Loading...
Loading...
Loading...
Loading...
Loading...