Skip to main content

RBP4/Retinol-Binding Protein 4 Antibody (rRBP4/7372) - Azide and BSA Free

Novus Biologicals, part of Bio-Techne | Catalog # NBP3-49502

Recombinant Monoclonal Antibody
Novus Biologicals, part of Bio-Techne
Catalog #
Availability
Size / Price
Qty
Loading...
NBP3-49502

Key Product Details

Species Reactivity

Human

Applications

Immunohistochemistry

Label

Unconjugated

Antibody Source

Recombinant Monoclonal Mouse IgG1 kappa Clone # rRBP4/7372

Format

Azide and BSA Free

Concentration

Please see the vial label for concentration. If unlisted please contact technical services.

Product Specifications

Immunogen

Recombinant fragment (around aa29-148) of human RBP4 protein (exact sequence is proprietary) (Uniprot: P02753)

Localization

Secreted

Clonality

Monoclonal

Host

Mouse

Isotype

IgG1 kappa

Theoretical MW

25 kDa.
Disclaimer note: The observed molecular weight of the protein may vary from the listed predicted molecular weight due to post translational modifications, post translation cleavages, relative charges, and other experimental factors.

Description

Prepared in 10mM PBS WITHOUT BSA & azide at 1.0mg/ml. Also available with 0.05% BSA & 0.05% azide.

Antibody with azide - store at 2 to 8 C. Antibody without azide - store at -20 to -80 C. Antibody is stable for 24 months. Non-hazardous.

Scientific Data Images

RBP4/Retinol-Binding Protein 4 Antibody (rRBP4/7372) - Azide and BSA Free

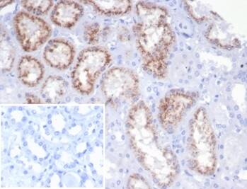
Immunohistochemistry-Paraffin: RBP4/Retinol-Binding Protein 4 Antibody (rRBP4/7372) - Azide and BSA Free [NBP3-49502] -

Formalin-fixed, paraffin-embedded human kidney stained with RBP4/Retinol-Binding Protein 4 Antibody (rRBP4/7372) - Azide and BSA Free. Inset: PBS instead of primary antibody; secondary only negative control.

Applications

Application
Recommended Usage

Immunohistochemistry

Optimal dilutions of this antibody should be experimentally determined.

Formulation, Preparation, and Storage

Purification

Protein A or G purified

Formulation

10 mM PBS

Format

Azide and BSA Free

Preservative

No Preservative

Concentration

Please see the vial label for concentration. If unlisted please contact technical services.

Shipping

The product is shipped with polar packs. Upon receipt, store it immediately at the temperature recommended below.

Stability & Storage

Store at -20 to -80C. Avoid freeze-thaw cycles.

Background: RBP4/Retinol-Binding Protein 4

RBP4 is a specific carrier for retinol in the blood. It is a member of the lipocalin protein family. Under physiological conditions, RBP binds transthyretin (TTR) to prevent glomerular filtration of low molecular weight RBP in the kidneys. The RBP/TTR molar ration provides an indirect way to indicate marginal vitamin A deficiency. RBP4 may also play a role in insulin resistance in diabetes.

Alternate Names

RetinolBinding Protein 4

Gene Symbol

RBP4

Additional RBP4/Retinol-Binding Protein 4 Products

Product Documents

Certificate of Analysis

To download a Certificate of Analysis, please enter a lot number in the search box below.

Product Specific Notices

This product is for research use only and is not approved for use in humans or in clinical diagnosis. Primary Antibodies are guaranteed for 1 year from date of receipt.

Loading...
Loading...
Loading...
Loading...