Skip to main content

RBM3 Antibody - BSA Free

Novus Biologicals, part of Bio-Techne | Catalog # NBP1-81580

Novus Biologicals, part of Bio-Techne
Catalog #
Availability
Size / Price
Qty
Loading...
NBP1-81580-25ul
NBP1-81580

Key Product Details

Validated by

Knockout/Knockdown

Species Reactivity

Human, Mouse, Rat

Applications

Immunohistochemistry, Immunohistochemistry-Paraffin, Western Blot, Immunocytochemistry/ Immunofluorescence, Knockdown Validated

Label

Unconjugated

Antibody Source

Polyclonal Rabbit IgG

Format

BSA Free

Concentration

Concentrations vary lot to lot. See vial label for concentration. If unlisted please contact technical services.

Product Specifications

Immunogen

This antibody was developed against Recombinant Protein corresponding to amino acids: DEQALEDHFSSFGPISEVVVVKDRETQRSRGFGFITFTNPEHASVAMRAMNGESLDGRQIRVDHAGKSARGTRGGGFGAHGRGRSYSRGGGDQGYGSGRYYDSRPGGYGYGYGRSRDYNGRNQGGYDRYSGGNY

Reactivity Notes

Reactivity reported in scientific literature (PMID: 21898641)

Clonality

Polyclonal

Host

Rabbit

Isotype

IgG

Scientific Data Images for RBM3 Antibody - BSA Free

Western Blot: RBM3 Antibody [NBP1-81580]

Western Blot: RBM3 Antibody [NBP1-81580]

Western Blot: RBM3 Antibody [NBP1-81580] - Analysis in U-251MG cells transfected with control siRNA, target specific siRNA probe #1 and #2. Remaining relative intensity is presented. Loading control: Anti-GAPDH.
Immunocytochemistry/ Immunofluorescence: RBM3 Antibody [NBP1-81580]

Immunocytochemistry/ Immunofluorescence: RBM3 Antibody [NBP1-81580]

Immunocytochemistry/Immunofluorescence: RBM3 Antibody [NBP1-81580] - Staining of human cell line U-2 OS shows localization to nucleoplasm. Antibody staining is shown in green.
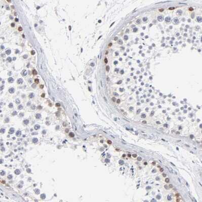
Immunohistochemistry-Paraffin: RBM3 Antibody [NBP1-81580]

Immunohistochemistry-Paraffin: RBM3 Antibody [NBP1-81580]

Immunohistochemistry-Paraffin: RBM3 Antibody [NBP1-81580] - Staining of human testis shows moderate nuclear positivity in cells in seminiferous ducts.

Applications for RBM3 Antibody - BSA Free

Application
Recommended Usage

Immunocytochemistry/ Immunofluorescence

0.25-2 ug/ml

Immunohistochemistry

1:200 - 1:500

Immunohistochemistry-Paraffin

1:200 - 1:500

Western Blot

0.04-0.4 ug/ml
Application Notes
For IHC-Paraffin, HIER pH 6 retrieval is recommended. ICC/IF Fixation Permeabilization: Use PFA/Triton X-100.

Formulation, Preparation, and Storage

Purification

Affinity purified

Formulation

PBS (pH 7.2) and 40% Glycerol

Format

BSA Free

Preservative

0.02% Sodium Azide

Concentration

Concentrations vary lot to lot. See vial label for concentration. If unlisted please contact technical services.

Shipping

The product is shipped with polar packs. Upon receipt, store it immediately at the temperature recommended below.

Stability & Storage

Store at 4C short term. Aliquot and store at -20C long term. Avoid freeze-thaw cycles.

Background: RBM3

RBM3 is a member of the glycine-rich RNA-binding protein family and encodes a protein with one RNA recognition motif (RRM) domain. Expression of this gene is induced by cold shock and low oxygen tension. A pseudogene exists on chromosome 1. Multiple alternatively spliced transcript variants that are predicted to encode different isoforms have been characterized although some of these variants fit nonsense-mediated decay (NMD) criteria. [provided by RefSeq]

Alternate Names

IS1-RNPL, putative RNA-binding protein 3, RNA binding motif (RNP1, RRM) protein 3, RNA binding motif protein 3, RNA-binding motif protein 3, RNPL

Gene Symbol

RBM3

Additional RBM3 Products

Product Documents for RBM3 Antibody - BSA Free

Certificate of Analysis

To download a Certificate of Analysis, please enter a lot number in the search box below.

Product Specific Notices for RBM3 Antibody - BSA Free

This product is for research use only and is not approved for use in humans or in clinical diagnosis. Primary Antibodies are guaranteed for 1 year from date of receipt.

Loading...
Loading...
Loading...
Loading...