Skip to main content

RBM3 Antibody (CL0296) - Azide and BSA Free

Novus Biologicals, part of Bio-Techne | Catalog # NBP3-43899

Novus Biologicals, part of Bio-Techne

Key Product Details

Validated by

Knockout/Knockdown, Orthogonal Validation

Species Reactivity

Human

Applications

Immunohistochemistry-Paraffin, Western Blot, Immunocytochemistry/ Immunofluorescence

Label

Unconjugated

Antibody Source

Monoclonal Mouse IgG1 Clone # CL0296

Format

Azide and BSA Free

Concentration

LYOPH mg/ml

Product Specifications

Immunogen

This antibody was generated using a recombinant protein sequence of P98179, with the exact immunogen sequence remaining proprietary.

Clonality

Monoclonal

Host

Mouse

Isotype

IgG1

Description

Novus Biologicals Mouse RBM3 Antibody (CL0296) - Azide and BSA Free (NBP2-52906) is a monoclonal antibody validated for use in IHC, WB and ICC/IF. All Novus Biologicals antibodies are covered by our 100% guarantee.

Scientific Data Images for RBM3 Antibody (CL0296) - Azide and BSA Free

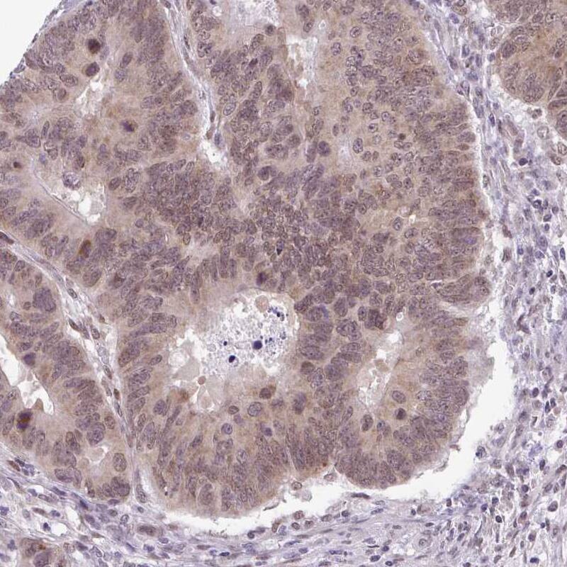
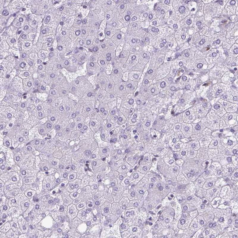
RBM3 Antibody (CL0296) - Azide and BSA Free Immunohistochemistry-Paraffin: RBM3 Antibody [NBP3-43899]

Immunohistochemistry-Paraffin: RBM3 Antibody [NBP3-43899]

Analysis in human tonsil and liver tissues using NBP3-43899 antibody. Corresponding RBM3 RNA-seq data are presented for the same tissues.
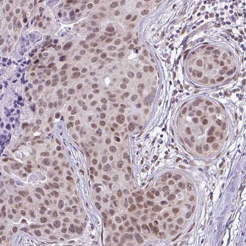
RBM3 Antibody (CL0296) - Azide and BSA Free Immunohistochemistry-Paraffin: RBM3 Antibody [NBP3-43899]

Immunohistochemistry-Paraffin: RBM3 Antibody [NBP3-43899]

Staining of human breast cancer shows moderate nuclear positivity in tumor cells.
RBM3 Antibody (CL0296) - Azide and BSA Free Western Blot: RBM3 Antibody [NBP3-43899]

Western Blot: RBM3 Antibody [NBP3-43899]

Lane 1: Marker [kDa]
Lane 2: Human cell line RT-4

Applications for RBM3 Antibody (CL0296) - Azide and BSA Free

Application
Recommended Usage

Immunocytochemistry/ Immunofluorescence

2-10 ug/ml

Immunohistochemistry-Paraffin

1:500 - 1:1000

Western Blot

1 ug/ml
Application Notes
For IHC-Paraffin, HIER pH 6 retrieval is recommended. Immunocytochemistry/ Immunofluorescence/IF Fixation Permeabilization: Use PFA/Triton X-100.

Formulation, Preparation, and Storage

Purification

Protein A purified

Reconstitution

Centrifuge the vial of lyophilized antibody at 12,000 x g for 20 seconds. Reconstitute by adding sterile, distilled water to achieve a final antibody concentration of 1mg/ml.

Formulation

Lyophilized from a 0.2 um filtered solution in PBS with Trehalose

Format

Azide and BSA Free

Preservative

No Preservative

Concentration

LYOPH mg/ml

Shipping

The product is shipped at ambient temperature. Upon receipt, store it immediately at the temperature recommended below.

Stability & Storage

Store at 4C short term. Aliquot and store at -20C long term. Avoid freeze-thaw cycles.

Background: RBM3

RBM3 is a member of the glycine-rich RNA-binding protein family and encodes a protein with one RNA recognition motif (RRM) domain. Expression of this gene is induced by cold shock and low oxygen tension. A pseudogene exists on chromosome 1. Multiple alternatively spliced transcript variants that are predicted to encode different isoforms have been characterized although some of these variants fit nonsense-mediated decay (NMD) criteria. [provided by RefSeq]

Alternate Names

IS1-RNPL, putative RNA-binding protein 3, RNA binding motif (RNP1, RRM) protein 3, RNA binding motif protein 3, RNA-binding motif protein 3, RNPL

Gene Symbol

RBM3

Additional RBM3 Products

Product Documents for RBM3 Antibody (CL0296) - Azide and BSA Free

Certificate of Analysis

To download a Certificate of Analysis, please enter a lot number in the search box below.

Product Specific Notices for RBM3 Antibody (CL0296) - Azide and BSA Free

This product is for research use only and is not approved for use in humans or in clinical diagnosis. Primary Antibodies are guaranteed for 1 year from date of receipt.

Loading...
Loading...
Loading...
Loading...
Loading...