Skip to main content

RBM17 Antibody

Novus Biologicals, part of Bio-Techne | Catalog # NBP3-28999

Novus Biologicals, part of Bio-Techne
Catalog #
Availability
Size / Price
Qty
Loading...
NBP3-28999

Key Product Details

Species Reactivity

Human

Applications

Immunohistochemistry, Western Blot, Immunoprecipitation

Label

Unconjugated

Antibody Source

Polyclonal Rabbit IgG

Concentration

Please see the vial label for concentration. If unlisted please contact technical services.

Product Specifications

Immunogen

between 351 and 401

Clonality

Polyclonal

Host

Rabbit

Isotype

IgG

Description

Novus Biologicals Rabbit RBM17 Antibody (NBP3-28999) is a polyclonal antibody validated for use in IHC, WB and IP. All Novus Biologicals antibodies are covered by our 100% guarantee.

Scientific Data Images for RBM17 Antibody

RBM17 Antibody

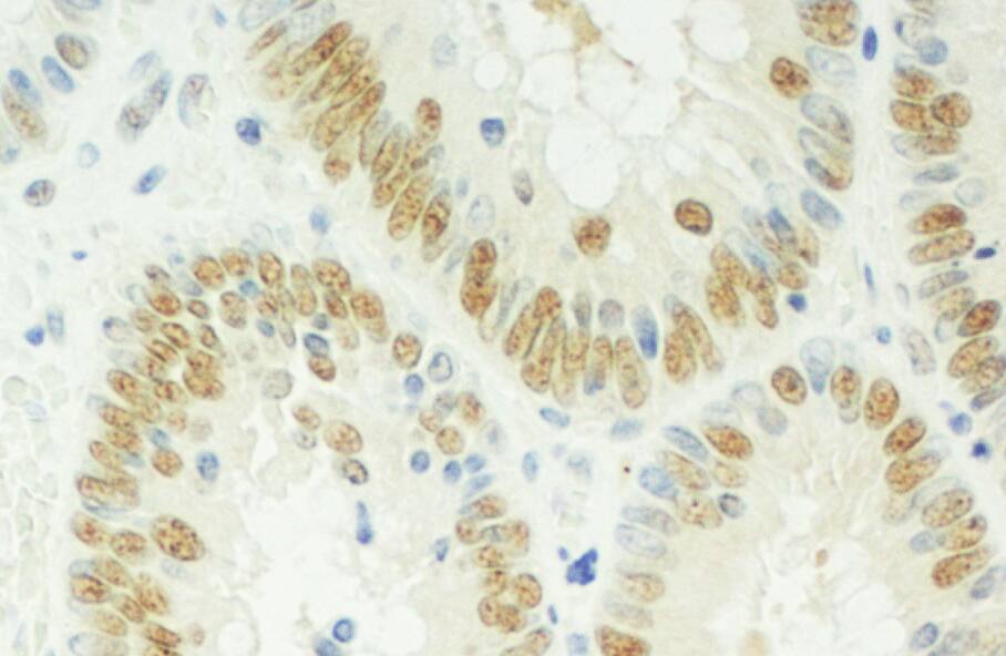
Immunohistochemistry:[NBP3-28999]-

Immunohistochemistry:[NBP3-28999]-Detection of human SPF45 by immunohistochemistry. Sample: FFPE section of human colon carcinoma. Antibody: Affinity purified rabbit anti-SPF45 used at a dilution of 1: 200. Detection: DAB
RBM17 Antibody

Immunohistochemistry:[NBP3-28999]-

Immunohistochemistry:[NBP3-28999]-RBM17 Antibody

Applications for RBM17 Antibody

Application
Recommended Usage

Immunohistochemistry

Optimal dilutions of this antibody should be experimentally determined.

Immunoprecipitation

Optimal dilutions of this antibody should be experimentally determined.

Western Blot

Optimal dilutions of this antibody should be experimentally determined.

Formulation, Preparation, and Storage

Purification

Affinity purified

Formulation

Tris-buffered Saline 0.1% BSA

Preservative

0.09% Sodium Azide

Concentration

Please see the vial label for concentration. If unlisted please contact technical services.

Shipping

The product is shipped with polar packs. Upon receipt, store it immediately at the temperature recommended below.

Stability & Storage

Store at 4C. Do not freeze.

Background: RBM17

The RBM17 gene encodes an RNA binding protein. The encoded protein is part of the spliceosome complex and functions in thesecond catalytic step of mRNA splicing. Alternatively spliced transcript variants have been described. Relatedpseudogenes exist on chromos

Alternate Names

MGC14439, RNA binding motif protein 17, RNA-binding motif protein 17, SPF45DKFZp686F13131, splicing factor 45,45 kDa-splicing factor, splicing factor 45kDa

Gene Symbol

RBM17

Additional RBM17 Products

Product Documents for RBM17 Antibody

Certificate of Analysis

To download a Certificate of Analysis, please enter a lot number in the search box below.

Product Specific Notices for RBM17 Antibody

This product is for research use only and is not approved for use in humans or in clinical diagnosis. Primary Antibodies are guaranteed for 1 year from date of receipt.

Loading...
Loading...
Loading...
Loading...