RBM15 Antibody (6B1) - BSA Free
Novus Biologicals, part of Bio-Techne | Catalog # NBP3-43026
Key Product Details
Species Reactivity
Human
Applications
Immunohistochemistry, Western Blot, ELISA, Immunocytochemistry/ Immunofluorescence, Immunoprecipitation
Label
Unconjugated
Antibody Source
Monoclonal Mouse IgG1 Clone # 6B1
Format
BSA Free
Concentration
Please see the vial label for concentration. If unlisted please contact technical services.
Product Specifications
Immunogen
RNA binding motif protein 15 - (Uniprot# Q96T37)
Clonality
Monoclonal
Host
Mouse
Isotype
IgG1
Theoretical MW
107 kDa.
Disclaimer note: The observed molecular weight of the protein may vary from the listed predicted molecular weight due to post translational modifications, post translation cleavages, relative charges, and other experimental factors.
Disclaimer note: The observed molecular weight of the protein may vary from the listed predicted molecular weight due to post translational modifications, post translation cleavages, relative charges, and other experimental factors.
Description
Novus Biologicals Mouse RBM15 Antibody (6B1) - BSA Free (NBP3-43026) is a monoclonal antibody validated for use in IHC, WB, ELISA, ICC/IF and IP. All Novus Biologicals antibodies are covered by our 100% guarantee.
Scientific Data Images for RBM15 Antibody (6B1) - BSA Free
Immunocytochemistry/ Immunofluorescence: RBM15 Antibody (6B1) [NBP3-43026] -
Immunocytochemistry/ Immunofluorescence: RBM15 Antibody (6B1) [NBP3-43026] - Immunofluorescent analysis of Hela cells, using (RBM15 antibody) at 1:25 dilution and Rhodamine-labeled goat anti-mouse IgG (red).Immunoprecipitation: RBM15 Antibody (6B1) [NBP3-43026] -
Immunoprecipitation: RBM15 Antibody (6B1) [NBP3-43026] - IP result of anti-RBM15(IP:FNab07163, 4ug; Detection:FNab07163 1:500) with HEK-293 cells lysate 2600 ugImmunohistochemistry: RBM15 Antibody (6B1) [NBP3-43026] -
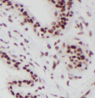
Immunohistochemistry: RBM15 Antibody (6B1) [NBP3-43026] - Immunohistochemistry of paraffin-embedded human breast cancer tissue slide using (RBM15 antibody) at dilution of 1:500Applications for RBM15 Antibody (6B1) - BSA Free
Application
Recommended Usage
Immunocytochemistry/ Immunofluorescence
1:10 - 1:100
Immunohistochemistry
1:200 - 1:800
Immunoprecipitation
1:500 - 1:1000
Western Blot
1:500 - 1:2000
Formulation, Preparation, and Storage
Purification
Protein A or G purified
Formulation
PBS (pH 7.3), 50% glycerol
Format
BSA Free
Preservative
0.02% Sodium Azide
Concentration
Please see the vial label for concentration. If unlisted please contact technical services.
Shipping
The product is shipped with polar packs. Upon receipt, store it immediately at the temperature recommended below.
Stability & Storage
Store at -20C. Avoid freeze-thaw cycles.
Background: RBM15
Alternate Names
FLJ12479, one twenty two protein, one twenty-two, One-twenty two protein 1, putative RNA-binding protein 15, RNA binding motif protein 15, RNA-binding motif protein 15, SPEN
Gene Symbol
RBM15
Additional RBM15 Products
Product Documents for RBM15 Antibody (6B1) - BSA Free
Product Specific Notices for RBM15 Antibody (6B1) - BSA Free
This product is for research use only and is not approved for use in humans or in clinical diagnosis. Primary Antibodies are guaranteed for 1 year from date of receipt.
Loading...
Loading...
Loading...
Loading...