Skip to main content

RBM12 Antibody

Novus Biologicals, part of Bio-Techne | Catalog # NB100-59846

Novus Biologicals, part of Bio-Techne
Catalog #
Availability
Size / Price
Qty
Loading...
NB100-59846

Key Product Details

Validated by

Independent Antibodies

Species Reactivity

Human

Applications

Immunohistochemistry, Immunohistochemistry-Paraffin, Western Blot, Immunoprecipitation

Label

Unconjugated

Antibody Source

Polyclonal Rabbit IgG

Concentration

0.2 mg/ml

Product Specifications

Immunogen

The immunogen recognized by this antibody maps to a region between residue 625 and 675 of human RNA binding motif protein 12 using the numbering given in entry NP_690051.1 (GeneID 10137).

Clonality

Polyclonal

Host

Rabbit

Isotype

IgG

Scientific Data Images for RBM12 Antibody

Western Blot: RBM12 Antibody [NB100-59846]

Western Blot: RBM12 Antibody [NB100-59846]

Western Blot: RBM12 Antibody [NB100-59846] - Detection of Human RBM12 on HeLa whole cell lysate using NB100-59846. RBM12 was also immunoprecipitated by rabbit anti-RBM12 antibody NB100-59847.
Immunohistochemistry: RBM12 Antibody [NB100-59846]

Immunohistochemistry: RBM12 Antibody [NB100-59846]

Immunohistochemistry: RBM12 Antibody [NB100-59846] - Sample: FFPE section of human ovarian carcinoma. Antibody: Affinity purified rabbit anti- RBM12 used at a dilution of 1:200 (1ug/ml). Detection: DAB
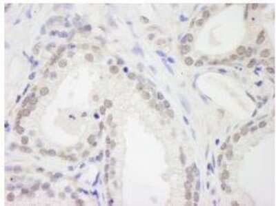
Immunohistochemistry-Paraffin: RBM12 Antibody [NB100-59846]

Immunohistochemistry-Paraffin: RBM12 Antibody [NB100-59846]

Immunohistochemistry-Paraffin: RBM12 Antibody [NB100-59846] - FFPE section of human ovarian carcinoma. Affinity purified rabbit anti-RBM12 used at a dilution of 1:250.

Applications for RBM12 Antibody

Application
Recommended Usage

Immunohistochemistry

1:10-1:500

Immunohistochemistry-Paraffin

1:100-1:500

Immunoprecipitation

2-5 ug/mg lysate

Western Blot

1:2000-1:10000

Formulation, Preparation, and Storage

Purification

Immunogen affinity purified

Formulation

TBS and 0.1% BSA

Preservative

0.09% Sodium Azide

Concentration

0.2 mg/ml

Shipping

The product is shipped with polar packs. Upon receipt, store it immediately at the temperature recommended below.

Stability & Storage

Store at 4C. Do not freeze.

Background: RBM12

This gene encodes a protein that contains several RNA-binding motifs, potential transmembrane domains, and proline-rich regions. This gene and the gene for copine I overlap at map location 20q11.21. Alternative splicing in the 5' UTR results in two transcript variants. Both variants encode the same protein.

Alternate Names

KIAA0765SWANHRIHFB2091, RNA binding motif protein 12, RNA-binding motif protein 12, RNA-binding protein 12, SH3/WW domain anchor protein in the nucleus

Entrez Gene IDs

10137 (Human)

Gene Symbol

RBM12

Additional RBM12 Products

Product Documents for RBM12 Antibody

Certificate of Analysis

To download a Certificate of Analysis, please enter a lot number in the search box below.

Product Specific Notices for RBM12 Antibody

This product is for research use only and is not approved for use in humans or in clinical diagnosis. Primary Antibodies are guaranteed for 1 year from date of receipt.

Loading...
Loading...
Loading...
Loading...