Skip to main content

RBFOX3/NeuN Antibody (SR45-07)

Novus Biologicals, part of Bio-Techne | Catalog # NBP2-67314

Recombinant Monoclonal Antibody
Novus Biologicals, part of Bio-Techne
Catalog #
Availability
Size / Price
Qty
Loading...
NBP2-67314

Key Product Details

Validated by

Biological Validation

Species Reactivity

Human, Mouse, Rat

Applications

Multiplex Immunofluorescence, Immunohistochemistry, Immunohistochemistry-Paraffin, Immunohistochemistry-Frozen, Western Blot, Flow Cytometry, Immunocytochemistry/ Immunofluorescence

Label

Unconjugated

Antibody Source

Recombinant Monoclonal Rabbit IgG Clone # SR45-07 expressed in HEK293

Concentration

1 mg/ml

Product Specifications

Immunogen

Synthetic peptide within human RBFOX3/NeuN aa 20-60. (SwissProt: A6NFN3 Human; SwissProt: Q8BIF2 Mouse; Unigene:143966 Rat)

Localization

Cytoplasm, Nucleus

Clonality

Monoclonal

Host

Rabbit

Isotype

IgG

Theoretical MW

34 kDa.
Disclaimer note: The observed molecular weight of the protein may vary from the listed predicted molecular weight due to post translational modifications, post translation cleavages, relative charges, and other experimental factors.

Scientific Data Images for RBFOX3/NeuN Antibody (SR45-07)

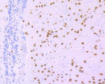
Immunohistochemistry-Paraffin: RBFOX3/NeuN Antibody (SR45-07) [NBP2-67314]

Immunohistochemistry-Paraffin: RBFOX3/NeuN Antibody (SR45-07) [NBP2-67314]

Immunohistochemistry-Paraffin: RBFOX3/NeuN Antibody (SR45-07) [NBP2-67314] - Human brain tissue using anti-NeuN antibody. The section was pre-treated using heat mediated antigen retrieval with Tris-EDTA buffer (pH 8.0-8.4) for 20 minutes.The tissues were blocked in 5% BSA for 30 minutes at room temperature, washed with ddH2O and PBS, and then probed with the primary antibody (1/200) for 30 minutes at room temperature. The detection was performed using an HRP conjugated compact polymer system. DAB was used as the chromogen. Tissues were counterstained with hematoxylin and mounted with DPX.
Immunohistochemistry-Paraffin: RBFOX3/NeuN Antibody (SR45-07) [NBP2-67314]

Immunohistochemistry-Paraffin: RBFOX3/NeuN Antibody (SR45-07) [NBP2-67314]

Immunohistochemistry-Paraffin: RBFOX3/NeuN Antibody (SR45-07) [NBP2-67314] - Analysis of paraffin-embedded mouse cerebellum tissue using anti-NeuN antibody. Counter stained with hematoxylin.
Western Blot: RBFOX3/NeuN Antibody (SR45-07) [NBP2-67314]

Western Blot: RBFOX3/NeuN Antibody (SR45-07) [NBP2-67314]

Western Blot: RBFOX3/NeuN Antibody (SR45-07) [NBP2-67314] - Analysis of RBFOX/NeuN on different lysates with Rabbit anti-RBFOX/NeuN antibody at 1/500 dilution. Lane 1: Rat cerebellum tissue lysate Lane 2: Mouse cerebellum tissue lysate Lysates/proteins at 20 ug/Lane. Predicted band size: 34 kDa Observed band size: 45/50 kDa Exposure time: 2 minutes; 12% SDS-PAGE gel. Proteins were transferred to a PVDF membrane and blocked with 5% NFDM/TBST for 1 hour at room temperature. The primary antibody at 1/500 dilution was used in 5% NFDM/TBST at room temperature for 2 hours. Goat Anti-Rabbit IgG - HRP Secondary Antibody at 1:300,000 dilution was used for 1 hour at room temperature.

Applications for RBFOX3/NeuN Antibody (SR45-07)

Application
Recommended Usage

Flow Cytometry

1:50-1:100

Immunocytochemistry/ Immunofluorescence

1:50-1:200

Immunohistochemistry-Frozen

1:50-1:100

Immunohistochemistry-Paraffin

1:200-1:500

Multiplex Immunofluorescence

1:10000

Western Blot

1:500

Formulation, Preparation, and Storage

Purification

Protein A purified

Formulation

TBS (pH7.4), 0.05% BSA, 40% Glycerol

Preservative

0.05% Sodium Azide

Concentration

1 mg/ml

Shipping

The product is shipped with polar packs. Upon receipt, store it immediately at the temperature recommended below.

Stability & Storage

Store at 4C short term. Aliquot and store at -20C long term. Avoid freeze-thaw cycles.

Background: RBFOX3/NeuN

Rbfox3 (also known as Fox-3, Fox1 homolog C, Hrnbp3, and D11Bwg0517e) is one of three mammalian members of the RNA-binding protein Rbfox gene family, all of which are involved in regulating alternative RNA splicing. Originally identified as an epitope, NeuN is located within the N-terminal region (6-15 amino acids) of Rbfox3. Rbfox family members are highly conserved, having a single RNA recognition motif (RRM)-type RNA binding domain (RBD) near the center of the protein sequence. The RBD amino acid (aa) sequence is identical between members, Rbfox1 and Rbfox2, with 4 differences within the 77 aa domain of Rbfox3. The fox3 gene is comprised of 15 exons in humans, 11 exons in rat, with 3 variants in mouse containing 14 exons and another 3 variants containing 15 exons. The Rbfox3 protein is highly conserved across human, mouse, and rat with 98.9% sequence identity between mouse (isoform I) and rat and 83.9% sequence identity between mouse (isoform I) and human. The expression of Rbfox3/NeuN is restricted to the nervous system and has widely been used in stroke research. It is recognized as a marker of mature neuronal cell types in the spinal cord, cerebral cortex, hippocampus, dorsal thalamus, caudate/putamen, and cerebellum. NeuN has been shown to bind DNA and is predominantly nuclear. Differences in immunoreactivity have been reported between Rbfox3/NeuN subtypes in which the 46kDa is mainly found in the nucleus whereas the 48kDa form is primarily distributed in the cytoplasm (1,2).

Rbfox proteins participate in regulation of alternative splicing between family members as well as in autoregulation. While the breadth of brain and muscle specific targets for alternative splicing is well established for Rbfox proteins, those specific to Rbfox3/NeuN along with its alternative splicing mechanism are less understood. Rbfox3 has been shown to regulate neuronal differentiation by alternative splicing of Numb pre-mRNA and has a role in adult neurogenesis. Dysfunctional Rbfox3/NeuN has been associated with various neurological disorders such as neurodevelopmental delay, autism spectrum disorder, Benign rolandic epilepsy (BRE), and cognitive impairments (1,2).

References

1. Duan W, Zhang YP, Hou Z, Huang C, Zhu H, Zhang CQ, Yin Q. (2016) Novel Insights into NeuN: from Neuronal Marker to Splicing Regulator. Mol Neurobiol. 53(3):1637-1647. PMID: 25680637.

2. Su CH, D D, Tarn WY. (2018) Alternative Splicing in Neurogenesis and Brain Development. Front Mol Biosci. 5:12. PMID: 29484299

Long Name

RNA binding fox-1 homolog 3

Alternate Names

FOX-3, FOX3, HRNBP3, NEUN

Gene Symbol

RBFOX3

Additional RBFOX3/NeuN Products

Product Documents for RBFOX3/NeuN Antibody (SR45-07)

Certificate of Analysis

To download a Certificate of Analysis, please enter a lot number in the search box below.

Product Specific Notices for RBFOX3/NeuN Antibody (SR45-07)

This product is for research use only and is not approved for use in humans or in clinical diagnosis. Primary Antibodies are guaranteed for 1 year from date of receipt.

Loading...
Loading...
Loading...
Loading...
Loading...