Skip to main content

RBCK1 Antibody (CL4289) - Azide and BSA Free

Novus Biologicals, part of Bio-Techne | Catalog # NBP3-44129

Novus Biologicals, part of Bio-Techne

Key Product Details

Species Reactivity

Human

Applications

Immunohistochemistry-Paraffin

Label

Unconjugated

Antibody Source

Monoclonal Mouse IgG1 Clone # CL4289

Format

Azide and BSA Free

Concentration

LYOPH mg/ml

Product Specifications

Immunogen

This antibody was generated using a recombinant protein sequence of Q9BYM8, with the exact immunogen sequence remaining proprietary.

Clonality

Monoclonal

Host

Mouse

Isotype

IgG1

Description

Novus Biologicals Mouse RBCK1 Antibody (CL4289) - Azide and BSA Free (NBP2-59048) is a monoclonal antibody validated for use in IHC. All Novus Biologicals antibodies are covered by our 100% guarantee.

Scientific Data Images for RBCK1 Antibody (CL4289) - Azide and BSA Free

RBCK1 Antibody (CL4289) - Azide and BSA Free Immunohistochemistry-Paraffin: RBCK1 Antibody [NBP3-44129]

Immunohistochemistry-Paraffin: RBCK1 Antibody [NBP3-44129]

Staining of human kidney shows moderate to strong cytoplasmic positivity mainly in renal tubules.
RBCK1 Antibody (CL4289) - Azide and BSA Free Immunohistochemistry-Paraffin: RBCK1 Antibody [NBP3-44129]

Immunohistochemistry-Paraffin: RBCK1 Antibody [NBP3-44129]

Staining of human liver shows cytoplasmic immunoreactivity in hepatocytes.
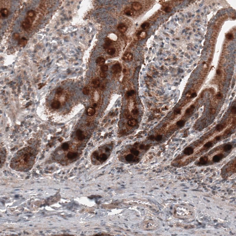
RBCK1 Antibody (CL4289) - Azide and BSA Free Immunohistochemistry-Paraffin: RBCK1 Antibody [NBP3-44129]

Immunohistochemistry-Paraffin: RBCK1 Antibody [NBP3-44129]

Staining of human duodenum shows strong cytoplasmic immunoreactivity in glandular cells.

Applications for RBCK1 Antibody (CL4289) - Azide and BSA Free

Application
Recommended Usage

Immunohistochemistry-Paraffin

1:50 - 1:200
Application Notes
For IHC-Paraffin, HIER pH 6 retrieval is recommended.

Formulation, Preparation, and Storage

Purification

Protein A purified

Reconstitution

Centrifuge the vial of lyophilized antibody at 12,000 x g for 20 seconds. Reconstitute by adding sterile, distilled water to achieve a final antibody concentration of 1mg/ml.

Formulation

Lyophilized from a 0.2 um filtered solution in PBS with Trehalose

Format

Azide and BSA Free

Preservative

No Preservative

Concentration

LYOPH mg/ml

Shipping

The product is shipped at ambient temperature. Upon receipt, store it immediately at the temperature recommended below.

Stability & Storage

Store at 4C short term. Aliquot and store at -20C long term. Avoid freeze-thaw cycles.

Background: RBCK1

RBCK1 is encoded by this gene is similar to mouse UIP28/UbcM4 interacting protein. Alternative splicing has been observed at this locus, resulting in distinct isoforms. [provided by RefSeq]

Alternate Names

C20orf18, EC 6.3.2.-, HBV associated factor 4, HBV-associated factor 4, Heme-oxidized IRP2 ubiquitin ligase 1, Hepatitis B virus X-associated protein 4, HOIL-1, RanBP-type and C3HC4-type zinc finger containing 1, ranBP-type and C3HC4-type zinc finger-containing protein 1, RBCC protein interacting with PKC1, RBCK2, RNF54RING finger protein 54, UBCE7IP3HOIL1, ubiquitin conjugating enzyme 7 interacting protein 3, Ubiquitin-conjugating enzyme 7-interacting protein 3, XAP3, XAP4chromosome 20 open reading frame 18, ZRANB4

Gene Symbol

RBCK1

Additional RBCK1 Products

Product Documents for RBCK1 Antibody (CL4289) - Azide and BSA Free

Certificate of Analysis

To download a Certificate of Analysis, please enter a lot number in the search box below.

Product Specific Notices for RBCK1 Antibody (CL4289) - Azide and BSA Free

This product is for research use only and is not approved for use in humans or in clinical diagnosis. Primary Antibodies are guaranteed for 1 year from date of receipt.

Loading...
Loading...
Loading...
Loading...
Loading...