Skip to main content

RbBP5 Antibody - BSA Free

Novus Biologicals, part of Bio-Techne | Catalog # NBP2-95234

Novus Biologicals, part of Bio-Techne
Catalog #
Availability
Size / Price
Qty
Loading...
NBP2-95234-0.02ml
NBP2-95234-0.1ml

Key Product Details

Species Reactivity

Human, Mouse, Rat

Applications

Immunohistochemistry, Immunohistochemistry-Paraffin, Western Blot, Immunocytochemistry/ Immunofluorescence, Immunoprecipitation

Label

Unconjugated

Antibody Source

Polyclonal Rabbit IgG

Format

BSA Free

Concentration

Please see the vial label for concentration. If unlisted please contact technical services.

Product Specifications

Immunogen

Recombinant fusion protein containing a sequence corresponding to amino acids 319-538 of human RBBP5 (NP_005048.2). SIWAQNQVENWSAFAPDFKELDENVEYEERESEFDIEDEDKSEPEQTGADAAEDEEVDVTSVDPIAAFCSSDEELEDSKALLYLPIAPEVEDPEENPYGPPPDAVQTSLMDEGASSEKKRQSSADGSQPPKKKPKTTNIELQGVPNDEVHPLLGVKGDGKSKKKQAGRPKGSKGKEKDSPFKPKLYKGDRGLPLEGSAKGKVQAELSQPLTAGGAISELL

Clonality

Polyclonal

Host

Rabbit

Isotype

IgG

Description

Novus Biologicals Rabbit RbBP5 Antibody - BSA Free (NBP2-95234) is a polyclonal antibody validated for use in IHC, WB, ICC/IF and IP. All Novus Biologicals antibodies are covered by our 100% guarantee.

Scientific Data Images for RbBP5 Antibody - BSA Free

Western Blot: RbBP5 AntibodyBSA Free [NBP2-95234]

Western Blot: RbBP5 AntibodyBSA Free [NBP2-95234]

Western Blot: RbBP5 Antibody [NBP2-95234] - Analysis of extracts of various cell lines, using RbBP5 at 1:1000 dilution. Secondary antibody: HRP Goat Anti-Rabbit IgG (H+L) at 1:10000 dilution. Lysates/proteins: 25ug per lane. Blocking buffer: 3% nonfat dry milk in TBST. Detection: ECL Basic Kit . Exposure time: 10s.
Immunocytochemistry/ Immunofluorescence: RbBP5 Antibody - BSA Free [NBP2-95234]

Immunocytochemistry/ Immunofluorescence: RbBP5 Antibody - BSA Free [NBP2-95234]

Immunocytochemistry/Immunofluorescence: RbBP5 Antibody [NBP2-95234] - Analysis of A-549 cells using RbBP5 . Blue: DAPI for nuclear staining.
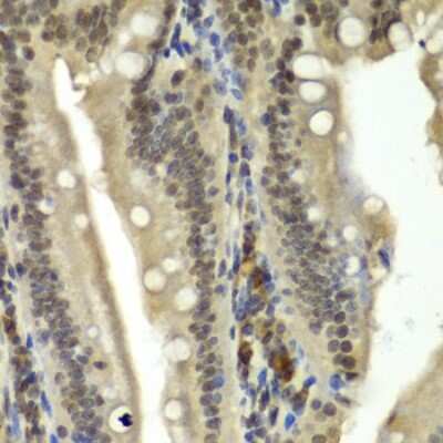
Immunohistochemistry-Paraffin: RbBP5 Antibody - BSA Free [NBP2-95234]

Immunohistochemistry-Paraffin: RbBP5 Antibody - BSA Free [NBP2-95234]

Immunohistochemistry-Paraffin: RbBP5 Antibody [NBP2-95234] - Rat Intestine using RBBP5 antibody at dilution of 1:100 (40x lens).Perform microwave antigen retrieval with 10 mM PBS buffer pH 7.2 before commencing with IHC staining protocol.

Applications for RbBP5 Antibody - BSA Free

Application
Recommended Usage

Immunocytochemistry/ Immunofluorescence

1:50 - 1:100

Immunohistochemistry

1:50 - 1:200

Immunoprecipitation

1:500 - 1:1000

Western Blot

1:500 - 1:2000

Formulation, Preparation, and Storage

Purification

Affinity purified

Formulation

PBS (pH 7.3), 50% glycerol

Format

BSA Free

Preservative

0.02% Sodium Azide

Concentration

Please see the vial label for concentration. If unlisted please contact technical services.

Shipping

The product is shipped with polar packs. Upon receipt, store it immediately at the temperature recommended below.

Stability & Storage

Store at -20C. Avoid freeze-thaw cycles.

Background: RbBP5

RbBP5 is encoded by this gene is a ubiquitously expressed nuclear protein and belongs to a highly conserved subfamily of WD-repeat proteins. It is found among several proteins that bind directly to retinoblastoma protein, which regulates cell proliferation. The encoded protein interacts preferentially with the underphosphorylated retinoblastoma protein via the E1A-binding pocket B.

Alternate Names

RBQ3RBBP-5, retinoblastoma binding protein 5, Retinoblastoma-binding protein RBQ-3, Set1c WD40 repeat protein, homolog, SWD1

Gene Symbol

RBBP5

Additional RbBP5 Products

Product Documents for RbBP5 Antibody - BSA Free

Certificate of Analysis

To download a Certificate of Analysis, please enter a lot number in the search box below.

Product Specific Notices for RbBP5 Antibody - BSA Free

This product is for research use only and is not approved for use in humans or in clinical diagnosis. Primary Antibodies are guaranteed for 1 year from date of receipt.

Loading...
Loading...
Loading...
Loading...