Skip to main content

RB1CC1 Antibody - BSA Free

Novus Biologicals, part of Bio-Techne | Catalog # NBP2-47312

Novus Biologicals, part of Bio-Techne
Catalog #
Availability
Size / Price
Qty
Loading...
NBP2-47312
NBP2-47312-25ul

Key Product Details

Species Reactivity

Validated:

Human

Predicted:

Mouse (95%), Rat (93%). Backed by our 100% Guarantee.

Applications

Immunohistochemistry, Immunohistochemistry-Paraffin, Immunocytochemistry/ Immunofluorescence

Label

Unconjugated

Antibody Source

Polyclonal Rabbit IgG

Format

BSA Free

Concentration

Concentrations vary lot to lot. See vial label for concentration. If unlisted please contact technical services.

Product Specifications

Immunogen

This antibody was developed against a recombinant protein corresponding to amino acids: QGWAAIMANLEDCSNSYQKLLFKFESIYSNYLQSIEDIKLKLTHLGTAVSVMAKIPLLECLTRHSYRECLGRLDSLPEHEDSEKAETKRSTELVLSP

Clonality

Polyclonal

Host

Rabbit

Isotype

IgG

Scientific Data Images for RB1CC1 Antibody - BSA Free

Immunocytochemistry/ Immunofluorescence: RB1CC1 Antibody [NBP2-47312]

Immunocytochemistry/ Immunofluorescence: RB1CC1 Antibody [NBP2-47312]

Immunocytochemistry/Immunofluorescence: RB1CC1 Antibody [NBP2-47312] - Immunofluorescent staining of human cell line HEK 293 shows localization to cytosol.
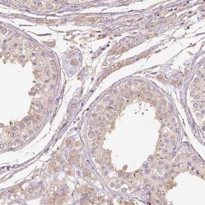
Immunohistochemistry-Paraffin: RB1CC1 Antibody [NBP2-47312]

Immunohistochemistry-Paraffin: RB1CC1 Antibody [NBP2-47312]

Immunohistochemistry-Paraffin: RB1CC1 Antibody [NBP2-47312] - Staining of human testis shows cytoplasmic positivity.

Applications for RB1CC1 Antibody - BSA Free

Application
Recommended Usage

Immunocytochemistry/ Immunofluorescence

0.25-2 ug/ml

Immunohistochemistry

1:200 - 1:500

Immunohistochemistry-Paraffin

1:200 - 1:500
Application Notes
For IHC-Paraffin, HIER pH 6 retrieval is recommended. ICC/IF Fixation Permeabilization: Use PFA/Triton X-100.

Formulation, Preparation, and Storage

Purification

Affinity purified

Formulation

PBS (pH 7.2) and 40% Glycerol

Format

BSA Free

Preservative

0.02% Sodium Azide

Concentration

Concentrations vary lot to lot. See vial label for concentration. If unlisted please contact technical services.

Shipping

The product is shipped with polar packs. Upon receipt, store it immediately at the temperature recommended below.

Stability & Storage

Store at 4C short term. Aliquot and store at -20C long term. Avoid freeze-thaw cycles.

Background: RB1CC1

Alternate Names

Cc1, DRAGOU14, FIP200, KIAA0203200 kDa FAK family kinase-interacting protein, RB1-inducible coiled-coil 1, RB1-inducible coiled-coil protein 1, RBICC

Gene Symbol

RB1CC1

Additional RB1CC1 Products

Product Documents for RB1CC1 Antibody - BSA Free

Certificate of Analysis

To download a Certificate of Analysis, please enter a lot number in the search box below.

Product Specific Notices for RB1CC1 Antibody - BSA Free

This product is for research use only and is not approved for use in humans or in clinical diagnosis. Primary Antibodies are guaranteed for 1 year from date of receipt.

Loading...
Loading...
Loading...
Loading...