Rat alpha2u-Globulin Biotinylated Antibody
R&D Systems, part of Bio-Techne | Catalog # BAM586
Conjugate
Catalog #
Key Product Details
Species Reactivity
Rat
Applications
Immunohistochemistry, Western Blot
Label
Biotin
Antibody Source
Monoclonal Mouse IgG1 Clone # 129736
Product Specifications
Immunogen
Rat urine-derived alpha2u-Globulin
Specificity
Detects rat alpha2u-Globulin in direct ELISAs and Western blots.
Clonality
Monoclonal
Host
Mouse
Isotype
IgG1
Scientific Data Images for Rat alpha2u-Globulin Biotinylated Antibody
alpha2u-Globulin in Rat Liver.
a2u-Globulin was detected in perfusion fixed frozen sections of rat liver using Mouse Anti-Rat a2u-Globulin Biotinylated Monoclonal Antibody (Catalog # BAM586) at 25 µg/mL overnight at 4 °C. Tissue was stained using the Anti-Mouse HRP-DAB Cell & Tissue Staining Kit (brown; Catalog # CTS002) and counter-stained with hematoxylin (blue). View our protocol for Chromogenic IHC Staining of Frozen Tissue Sections.alpha2u-Globulin in Rat Kidney.
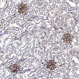
alpha2u-Globulin was detected in immersion fixed paraffin-embedded sections of rat kidney using Mouse Anti-Rat alpha2u-Globulin Biotinylated Monoclonal Antibody (Catalog # BAM586) at 15 µg/mL for 1 hour at room temperature followed by incubation with the Anti-Mouse IgG VisUCyte™ HRP Polymer Antibody (VC001). Before incubation with the primary antibody, tissue was subjected to heat-induced epitope retrieval using Antigen Retrieval Reagent-Basic (CTS013). Tissue was stained using DAB (brown) and counterstained with hematoxylin (blue). Specific staining was localized to glomeruli. Staining was performed using our protocol for IHC Staining with VisUCyte HRP Polymer Detection Reagents.Applications for Rat alpha2u-Globulin Biotinylated Antibody
Application
Recommended Usage
Immunohistochemistry
8-25 µg/mL
Sample: Perfusion fixed frozen sections of rat liver and immersion fixed paraffin-embedded sections of rat kidney
Sample: Perfusion fixed frozen sections of rat liver and immersion fixed paraffin-embedded sections of rat kidney
Western Blot
1 µg/mL
Sample: Rat alpha2u-Globulin
Sample: Rat alpha2u-Globulin
Formulation, Preparation, and Storage
Purification
Protein A or G purified from hybridoma culture supernatant
Reconstitution
Reconstitute at 0.5 mg/mL in sterile PBS.
Formulation
Lyophilized from a 0.2 μm filtered solution in PBS with BSA as a carrier protein.
Shipping
The product is shipped at ambient temperature. Upon receipt, store it immediately at the temperature recommended below.
Stability & Storage
Use a manual defrost freezer and avoid repeated freeze-thaw cycles.
- 12 months from date of receipt, -20 to -70 °C as supplied.
- 1 month, 2 to 8 °C under sterile conditions after reconstitution.
- 6 months, -20 to -70 °C under sterile conditions after reconstitution.
Background: alpha 2u-Globulin
alpha2u-Globulin, also known as PGCL1, is a member of the Lipocalin family that show 87-98% amino acid sequence identity. alpha2u-Globulin is the major urinary protein excreted by adult male rat. It is expressed at highest levels in male liver and coagulate glands.
Alternate Names
AUG, PGCL1
Additional alpha 2u-Globulin Products
Product Documents for Rat alpha2u-Globulin Biotinylated Antibody
Product Specific Notices for Rat alpha2u-Globulin Biotinylated Antibody
For research use only
Loading...
Loading...
Loading...
Loading...