Skip to main content

RASGRP3 Antibody (OTI2C11)

Novus Biologicals, part of Bio-Techne | Catalog # NBP2-45528

Novus Biologicals, part of Bio-Techne

Key Product Details

Species Reactivity

Human, Mouse, Rat

Applications

Immunohistochemistry, Immunohistochemistry-Paraffin, Western Blot

Label

Unconjugated

Antibody Source

Monoclonal Mouse IgG2A Clone # OTI2C11

Concentration

1 mg/ml

Product Specifications

Immunogen

Human recombinant protein fragment corresponding to amino acids 380-690 of human RASGRP3 (NP_733772) produced in E.coli.

Reactivity Notes

Please note that this antibody is reactive to Mouse and derived from the same host, Mouse. Mouse-On-Mouse blocking reagent may be needed for IHC and ICC experiments to reduce high background signal. You can find these reagents under catalog numbers PK-2200-NB and MP-2400-NB. Please contact Technical Support if you have any questions.

Clonality

Monoclonal

Host

Mouse

Isotype

IgG2A

Theoretical MW

78.2 kDa.
Disclaimer note: The observed molecular weight of the protein may vary from the listed predicted molecular weight due to post translational modifications, post translation cleavages, relative charges, and other experimental factors.

Description

Novus Biologicals Mouse RASGRP3 Antibody (OTI2C11) (NBP2-45528) is a monoclonal antibody validated for use in IHC and WB. All Novus Biologicals antibodies are covered by our 100% guarantee.

Scientific Data Images for RASGRP3 Antibody (OTI2C11)

Western Blot: RASGRP3 Antibody (OTI2C11) [NBP2-45528]

Western Blot: RASGRP3 Antibody (OTI2C11) [NBP2-45528]

Western Blot: RASGRP3 Antibody (2C11) [NBP2-45528] - Analysis of HEK293T cells were transfected with the pCMV6-ENTRY control (Left lane) or pCMV6-ENTRY RASGRP3 .
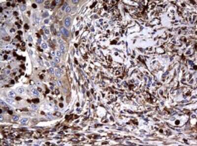
Immunohistochemistry: RASGRP3 Antibody (OTI2C11) [NBP2-45528]

Immunohistochemistry: RASGRP3 Antibody (OTI2C11) [NBP2-45528]

Immunohistochemistry: RASGRP3 Antibody (2C11) [NBP2-45528] - Analysis of Carcinoma of Human lung tissue.(Heat-induced epitope retrieval by 10mM citric buffer, pH6.0, 120C for 3min)
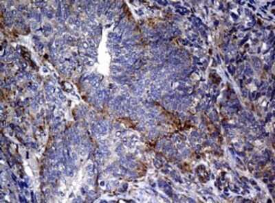
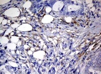
Immunohistochemistry: RASGRP3 Antibody (OTI2C11) [NBP2-45528]

Immunohistochemistry: RASGRP3 Antibody (OTI2C11) [NBP2-45528]

Immunohistochemistry: RASGRP3 Antibody (2C11) [NBP2-45528] - Analysis of Adenocarcinoma of Human ovary tissue. (Heat-induced epitope retrieval by 10mM citric buffer, pH6.0, 120C for 3min)

Applications for RASGRP3 Antibody (OTI2C11)

Application
Recommended Usage

Immunohistochemistry

1:150

Western Blot

1:2000

Formulation, Preparation, and Storage

Purification

Immunogen affinity purified

Formulation

PBS (pH 7.3), 1.0% BSA and 50% Glycerol

Preservative

0.02% Sodium Azide

Concentration

1 mg/ml

Shipping

The product is shipped with polar packs. Upon receipt, store it immediately at the temperature recommended below.

Stability & Storage

Store at -20C. Avoid freeze-thaw cycles.

Background: RASGRP3

Members of the RAS (see HRAS; MIM 190020) subfamily of GTPases function in signal transduction as GTP/GDP-regulated switches that cycle between inactive GDP- and active GTP-bound states. Guanine nucleotide exchange factors (GEFs), such as RASGRP3, serve as RAS activators by promoting acquisition of GTP to maintain the active GTP-bound state and are the key link between cell surface receptors and RAS activation (Rebhun et al., 2000 [PubMed 10934204]).[supplied by OMIM]

Alternate Names

Calcium and DAG-regulated guanine nucleotide exchange factor III, GRP3KIAA0846ras guanyl-releasing protein 3, Guanine nucleotide exchange factor for Rap1, RAS guanyl releasing protein 3 (calcium and DAG-regulated)

Gene Symbol

RASGRP3

Additional RASGRP3 Products

Product Documents for RASGRP3 Antibody (OTI2C11)

Certificate of Analysis

To download a Certificate of Analysis, please enter a lot number in the search box below.

Product Specific Notices for RASGRP3 Antibody (OTI2C11)

This product is for research use only and is not approved for use in humans or in clinical diagnosis. Primary Antibodies are guaranteed for 1 year from date of receipt.

Loading...
Loading...
Loading...
Loading...