Skip to main content

RASGEF1B Antibody - BSA Free

Novus Biologicals, part of Bio-Techne | Catalog # NBP3-46790

Novus Biologicals, part of Bio-Techne
Catalog #
Availability
Size / Price
Qty
Loading...
NBP3-46790

Key Product Details

Species Reactivity

Human, Mouse, Rat

Applications

Immunohistochemistry, Western Blot, ELISA

Label

Unconjugated

Antibody Source

Polyclonal Rabbit IgG

Format

BSA Free

Concentration

Please see the vial label for concentration. If unlisted please contact technical services.

Product Specifications

Immunogen

RasGEF domain family, member 1B. (Uniprot# Q0VAM2)

Clonality

Polyclonal

Host

Rabbit

Isotype

IgG

Theoretical MW

50 kDa.
Disclaimer note: The observed molecular weight of the protein may vary from the listed predicted molecular weight due to post translational modifications, post translation cleavages, relative charges, and other experimental factors.

Description

Novus Biologicals Rabbit RASGEF1B Antibody - BSA Free (NBP3-46790) is a polyclonal antibody validated for use in IHC, WB and ELISA. All Novus Biologicals antibodies are covered by our 100% guarantee.

Scientific Data Images for RASGEF1B Antibody - BSA Free

RASGEF1B Antibody - BSA Free

Western Blot: RASGEF1B Antibody - BSA Free [NBP3-46790] -

Western Blot: RASGEF1B Antibody - BSA Free [NBP3-46790] - Human brain tissue were subjected to SDS PAGE followed by western blot with (RASGEF1B antibody) at dilution of 1:300
RASGEF1B Antibody - BSA Free

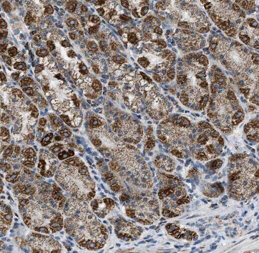
Immunohistochemistry: RASGEF1B Antibody - BSA Free [NBP3-46790] -

Immunohistochemistry: RASGEF1B Antibody - BSA Free [NBP3-46790] - Immunohistochemistry of paraffin-embedded human stomach using (RASGEF1B antibody) at dilution of 1:50

Applications for RASGEF1B Antibody - BSA Free

Application
Recommended Usage

Immunohistochemistry

1:20-1:200

Western Blot

1:500-1:2000

Formulation, Preparation, and Storage

Purification

Immunogen affinity purified

Formulation

PBS, 50% Glycerol, pH (7.3)

Format

BSA Free

Preservative

0.02% Sodium Azide

Concentration

Please see the vial label for concentration. If unlisted please contact technical services.

Shipping

The product is shipped with polar packs. Upon receipt, store it immediately at the temperature recommended below.

Stability & Storage

Store at -20C. Avoid freeze-thaw cycles.

Background: RASGEF1B

Guanine nucleotide exchange factor (GEF) for Ras family proteins (in vitro)

Alternate Names

RasGEF domain family, member 1B, ras-GEF domain-containing family member 1B

Gene Symbol

RASGEF1B

Additional RASGEF1B Products

Product Documents for RASGEF1B Antibody - BSA Free

Certificate of Analysis

To download a Certificate of Analysis, please enter a lot number in the search box below.

Product Specific Notices for RASGEF1B Antibody - BSA Free

This product is for research use only and is not approved for use in humans or in clinical diagnosis. Primary Antibodies are guaranteed for 1 year from date of receipt.

Loading...
Loading...
Loading...
Loading...