RASGEF1B Antibody - BSA Free
Novus Biologicals, part of Bio-Techne | Catalog # NBP1-82015
Key Product Details
Species Reactivity
Validated:
Human
Predicted:
Mouse (95%), Rat (92%). Backed by our 100% Guarantee.
Applications
Immunohistochemistry, Immunohistochemistry-Paraffin, Western Blot
Label
Unconjugated
Antibody Source
Polyclonal Rabbit IgG
Format
BSA Free
Concentration
Concentrations vary lot to lot. See vial label for concentration. If unlisted please contact technical services.
Product Specifications
Immunogen
This antibody was developed against Recombinant Protein corresponding to amino acids: RDERMMRNLKDLAHRIASGEETYRKNVQQMMQCLIRKLAALSQYEEVLAKISSTSTDRLTVLKTKPQSIQRDIITVC
Clonality
Polyclonal
Host
Rabbit
Isotype
IgG
Scientific Data Images for RASGEF1B Antibody - BSA Free
Western Blot: RASGEF1B Antibody [NBP1-82015]
Western Blot: RASGEF1B Antibody [NBP1-82015] - Lane 1: Marker [kDa] 250, 130, 95, 72, 55, 36, 28, 17, 10. Lane 2: Human cell line RT-4Immunohistochemistry-Paraffin: RASGEF1B Antibody [NBP1-82015]
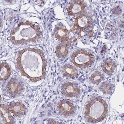
Immunohistochemistry-Paraffin: RASGEF1B Antibody [NBP1-82015] - Staining of human breast shows cytoplasmic and membranous positivity in glandular cells.Applications for RASGEF1B Antibody - BSA Free
Application
Recommended Usage
Immunohistochemistry
1:50 - 1:200
Immunohistochemistry-Paraffin
1:50-1:200
Western Blot
0.04-0.4 ug/ml
Application Notes
For IHC-Paraffin, HIER pH 6 retrieval is recommended. Immunocytochemistry/Immunofluorescence Fixation Permeabilization: Use PFA/Triton X-100.
Formulation, Preparation, and Storage
Purification
Affinity purified
Formulation
PBS (pH 7.2) and 40% Glycerol
Format
BSA Free
Preservative
0.02% Sodium Azide
Concentration
Concentrations vary lot to lot. See vial label for concentration. If unlisted please contact technical services.
Shipping
The product is shipped with polar packs. Upon receipt, store it immediately at the temperature recommended below.
Stability & Storage
Store at 4C short term. Aliquot and store at -20C long term. Avoid freeze-thaw cycles.
Background: RASGEF1B
Alternate Names
RasGEF domain family, member 1B, ras-GEF domain-containing family member 1B
Gene Symbol
RASGEF1B
Additional RASGEF1B Products
Product Documents for RASGEF1B Antibody - BSA Free
Product Specific Notices for RASGEF1B Antibody - BSA Free
This product is for research use only and is not approved for use in humans or in clinical diagnosis. Primary Antibodies are guaranteed for 1 year from date of receipt.
Loading...
Loading...
Loading...
Loading...