Skip to main content

RASGEF1A Antibody - BSA Free

Novus Biologicals, part of Bio-Techne | Catalog # NBP3-46791

Novus Biologicals, part of Bio-Techne
Catalog #
Availability
Size / Price
Qty
Loading...
NBP3-46791

Key Product Details

Species Reactivity

Human, Mouse, Rat

Applications

Immunohistochemistry, Western Blot, ELISA

Label

Unconjugated

Antibody Source

Polyclonal Rabbit IgG

Format

BSA Free

Concentration

Please see the vial label for concentration. If unlisted please contact technical services.

Product Specifications

Immunogen

RasGEF domain family, member 1A. (Uniprot# Q8N9B8)

Clonality

Polyclonal

Host

Rabbit

Isotype

IgG

Theoretical MW

55 kDa.
Disclaimer note: The observed molecular weight of the protein may vary from the listed predicted molecular weight due to post translational modifications, post translation cleavages, relative charges, and other experimental factors.

Description

Novus Biologicals Rabbit RASGEF1A Antibody - BSA Free (NBP3-46791) is a polyclonal antibody validated for use in IHC, WB and ELISA. All Novus Biologicals antibodies are covered by our 100% guarantee.

Scientific Data Images for RASGEF1A Antibody - BSA Free

RASGEF1A Antibody - BSA Free

Western Blot: RASGEF1A Antibody - BSA Free [NBP3-46791] -

Western Blot: RASGEF1A Antibody - BSA Free [NBP3-46791] - Transfected HEK-293 cells were subjected to SDS PAGE followed by western blot with (RASGEF1A Antibody) at dilution of 1:1000
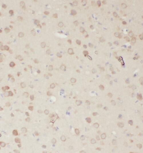
RASGEF1A Antibody - BSA Free

Immunohistochemistry: RASGEF1A Antibody - BSA Free [NBP3-46791] -

Immunohistochemistry: RASGEF1A Antibody - BSA Free [NBP3-46791] - Immunohistochemistry of paraffin-embedded human brain using (RASGEF1A antibody) at dilution of 1:100

Applications for RASGEF1A Antibody - BSA Free

Application
Recommended Usage

Immunohistochemistry

1:20-1:200

Western Blot

1:500-1:2000

Formulation, Preparation, and Storage

Purification

Immunogen affinity purified

Formulation

PBS, 50% Glycerol, pH (7.3)

Format

BSA Free

Preservative

0.02% Sodium Azide

Concentration

Please see the vial label for concentration. If unlisted please contact technical services.

Shipping

The product is shipped with polar packs. Upon receipt, store it immediately at the temperature recommended below.

Stability & Storage

Store at -20C. Avoid freeze-thaw cycles.

Background: RASGEF1A

Guanine nucleotide exchange factor (GEF) for KRAS, HRAS, and NRAS (in vitro). Plays a role in cell migration

Alternate Names

CG4853, CG4853 gene product, FLJ37817, RasGEF domain family, member 1A, ras-GEF domain-containing family member 1A

Gene Symbol

RASGEF1A

Additional RASGEF1A Products

Product Documents for RASGEF1A Antibody - BSA Free

Certificate of Analysis

To download a Certificate of Analysis, please enter a lot number in the search box below.

Product Specific Notices for RASGEF1A Antibody - BSA Free

This product is for research use only and is not approved for use in humans or in clinical diagnosis. Primary Antibodies are guaranteed for 1 year from date of receipt.

Loading...
Loading...
Loading...
Loading...