Skip to main content

RASD2 Antibody

Novus Biologicals, part of Bio-Techne | Catalog # NBP3-12373

Novus Biologicals, part of Bio-Techne
Catalog #
Availability
Size / Price
Qty
Loading...
NBP3-12373

Key Product Details

Species Reactivity

Human, Mouse, Rat, Primate

Applications

Immunohistochemistry, Immunohistochemistry-Paraffin, Western Blot, ELISA, Immunoprecipitation

Label

Unconjugated

Antibody Source

Polyclonal Rabbit

Concentration

Please see the vial label for concentration. If unlisted please contact technical services.

Product Specifications

Immunogen

Synthetic peptide taken within amino acid region 250-317 on RASD2 protein.

Clonality

Polyclonal

Host

Rabbit

Description

Novus Biologicals Rabbit RASD2 Antibody (NBP3-12373) is a polyclonal antibody validated for use in IHC, WB, ELISA and IP. All Novus Biologicals antibodies are covered by our 100% guarantee.

Scientific Data Images for RASD2 Antibody

Immunohistochemistry-Paraffin: RASD2 Antibody [NBP3-12373]

Immunohistochemistry-Paraffin: RASD2 Antibody [NBP3-12373]

Immunohistochemistry-Paraffin: RASD2 Antibody [NBP3-12373] - Mouse lung 1:100 dilution in IHC blocking buffer. DAB (brown) staining and Hematoxylin QS (blue) counterstain. 40X magnification.
Immunohistochemistry-Paraffin: RASD2 Antibody [NBP3-12373]

Immunohistochemistry-Paraffin: RASD2 Antibody [NBP3-12373]

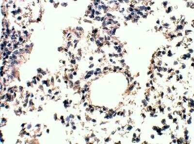
Immunohistochemistry-Paraffin: RASD2 Antibody [NBP3-12373] - Rat Lung 1:100 dilution in IHC blocking buffer. DAB (brown) staining and Hematoxylin QS (blue) counterstain. 10X magnification.
Immunohistochemistry-Paraffin: RASD2 Antibody [NBP3-12373]

Immunohistochemistry-Paraffin: RASD2 Antibody [NBP3-12373]

Immunohistochemistry-Paraffin: RASD2 Antibody [NBP3-12373] - Rat lung 1:100 dilution in IHC blocking buffer. DAB (brown) staining and Hematoxylin QS (blue) counterstain. 40X magnification.

Applications for RASD2 Antibody

Application
Recommended Usage

ELISA

1:10000

Immunohistochemistry

1:100

Immunohistochemistry-Paraffin

1:100

Immunoprecipitation

1:500

Western Blot

1:500-1:1000

Formulation, Preparation, and Storage

Purification

Affinity purified

Formulation

Contains Tris, HCl/glycine buffer (pH 7.4-7.8), 30% glycerol, 0.5% BSA, along with cryo-protective agents, and HEPES (exact storage and stabilization buffer information is proprietary).

Preservative

0.02% Sodium Azide

Concentration

Please see the vial label for concentration. If unlisted please contact technical services.

Shipping

The product is shipped with polar packs. Upon receipt, store it immediately at the temperature recommended below.

Stability & Storage

Store at 4C short term. Store at -20C long term. Avoid freeze-thaw cycles.

Background: RASD2

RASD2 (RASD Family, Member 2) is involved in GTPase activity. While the exact function of RASD2 has yet to be determined, it is thought to have a role in signal transduction. RASD2 is known to have interactions with ACVR1, SMAD2, SMAD3, SMURF1 and PIK3CA. RASD2 has been studied in relation to Huntington's disease and pancreatitis.

Alternate Names

GTP-binding protein Rhes, MGC:4834, RASD family, member 2, Rhes, TEM2Ras homolog enriched in striatum, Tumor endothelial marker 2

Gene Symbol

RASD2

Additional RASD2 Products

Product Documents for RASD2 Antibody

Certificate of Analysis

To download a Certificate of Analysis, please enter a lot number in the search box below.

Product Specific Notices for RASD2 Antibody

This product is for research use only and is not approved for use in humans or in clinical diagnosis. Primary Antibodies are guaranteed for 1 year from date of receipt.

Loading...
Loading...
Loading...
Loading...