Skip to main content

RASD2 Antibody - BSA Free

Novus Biologicals, part of Bio-Techne | Catalog # NBP1-82775

Novus Biologicals, part of Bio-Techne
Catalog #
Availability
Size / Price
Qty
Loading...
NBP1-82775-25ul
NBP1-82775

Key Product Details

Validated by

Orthogonal Validation

Species Reactivity

Validated:

Human

Predicted:

Mouse (94%), Rat (94%). Backed by our 100% Guarantee.

Applications

Immunohistochemistry, Immunohistochemistry-Paraffin, Western Blot

Label

Unconjugated

Antibody Source

Polyclonal Rabbit IgG

Format

BSA Free

Concentration

Concentrations vary lot to lot. See vial label for concentration. If unlisted please contact technical services.

Product Specifications

Immunogen

This antibody was developed against a recombinant protein corresponding to the amino acids: DTSGNHPFPAMRRLSILTGDVFILVFSLDNRESFDEVKRLQKQILEVKSCLKNKTKEAAELPMVICGNKNDHGELCRQVPTTEAELLVSGDENCAYFEVSAKKNTNVDEMFYVLFSMAKLPHEMSPALHRKISVQYGDAFHPRPFCMRRVKEMDAYGMVSPFARRPSVNSDLKYIKAKVLR

Clonality

Polyclonal

Host

Rabbit

Isotype

IgG

Scientific Data Images for RASD2 Antibody - BSA Free

Western Blot: RASD2 Antibody [NBP1-82775]

Western Blot: RASD2 Antibody [NBP1-82775]

Western Blot: RASD2 Antibody [NBP1-82775] - Analysis in control (vector only transfected HEK293T lysate) and RASD2 over-expression lysate (Co-expressed with a C-terminal myc-DDK tag (3.1 kDa) in mammalian HEK293T cells).
Immunohistochemistry-Paraffin: RASD2 Antibody [NBP1-82775]

Immunohistochemistry-Paraffin: RASD2 Antibody [NBP1-82775]

Immunohistochemistry-Paraffin: RASD2 Antibody [NBP1-82775] - Staining in human prostate and pancreas tissues using anti-RASD2 antibody. Corresponding RASD2 RNA-seq data are presented for the same tissues.
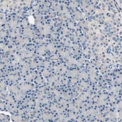
Immunohistochemistry-Paraffin: RASD2 Antibody [NBP1-82775]

Immunohistochemistry-Paraffin: RASD2 Antibody [NBP1-82775]

Immunohistochemistry-Paraffin: RASD2 Antibody [NBP1-82775] - Staining of human pancreas shows low expression as expected.

Applications for RASD2 Antibody - BSA Free

Application
Recommended Usage

Immunohistochemistry

1:200 - 1:500

Immunohistochemistry-Paraffin

1:200 - 1:500

Western Blot

0.04-0.4 ug/ml
Application Notes
For IHC-Paraffin, HIER pH 6 retrieval is recommended. Western Blot verified by a customer review.

Reviewed Applications

Read 1 review rated 5 using NBP1-82775 in the following applications:

Formulation, Preparation, and Storage

Purification

Affinity purified

Formulation

PBS (pH 7.2) and 40% Glycerol

Format

BSA Free

Preservative

0.02% Sodium Azide

Concentration

Concentrations vary lot to lot. See vial label for concentration. If unlisted please contact technical services.

Shipping

The product is shipped with polar packs. Upon receipt, store it immediately at the temperature recommended below.

Stability & Storage

Store at 4C short term. Aliquot and store at -20C long term. Avoid freeze-thaw cycles.

Background: RASD2

RASD2 (RASD Family, Member 2) is involved in GTPase activity. While the exact function of RASD2 has yet to be determined, it is thought to have a role in signal transduction. RASD2 is known to have interactions with ACVR1, SMAD2, SMAD3, SMURF1 and PIK3CA. RASD2 has been studied in relation to Huntington's disease and pancreatitis.

Alternate Names

GTP-binding protein Rhes, MGC:4834, RASD family, member 2, Rhes, TEM2Ras homolog enriched in striatum, Tumor endothelial marker 2

Gene Symbol

RASD2

Additional RASD2 Products

Product Documents for RASD2 Antibody - BSA Free

Certificate of Analysis

To download a Certificate of Analysis, please enter a lot number in the search box below.

Product Specific Notices for RASD2 Antibody - BSA Free

This product is for research use only and is not approved for use in humans or in clinical diagnosis. Primary Antibodies are guaranteed for 1 year from date of receipt.

Loading...
Loading...
Loading...
Loading...