Skip to main content

Ras Antibody

Novus Biologicals, part of Bio-Techne | Catalog # NBP2-43784

Novus Biologicals, part of Bio-Techne
Catalog #
Availability
Size / Price
Qty
Loading...
NBP2-43784

Key Product Details

Species Reactivity

Human, Mouse, Rat, Goat, Squirrel, Xenopus, Zebrafish

Applications

Immunohistochemistry, Immunohistochemistry-Paraffin, Western Blot

Label

Unconjugated

Antibody Source

Polyclonal Rabbit IgG

Concentration

Concentrations vary lot to lot. See vial label for concentration. If unlisted please contact technical services.

Product Specifications

Immunogen

Carrier-protein conjugated synthetic peptide encompassing a sequence within the N-terminus region of human KRAS. The exact sequence is proprietary.

Reactivity Notes

Frog (100%).

Clonality

Polyclonal

Host

Rabbit

Isotype

IgG

Description

Novus Biologicals Rabbit Ras Antibody (NBP2-43784) is a polyclonal antibody validated for use in IHC and WB. All Novus Biologicals antibodies are covered by our 100% guarantee.

Scientific Data Images for Ras Antibody

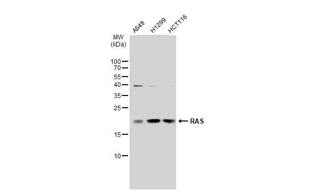
Western Blot: Ras Antibody [NBP2-43784]

Western Blot: Ras Antibody [NBP2-43784]

Western Blot: Ras Antibody [NBP2-43784] - Various whole cell extracts (30 ug) were separated by 15% SDS-PAGE, and the membrane was blotted with RAS antibody diluted at 1:1000. HRP-conjugated anti-rabbit IgG antibody was used to detect the primary antibody.
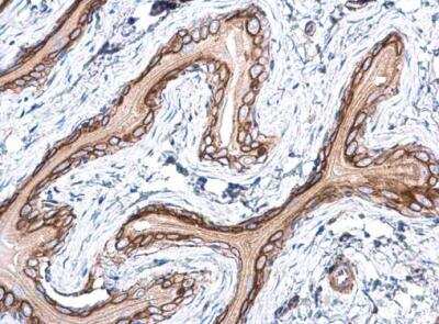
Immunohistochemistry-Paraffin: Ras Antibody [NBP2-43784]

Immunohistochemistry-Paraffin: Ras Antibody [NBP2-43784]

Immunohistochemistry-Paraffin: Ras Antibody [NBP2-43784] - Rat urinary bladder. Ras antibody diluted at 1:500. Antigen Retrieval: Citrate buffer, pH 6.0, 15 min.
Ras Antibody

Western Blot: Ras Antibody [NBP2-43784] -

Western Blot: Ras Antibody [NBP2-43784] - Non-transfected (-) and transfected (+) 293T whole cell extracts (30 ug) were separated by 15% SDS-PAGE, and the membrane was blotted with Ras antibody (NBP2-43784) diluted at 1:5000. The HRP-conjugated anti-rabbit IgG antibody was used to detect the primary antibody.

Applications for Ras Antibody

Application
Recommended Usage

Immunohistochemistry

1:100-1:1000

Immunohistochemistry-Paraffin

1:100-1:1000

Western Blot

1:500-1:10000

Formulation, Preparation, and Storage

Purification

Antigen Affinity-purified

Formulation

PBS, 1% BSA, 20% Glycerol

Preservative

0.025% Proclin 300

Concentration

Concentrations vary lot to lot. See vial label for concentration. If unlisted please contact technical services.

Shipping

The product is shipped with polar packs. Upon receipt, store it immediately at the temperature recommended below.

Stability & Storage

Aliquot and store at -20C or -80C. Avoid freeze-thaw cycles.

Background: Ras

The Ras proteins (H-Ras, N-Ras, and two splice variants of K-Ras) define a closely related family of 21 kDa GTPases that cycle between GTP-bound active and GDP-bound inactive states at the cytoplasmic face of the plasma membrane. Receptor tyrosine kinases and G-protein coupled receptors activate Ras, and effectors include Raf and PI 3-kinase. Activating mutations of Ras, which impair GTPase activity and stabilize the active state, are found in nearly one-third of all human cancers.

Long Name

v-Ki-ras2 Kirsten Rat Sarcoma Viral Oncogene Jomolog

Alternate Names

c-K-ras, K-RAS2A, K-RAS2B, K-RAS4A, K-RAS4B, Ki-Ras, KRAS, KRAS1, KRAS2, Oncogene Ras, RASK2

Additional Ras Products

Product Documents for Ras Antibody

Certificate of Analysis

To download a Certificate of Analysis, please enter a lot number in the search box below.

Product Specific Notices for Ras Antibody

This product is for research use only and is not approved for use in humans or in clinical diagnosis. Primary Antibodies are guaranteed for 1 year from date of receipt.

Loading...
Loading...
Loading...
Loading...