Skip to main content

Ras Antibody (HL10) - G12D Mutant - Azide and BSA Free

Novus Biologicals, part of Bio-Techne | Catalog # NBP3-13647

Recombinant Monoclonal Antibody
Novus Biologicals, part of Bio-Techne
Catalog #
Availability
Size / Price
Qty
Loading...
NBP3-13647

Key Product Details

Species Reactivity

Human, Mouse

Applications

Immunohistochemistry, Immunohistochemistry-Paraffin, Western Blot

Label

Unconjugated

Antibody Source

Recombinant Monoclonal Rabbit IgG Clone # HL10 expressed in HEK293

Format

Azide and BSA Free

Concentration

Concentrations vary lot to lot. See vial label for concentration. If unlisted please contact technical services.

Product Specifications

Immunogen

Carrier-protein conjugated synthetic peptide surrounding mutant G12D of human K-Ras. The exact sequence is proprietary.

Clonality

Monoclonal

Host

Rabbit

Isotype

IgG

Theoretical MW

22 kDa.
Disclaimer note: The observed molecular weight of the protein may vary from the listed predicted molecular weight due to post translational modifications, post translation cleavages, relative charges, and other experimental factors.

Description

Centrifuge briefly prior to opening.

Scientific Data Images for Ras Antibody (HL10) - G12D Mutant - Azide and BSA Free

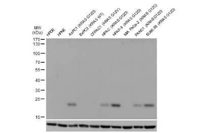
Western Blot: Ras Antibody (HL10)G12D Mutant [NBP3-13647]

Western Blot: Ras Antibody (HL10)G12D Mutant [NBP3-13647]

Western Blot: Ras Antibody (HL10) - G12D Mutant [NBP3-13647] - Non-transfected (-) and transfected (+) Various whole cell extracts (30 ug) were separated by 12% SDS-PAGE, and the membrane was blotted with Ras (G12D Mutant) antibody [HL10] (NBP3-13647) diluted at 1:3000. The HRP-conjugated anti-rabbit IgG antibody (NBP2-19301) was used to detect the primary antibody.
Immunohistochemistry-Paraffin: Ras Antibody (HL10) - G12D Mutant [NBP3-13647]

Immunohistochemistry-Paraffin: Ras Antibody (HL10) - G12D Mutant [NBP3-13647]

Immunohistochemistry-Paraffin: Ras Antibody (HL10) - G12D Mutant [NBP3-13647] - Ras (G12D Mutant) antibody [HL10] detects Ras (G12D Mutant) protein at by immunohistochemical analysis. Sample: Paraffin-embedded KPC mouse pancreatic tumor cells implanted in the pancreas of B6 mice (left) and normal mouse pancreas (right). Ras (G12D Mutant) stained by Ras (G12D Mutant) antibody [HL10] (NBP3-13647) diluted at 1:75. Antigen Retrieval: Citrate buffer, pH 6.0, 40 min
Western Blot: Ras Antibody (HL10)G12D Mutant [NBP3-13647]

Western Blot: Ras Antibody (HL10)G12D Mutant [NBP3-13647]

Western Blot: Ras Antibody (HL10) - G12D Mutant [NBP3-13647] - Various whole cell extracts were separated by SDS-PAGE, and the membrane was blotted with Ras (G12D Mutant) antibody [HL10] (NBP3-13647) diluted at 1:1000.

Applications for Ras Antibody (HL10) - G12D Mutant - Azide and BSA Free

Application
Recommended Usage

Immunohistochemistry

1:25-1:100

Immunohistochemistry-Paraffin

1:25-1:100

Western Blot

1:500-1:3000

Formulation, Preparation, and Storage

Purification

Protein A purified

Formulation

PBS

Format

Azide and BSA Free

Preservative

No Preservative

Concentration

Concentrations vary lot to lot. See vial label for concentration. If unlisted please contact technical services.

Shipping

The product is shipped with polar packs. Upon receipt, store it immediately at the temperature recommended below.

Stability & Storage

Store at 4C short term. Aliquot and store at -20C long term. Avoid freeze-thaw cycles.

Background: Ras

The Ras proteins (H-Ras, N-Ras, and two splice variants of K-Ras) define a closely related family of 21 kDa GTPases that cycle between GTP-bound active and GDP-bound inactive states at the cytoplasmic face of the plasma membrane. Receptor tyrosine kinases and G-protein coupled receptors activate Ras, and effectors include Raf and PI 3-kinase. Activating mutations of Ras, which impair GTPase activity and stabilize the active state, are found in nearly one-third of all human cancers.

Long Name

v-Ki-ras2 Kirsten Rat Sarcoma Viral Oncogene Jomolog

Alternate Names

c-K-ras, K-RAS2A, K-RAS2B, K-RAS4A, K-RAS4B, Ki-Ras, KRAS, KRAS1, KRAS2, Oncogene Ras, RASK2

Additional Ras Products

Product Documents for Ras Antibody (HL10) - G12D Mutant - Azide and BSA Free

Certificate of Analysis

To download a Certificate of Analysis, please enter a lot number in the search box below.

Product Specific Notices for Ras Antibody (HL10) - G12D Mutant - Azide and BSA Free

This product is for research use only and is not approved for use in humans or in clinical diagnosis. Primary Antibodies are guaranteed for 1 year from date of receipt.

Loading...
Loading...
Loading...
Loading...