RAR beta/NR1B2 Antibody - Azide and BSA Free
Novus Biologicals, part of Bio-Techne | Catalog # NBP2-98903
Conjugate
Catalog #
Key Product Details
Species Reactivity
Human, Mouse
Applications
Immunohistochemistry, Immunohistochemistry-Paraffin, Immunocytochemistry/ Immunofluorescence
Label
Unconjugated
Antibody Source
Polyclonal Rabbit IgG
Format
Azide and BSA Free
Concentration
Please see the vial label for concentration. If unlisted please contact technical services.
Product Specifications
Immunogen
Produced in rabbits immunized with a synthetic peptide corresponding to the C-terminus of the Mouse RAR beta/NR1B2.
Clonality
Polyclonal
Host
Rabbit
Isotype
IgG
Description
This antibody can be stored at 2C to 8C for one month without detectable loss of activity. Antibody products are stable for twelve months from date of receipt when stored at -20C to -80C. Avoid repeated freeze-thaw cycles.
Scientific Data Images for RAR beta/NR1B2 Antibody - Azide and BSA Free
Immunohistochemistry-Paraffin: RAR beta/NR1B2 Antibody [NBP2-98903]
Immunohistochemistry-Paraffin: RAR beta/NR1B2 Antibody [NBP2-98903] - Immunochemical staining RAR beta/NR1B2 in mouse kidney with rabbit polyclonal antibody (1:1000, formalin-fixed paraffin embedded sections).Immunohistochemistry-Paraffin: RAR beta/NR1B2 Antibody [NBP2-98903]
Immunohistochemistry-Paraffin: RAR beta/NR1B2 Antibody [NBP2-98903] - Immunochemical staining RAR beta/NR1B2 in human breast carcinoma with rabbit polyclonal antibody (1:1000, formalin-fixed paraffin embedded sections).Immunohistochemistry-Paraffin: RAR beta/NR1B2 Antibody [NBP2-98903]
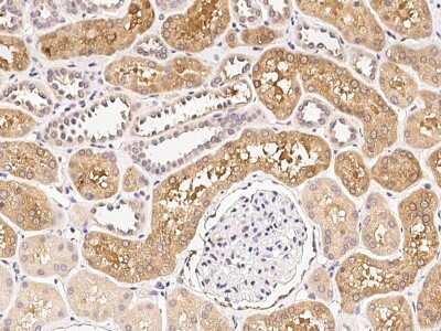
Immunohistochemistry-Paraffin: RAR beta/NR1B2 Antibody [NBP2-98903] - Immunochemical staining RAR beta/NR1B2 in human kidney with rabbit polyclonal antibody (1:1000, formalin-fixed paraffin embedded sections).Applications for RAR beta/NR1B2 Antibody - Azide and BSA Free
Application
Recommended Usage
Immunocytochemistry/ Immunofluorescence
1:300-1:10000
Immunohistochemistry
1:500-1:2000
Immunohistochemistry-Paraffin
1:500-1:2000
Formulation, Preparation, and Storage
Purification
Antigen and protein A Affinity-purified
Formulation
0.2 um filtered solution in PBS
Format
Azide and BSA Free
Preservative
No Preservative
Concentration
Please see the vial label for concentration. If unlisted please contact technical services.
Shipping
The product is shipped with polar packs. Upon receipt, store it immediately at the temperature recommended below.
Stability & Storage
Store at 4C short term. Aliquot and store at -20C long term. Avoid freeze-thaw cycles.
Background: RAR beta/NR1B2
Long Name
Retinoic Acid Receptor, beta
Alternate Names
HAP, NR1B2, RARB, RRB2
Gene Symbol
RARB
Additional RAR beta/NR1B2 Products
Product Documents for RAR beta/NR1B2 Antibody - Azide and BSA Free
Product Specific Notices for RAR beta/NR1B2 Antibody - Azide and BSA Free
This product is for research use only and is not approved for use in humans or in clinical diagnosis. Primary Antibodies are guaranteed for 1 year from date of receipt.
Loading...
Loading...
Loading...
Loading...
Loading...