RAP30 Antibody (3T7Q9)
Novus Biologicals, part of Bio-Techne | Catalog # NBP3-15275
Recombinant Monoclonal Antibody
Key Product Details
Species Reactivity
Human, Mouse, Rat
Applications
Immunohistochemistry, Immunohistochemistry-Paraffin, Western Blot
Label
Unconjugated
Antibody Source
Recombinant Monoclonal Rabbit IgG Clone # 3T7Q9 expressed in HEK293
Concentration
Please see the vial label for concentration. If unlisted please contact technical services.
Product Specifications
Immunogen
A synthetic peptide corresponding to a sequence within amino acids 1-100 of human RAP30 (P13984). MAERGELDLTGAKQNTGVWLVKVPKYLSQQWAKASGRGEVGKLRIAKTQGRTEVSFTLNEDLANIHDIGGKPASVSAPREHPFVLQSVGGQTLTVFTESS
Clonality
Monoclonal
Host
Rabbit
Isotype
IgG
Description
Novus Biologicals Rabbit RAP30 Antibody (3T7Q9) (NBP3-15275) is a recombinant monoclonal antibody validated for use in IHC and WB. All Novus Biologicals antibodies are covered by our 100% guarantee.
Scientific Data Images for RAP30 Antibody (3T7Q9)
Western Blot: RAP30 Antibody (3T7Q9) [NBP3-15275]
Western Blot: RAP30 Antibody (3T7Q9) [NBP3-15275] - Western blot analysis of extracts of various cell lines, using RAP30 antibody (NBP3-15275) at 1:1000 dilution. Secondary antibody: HRP Goat Anti-Rabbit IgG (H+L) at 1:10000 dilution. Lysates/proteins: 25ug per lane. Blocking buffer: 3% nonfat dry milk in TBST. Detection: ECL Basic Kit. Exposure time: 1s.Immunohistochemistry-Paraffin: RAP30 Antibody (3T7Q9) [NBP3-15275]
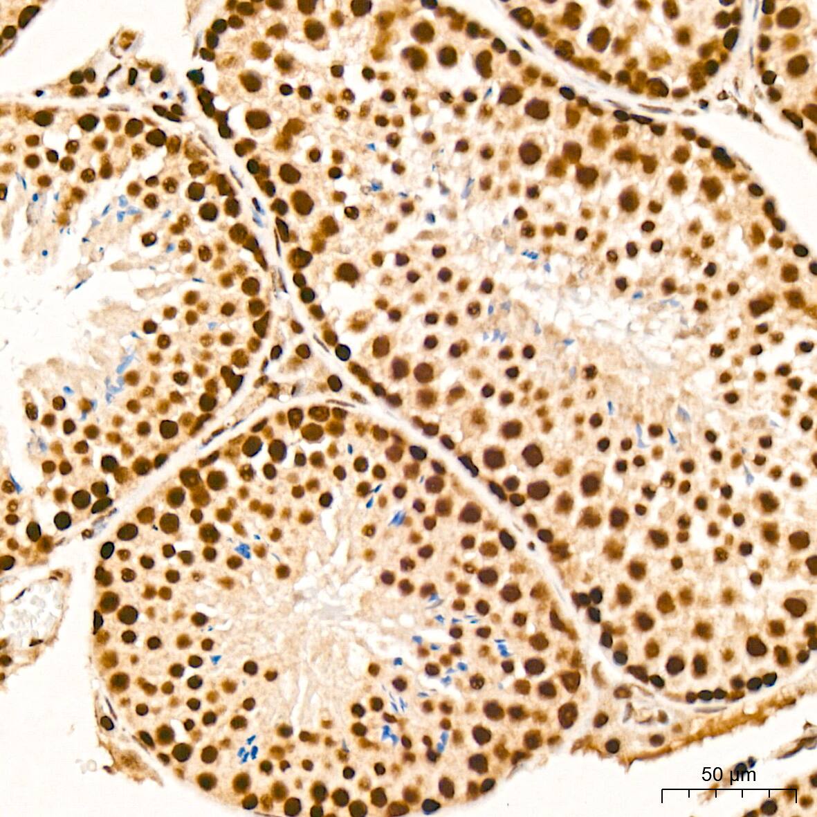
Immunohistochemistry-Paraffin: RAP30 Antibody (3T7Q9) [NBP3-15275] - Immunohistochemistry of paraffin-embedded rat testis using RAP30 Rabbit mAb (NBP3-15275) at dilution of 1:100 (40x lens).Perform high pressure antigen retrieval with 10 mM citrate buffer pH 6.0 before commencing with IHC staining protocol.Immunohistochemistry-Paraffin: RAP30 Antibody (3T7Q9) [NBP3-15275]
Immunohistochemistry-Paraffin: RAP30 Antibody (3T7Q9) [NBP3-15275] - Immunohistochemistry of paraffin-embedded human esophageal using RAP30 Rabbit mAb (NBP3-15275) at dilution of 1:100 (40x lens).Perform high pressure antigen retrieval with 10 mM citrate buffer pH 6.0 before commencing with IHC staining protocol.Applications for RAP30 Antibody (3T7Q9)
Application
Recommended Usage
Immunohistochemistry
1:50 - 1:200
Western Blot
1:500 - 1:1000
Formulation, Preparation, and Storage
Purification
Affinity purified
Formulation
PBS (pH 7.3), 50% glycerol, 0.05% BSA
Preservative
0.02% Sodium Azide
Concentration
Please see the vial label for concentration. If unlisted please contact technical services.
Shipping
The product is shipped with polar packs. Upon receipt, store it immediately at the temperature recommended below.
Stability & Storage
Store at -20C. Avoid freeze-thaw cycles.
Background: RAP30
Alternate Names
ATP-dependent helicase GTF2F2, BTF4, General transcription factor IIF 30 kDa subunit, general transcription factor IIF subunit 2, general transcription factor IIF, polypeptide 2, 30kDa, TF2F2, TFIIF, TFIIF-beta, Transcription initiation factor IIF subunit beta, Transcription initiation factor RAP30
Gene Symbol
GTF2F2
Additional RAP30 Products
Product Documents for RAP30 Antibody (3T7Q9)
Product Specific Notices for RAP30 Antibody (3T7Q9)
This product is for research use only and is not approved for use in humans or in clinical diagnosis. Primary Antibodies are guaranteed for 1 year from date of receipt.
Loading...
Loading...
Loading...
Loading...