Skip to main content

Rap2A Antibody - BSA Free

Novus Biologicals, part of Bio-Techne | Catalog # NBP2-24574

Novus Biologicals, part of Bio-Techne

Key Product Details

Species Reactivity

Validated:

Human, Mouse, Canine, Chicken, Equine, Opossum, Primate, Xenopus

Cited:

Human

Predicted:

Rat (100%). Backed by our 100% Guarantee.

Applications

Validated:

Immunohistochemistry, Immunohistochemistry-Paraffin, Western Blot

Cited:

Immunohistochemistry-Paraffin

Label

Unconjugated

Antibody Source

Polyclonal Rabbit IgG

Format

BSA Free

Concentration

1.0 mg/ml

Product Specifications

Immunogen

A portion of amino acids 140-183 of human RAP2A was used as the immunogen for the antibody.

Clonality

Polyclonal

Host

Rabbit

Isotype

IgG

Description

Novus Biologicals Rabbit Rap2A Antibody - BSA Free (NBP2-24574) is a polyclonal antibody validated for use in IHC and WB. Anti-Rap2A Antibody: Cited in 1 publication. All Novus Biologicals antibodies are covered by our 100% guarantee.

Scientific Data Images for Rap2A Antibody - BSA Free

Western Blot: Rap2A AntibodyBSA Free [NBP2-24574]

Western Blot: Rap2A AntibodyBSA Free [NBP2-24574]

Western Blot: Rap2A Antibody [NBP2-24574] - analysis of RAP2A in MCF7 cell lysate in the 1) absence and 2) presence of immunizing peptide using RAP2A antibody at 0.1 ug/ml. Goat anti-rabbit Ig HRP secondary antibody and PicoTect ECL substrate solution were used for this test.
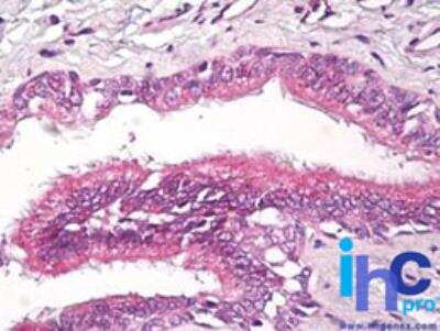
Immunohistochemistry-Paraffin: Rap2A Antibody - BSA Free [NBP2-24574]

Immunohistochemistry-Paraffin: Rap2A Antibody - BSA Free [NBP2-24574]

Immunohistochemistry-Paraffin: Rap2A Antibody [NBP2-24574] - Formalin-fixed, paraffin-embedded human lung (respiratory epithelium) tissue stained with RAP2A antibody at 10 ug/ml. Staining of formalin-fixed tissues is enhanced by boiling tissue sections in 10 mM sodium citrate buffer, pH 6.0 for 10-20 min followed by cooling at RT for 20 min.

Applications for Rap2A Antibody - BSA Free

Application
Recommended Usage

Immunohistochemistry-Paraffin

5-10 ug/ml

Western Blot

0.1-0.3 ug/ml

Formulation, Preparation, and Storage

Purification

Immunogen affinity purified

Formulation

PBS

Format

BSA Free

Preservative

0.05% Sodium Azide

Concentration

1.0 mg/ml

Shipping

The product is shipped with polar packs. Upon receipt, store it immediately at the temperature recommended below.

Stability & Storage

Store at -20C. Avoid freeze-thaw cycles.

Background: Rap2A

RAP2A( AAH41333, 1 a.a. - 184 a.a.) full-length recombinant protein with GST.

Long Name

Ras-related Protein 2A

Alternate Names

RAP2, RbBP-30

Gene Symbol

RAP2A

UniProt

Additional Rap2A Products

Product Documents for Rap2A Antibody - BSA Free

Certificate of Analysis

To download a Certificate of Analysis, please enter a lot number in the search box below.

Product Specific Notices for Rap2A Antibody - BSA Free

This product is for research use only and is not approved for use in humans or in clinical diagnosis. Primary Antibodies are guaranteed for 1 year from date of receipt.

Loading...
Loading...
Loading...
Loading...