Skip to main content

RALY Antibody

Novus Biologicals, part of Bio-Techne | Catalog # NBP1-19111

Novus Biologicals, part of Bio-Techne
Catalog #
Availability
Size / Price
Qty
Loading...
NBP1-19111

Key Product Details

Species Reactivity

Human, Mouse

Applications

Immunohistochemistry, Immunohistochemistry-Paraffin, Immunoprecipitation (Negative), Western Blot

Label

Unconjugated

Antibody Source

Polyclonal Rabbit IgG

Concentration

0.2 mg/ml

Product Specifications

Immunogen

The immunogen recognized by this antibody maps to a region between residue 256 and 306 of human hnRNP-associated with lethal yellow homolog using the numbering given in entry NP_057951.1 (GeneID 22913).

Clonality

Polyclonal

Host

Rabbit

Isotype

IgG

Description

Novus Biologicals Rabbit RALY Antibody (NBP1-19111) is a polyclonal antibody validated for use in IHC and WB. All Novus Biologicals antibodies are covered by our 100% guarantee.

Scientific Data Images for RALY Antibody

Western Blot: RALY Antibody [NBP1-19111]

Western Blot: RALY Antibody [NBP1-19111]

Western Blot: RALY Antibody [NBP1-19111] - Whole cell lysate from HeLa and 293T cells. RALY was successfully immunoprecipitated by rabbit anti-RALY antibody NBP1-19110.
Immunohistochemistry: RALY Antibody [NBP1-19111]

Immunohistochemistry: RALY Antibody [NBP1-19111]

Immunohistochemistry: RALY Antibody [NBP1-19111] - Sample: FFPE section of human breast carcinoma (left) and mouse teratoma (right). Antibody: Affinity purified rabbit anti- RALY used at a dilution of 1:1,000 (0.2 ug/ml) and 1:200 (1ug/ml). Detection: DAB
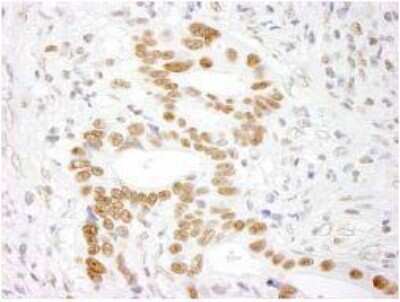
Immunohistochemistry-Paraffin: RALY Antibody [NBP1-19111]

Immunohistochemistry-Paraffin: RALY Antibody [NBP1-19111]

Immunohistochemistry-Paraffin: RALY Antibody [NBP1-19111] - FFPE section of human stomach carcinoma. Affinity purified rabbit anti-RALY used at a dilution of 1:500.

Applications for RALY Antibody

Application
Recommended Usage

Immunohistochemistry

1:10-1:500

Immunohistochemistry-Paraffin

1:10-1:500

Western Blot

1:2000-1:10000
Application Notes
This antibody is useful for western blot. It is not recommended for immunoprecipitation.

Formulation, Preparation, and Storage

Purification

Immunogen affinity purified

Formulation

TBS and 0.1% BSA

Preservative

0.09% Sodium Azide

Concentration

0.2 mg/ml

Shipping

The product is shipped with polar packs. Upon receipt, store it immediately at the temperature recommended below.

Stability & Storage

Store at 4C. Do not freeze.

Background: RALY

In infectious mononucleosis, anti-EBNA-1 antibodies are produced which cross-react with multiple normal human proteins. The cross-reactivity is due to anti-gly/ala antibodies that cross-react with host proteins containing configurations like those in the EBNA-1 repeat. One such antigen is RALY which is a member of the heterogeneous nuclear ribonucleoprotein gene family. [provided by RefSeq]

Alternate Names

Autoantigen p542, Heterogeneous nuclear ribonucleoprotein C-like 2, hnRNP associated with lethal yellow protein homolog, hnRNP core protein C-like 2, HNRPCL2MGC117312, P542hnRNP-associated with lethal yellow), RNA binding protein (autoantigenic, hnRNP-associated with lethal yellow), RNA binding protein, autoantigenic (hnRNP-associated with lethal yellow homolog(mouse)), RNA-binding protein (autoantigenic), RNA-binding protein Raly

Entrez Gene IDs

22913 (Human)

Gene Symbol

RALY

Additional RALY Products

Product Documents for RALY Antibody

Certificate of Analysis

To download a Certificate of Analysis, please enter a lot number in the search box below.

Product Specific Notices for RALY Antibody

This product is for research use only and is not approved for use in humans or in clinical diagnosis. Primary Antibodies are guaranteed for 1 year from date of receipt.

Loading...
Loading...
Loading...
Loading...