Skip to main content

RalA Antibody (JE54-12)

Novus Biologicals, part of Bio-Techne | Catalog # NBP3-32891

Recombinant Monoclonal Antibody
Novus Biologicals, part of Bio-Techne
Catalog #
Availability
Size / Price
Qty
Loading...
NBP3-32891

Key Product Details

Species Reactivity

Human

Applications

Flow Cytometry, Immunohistochemistry, Immunohistochemistry-Paraffin, Western Blot

Label

Unconjugated

Antibody Source

Recombinant Monoclonal Rabbit IgG Clone # JE54-12 expressed in HEK293

Concentration

1 mg/ml

Product Specifications

Immunogen

Recombinant protein within Human RalA aa 107-206 / 206. (Uniprot: P11233)

Localization

Cell membrane, Mitochondrion.

Clonality

Monoclonal

Host

Rabbit

Isotype

IgG

Theoretical MW

24 kDa.
Disclaimer note: The observed molecular weight of the protein may vary from the listed predicted molecular weight due to post translational modifications, post translation cleavages, relative charges, and other experimental factors.

Description

Novus Biologicals Rabbit RalA Antibody (JE54-12) (NBP3-32891) is a recombinant monoclonal antibody validated for use in IHC, WB and Flow. All Novus Biologicals antibodies are covered by our 100% guarantee.

Scientific Data Images for RalA Antibody (JE54-12)

RalA Antibody (JE54-12)

Western Blot: RalA Antibody (JE54-12) [NBP3-32891]

Western Blot: RalA Antibody (JE54-12) [NBP3-32891] - Western blot analysis of RalA on different lysates with Rabbit anti-RalA antibody (NBP3-32891) at 1/500 dilution.

Lane 1: LOVO cell lysate (10 ug/Lane)
Lane 2: HCT116 cell lysate (10 ug/Lane)
Lane 3: HT-29 cell lysate (10 ug/Lane)
Lane 4: SW480 cell lysate (10 ug/Lane)
Lane 5: 293 cell lysate (10 ug/Lane)
Lane 6: Human kidney tissue lysate (20 ug/Lane)

Predicted band size: 24 kDa
Observed band size: 24 kDa

Exposure time: 2 minutes;

12% SDS-PAGE gel.

Proteins were transferred to a PVDF membrane and blocked with 5% NFDM/TBST for 1 hour at room temperature. The primary antibody (NBP3-32891) at 1/500 dilution was used in 5% NFDM/TBST at room temperature for 2 hours. Goat Anti-Rabbit IgG - HRP Secondary Antibody at 1:300,000 dilution was used for 1 hour at room temperature.
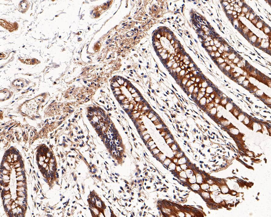
RalA Antibody (JE54-12)

Immunohistochemistry: RalA Antibody (JE54-12) [NBP3-32891]

Immunohistochemistry: RalA Antibody (JE54-12) [NBP3-32891] - Immunohistochemical analysis of paraffin-embedded human colon tissue with Rabbit anti-RalA antibody (NBP3-32891) at 1/1,000 dilution.

The section was pre-treated using heat mediated antigen retrieval with Tris-EDTA buffer (pH 9.0) for 20 minutes. The tissues were blocked in 1% BSA for 20 minutes at room temperature, washed with ddH2O and PBS, and then probed with the primary antibody (NBP3-32891) at 1/1,000 dilution for 1 hour at room temperature. The detection was performed using an HRP conjugated compact polymer system. DAB was used as the chromogen. Tissues were counterstained with hematoxylin and mounted with DPX.
RalA Antibody (JE54-12)

Flow Cytometry: RalA Antibody (JE54-12) [NBP3-32891]

Flow Cytometry: RalA Antibody (JE54-12) [NBP3-32891] - Flow cytometric analysis of HUVEC cells labeling RalA.

Cells were fixed and permeabilized. Then stained with the primary antibody (NBP3-32891, 1ug/ml) (red) compared with Rabbit IgG Isotype Control (green). After incubation of the primary antibody at +4℃ for an hour, the cells were stained with a iFluor™ 488 conjugate-Goat anti-Rabbit IgG Secondary antibody at 1/1,000 dilution for 30 minutes at +4℃. Unlabelled sample was used as a control (cells without incubation with primary antibody; black).

Applications for RalA Antibody (JE54-12)

Application
Recommended Usage

Flow Cytometry

1:500-1:1000

Immunohistochemistry-Paraffin

1:200-1:1000

Western Blot

1:500

Formulation, Preparation, and Storage

Purification

Protein A purified

Formulation

1*TBS (pH7.4), 0.05% BSA and 40% Glycerol

Preservative

0.05% Sodium Azide

Concentration

1 mg/ml

Shipping

The product is shipped with polar packs. Upon receipt, store it immediately at the temperature recommended below.

Stability & Storage

Store at 4C short term. Aliquot and store at -20C long term. Avoid freeze-thaw cycles.

Background: RalA

The Ras-like proteins RalA and RalB are homologous proteins that constitute a grouping within the Ras superfamily of small GTPases. Like other GTPases, Ral protein activity is regulated by cycling between an active GTP-bound and an inactive GDP-bound state. Ral GTPases have been implicated in the regulation of vesicle trafficking and cell morphology.

Long Name

Ras-like Protein A

Alternate Names

Rasl1

Gene Symbol

RALA

Additional RalA Products

Product Documents for RalA Antibody (JE54-12)

Certificate of Analysis

To download a Certificate of Analysis, please enter a lot number in the search box below.

Product Specific Notices for RalA Antibody (JE54-12)

This product is for research use only and is not approved for use in humans or in clinical diagnosis. Primary Antibodies are guaranteed for 1 year from date of receipt.

Loading...
Loading...
Loading...
Loading...
Loading...