Skip to main content

RAI16 Antibody - Azide and BSA Free

Novus Biologicals, part of Bio-Techne | Catalog # NBP3-15604

Novus Biologicals, part of Bio-Techne
Catalog #
Availability
Size / Price
Qty
Loading...
NBP3-15604-20ul
NBP3-15604-100ul

Key Product Details

Species Reactivity

Human, Mouse, Rat

Applications

Immunohistochemistry, Immunohistochemistry-Paraffin, Western Blot, Immunocytochemistry/ Immunofluorescence, Immunoprecipitation

Label

Unconjugated

Antibody Source

Polyclonal Rabbit IgG

Format

Azide and BSA Free

Concentration

Please see the vial label for concentration. If unlisted please contact technical services.

Product Specifications

Immunogen

Recombinant fusion protein containing a sequence corresponding to amino acids 74-303 of mouse RAI16 (NP_919326.1). GEAGPCLEYLLQHKILETLCTLGKAEYPPGMRQQVFQFFSKVLSQVQHPLLHYLSVHRPVQKLLRLGGTVPGSLTEKEEVQFTSVLCSKIQQDPELLAYILEGKKIIGKKKTARESTAPPKDIAGYRDKDCPHSDALNRDPGLDKEHCGVPALSIHLPAETEGPENGPGESNLITSLLGLCKSKKSRLALKAQENILLLVSVASPAAATYLTQSTSCCMAIAEHLCQLYR

Clonality

Polyclonal

Host

Rabbit

Isotype

IgG

Description

Novus Biologicals Rabbit RAI16 Antibody - Azide and BSA Free (NBP3-15604) is a polyclonal antibody validated for use in IHC, WB, ICC/IF and IP. All Novus Biologicals antibodies are covered by our 100% guarantee.

Scientific Data Images for RAI16 Antibody - Azide and BSA Free

Western Blot: RAI16 AntibodyAzide and BSA Free [NBP3-15604]

Western Blot: RAI16 AntibodyAzide and BSA Free [NBP3-15604]

Western Blot: RAI16 Antibody [NBP3-15604] - Western blot analysis of extracts of various cell lines, using RAI16 antibody (NBP3-15604) at 1:1000 dilution. Secondary antibody: HRP Goat Anti-Mouse IgG (H+L) at 1:10000 dilution. Lysates/proteins: 25ug per lane. Blocking buffer: 3% nonfat dry milk in TBST. Detection: ECL Basic Kit. Exposure time: 30s.
Immunocytochemistry/ Immunofluorescence: RAI16 Antibody - Azide and BSA Free [NBP3-15604]

Immunocytochemistry/ Immunofluorescence: RAI16 Antibody - Azide and BSA Free [NBP3-15604]

Immunocytochemistry/Immunofluorescence: RAI16 Antibody [NBP3-15604] - Immunofluorescence analysis of NIH-3T3 cells using RAI16 Rabbit pAb (NBP3-15604) at dilution of 1:100 (40x lens). Blue: DAPI for nuclear staining.
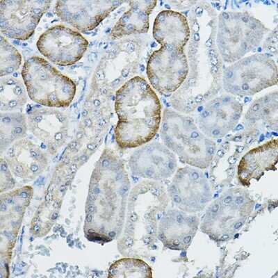
Immunohistochemistry-Paraffin: RAI16 Antibody - Azide and BSA Free [NBP3-15604]

Immunohistochemistry-Paraffin: RAI16 Antibody - Azide and BSA Free [NBP3-15604]

Immunohistochemistry-Paraffin: RAI16 Antibody [NBP3-15604] - Immunohistochemistry of paraffin-embedded mouse kidney using RAI16 Rabbit pAb (NBP3-15604) at dilution of 1:100 (40x lens).Perform high pressure antigen retrieval with 10 mM citrate buffer pH 6.0 before commencing with IHC staining protocol.

Applications for RAI16 Antibody - Azide and BSA Free

Application
Recommended Usage

Immunocytochemistry/ Immunofluorescence

1:50 - 1:200

Immunohistochemistry

1:50 - 1:200

Immunoprecipitation

1:500 - 1:1000

Western Blot

1:500 - 1:1000

Formulation, Preparation, and Storage

Purification

Affinity purified

Formulation

PBS (pH 7.3), 50% glycerol

Format

Azide and BSA Free

Preservative

0.02% Sodium Azide

Concentration

Please see the vial label for concentration. If unlisted please contact technical services.

Shipping

The product is shipped with polar packs. Upon receipt, store it immediately at the temperature recommended below.

Stability & Storage

Store at -20C. Avoid freeze-thaw cycles.

Background: RAI16

Alternate Names

family with sequence similarity 160, member B2, FLJ11125, FLJ21801, MGC138352, RAI16, retinoic acid induced 16, Retinoic acid-induced protein 16

Gene Symbol

FHIP2B

Additional RAI16 Products

Product Documents for RAI16 Antibody - Azide and BSA Free

Certificate of Analysis

To download a Certificate of Analysis, please enter a lot number in the search box below.

Product Specific Notices for RAI16 Antibody - Azide and BSA Free

This product is for research use only and is not approved for use in humans or in clinical diagnosis. Primary Antibodies are guaranteed for 1 year from date of receipt.

Loading...
Loading...
Loading...
Loading...

⚠ WARNING: This product can expose you to chemicals including Methotrexate, which is known to the State of California to cause reproductive toxicity with developmental effects. For more information, go to www.P65Warnings.ca.gov