Skip to main content

RAI14 Antibody - BSA Free

Novus Biologicals, part of Bio-Techne | Catalog # NBP1-94076

Novus Biologicals, part of Bio-Techne
Catalog #
Availability
Size / Price
Qty
Loading...
NBP1-94076

Key Product Details

Validated by

Orthogonal Validation, Independent Antibodies

Species Reactivity

Human

Applications

Immunohistochemistry, Immunohistochemistry-Paraffin, Western Blot, Immunocytochemistry/ Immunofluorescence

Label

Unconjugated

Antibody Source

Polyclonal Rabbit IgG

Format

BSA Free

Concentration

Concentrations vary lot to lot. See vial label for concentration. If unlisted please contact technical services.

Product Specifications

Immunogen

This antibody was developed against Recombinant Protein corresponding to amino acids: KAAMTDAMVPRSSYEKLQSSLESEVSVLASKLKESVKEKEKVHSEVVQIRSEVSQVKREKENIQTLLKSKEQEVNELLQKFQQAQEELAEMKRYAE

Reactivity Notes

Immunogen displays the following percentage of sequence identity for non-tested species: Rat (81%)

Clonality

Polyclonal

Host

Rabbit

Isotype

IgG

Description

Novus Biologicals Rabbit RAI14 Antibody - BSA Free (NBP1-94076) is a polyclonal antibody validated for use in IHC, WB and ICC/IF. All Novus Biologicals antibodies are covered by our 100% guarantee.

Scientific Data Images for RAI14 Antibody - BSA Free

Western Blot: RAI14 Antibody [NBP1-94076]

Western Blot: RAI14 Antibody [NBP1-94076]

Western Blot: RAI14 Antibody [NBP1-94076] - Analysis using Anti-RAI14 antibody NBP1-94076 (A) shows similar pattern to independent antibody NBP1-94075 (B).
Immunohistochemistry-Paraffin: RAI14 Antibody [NBP1-94076]

Immunohistochemistry-Paraffin: RAI14 Antibody [NBP1-94076]

Immunohistochemistry-Paraffin: RAI14 Antibody [NBP1-94076] - Staining of human placenta shows strong membrane and cytoplasmic positivity in trophoblastic cells.
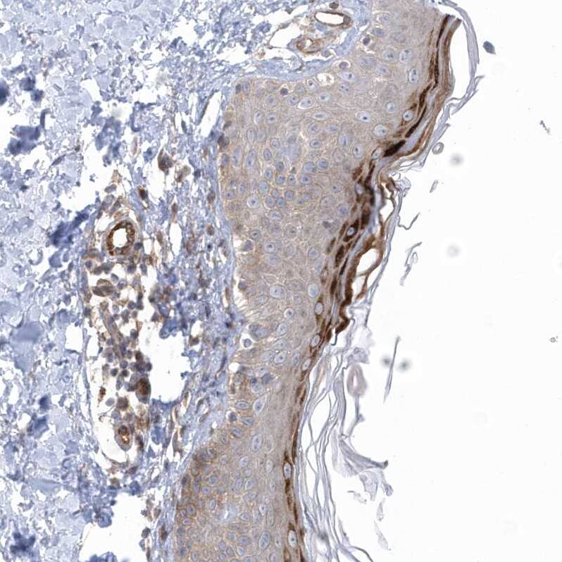
RAI14 Antibody - BSA Free Immunohistochemistry: RAI14 Antibody - BSA Free [NBP1-94076]

Immunohistochemistry: RAI14 Antibody - BSA Free [NBP1-94076]

Staining of human skin shows strong cytoplasmic positivity in squamous epithelial cells.

Applications for RAI14 Antibody - BSA Free

Application
Recommended Usage

Immunocytochemistry/ Immunofluorescence

0.25-2 ug/ml

Immunohistochemistry

1:50 - 1:200

Immunohistochemistry-Paraffin

1:50 - 1:200

Western Blot

0.04-0.4 ug/ml
Application Notes
For IHC-Paraffin, HIER pH 6 retrieval is recommended. ICC/IF Fixation Permeabilization: Use PFA/Triton X-100.

Formulation, Preparation, and Storage

Purification

Affinity purified

Formulation

PBS (pH 7.2) and 40% Glycerol

Format

BSA Free

Preservative

0.02% Sodium Azide

Concentration

Concentrations vary lot to lot. See vial label for concentration. If unlisted please contact technical services.

Shipping

The product is shipped with polar packs. Upon receipt, store it immediately at the temperature recommended below.

Stability & Storage

Store at 4C short term. Aliquot and store at -20C long term. Avoid freeze-thaw cycles.

Background: RAI14

Alternate Names

retinoic acid induced 14

Gene Symbol

RAI14

Additional RAI14 Products

Product Documents for RAI14 Antibody - BSA Free

Certificate of Analysis

To download a Certificate of Analysis, please enter a lot number in the search box below.

Product Specific Notices for RAI14 Antibody - BSA Free

This product is for research use only and is not approved for use in humans or in clinical diagnosis. Primary Antibodies are guaranteed for 1 year from date of receipt.

Loading...
Loading...
Loading...
Loading...